Аллергодерматозы – это группа заболеваний аллергической природы, которые проявляются разнообразными поражениями кожи. В последнее десятилетие доля этой патологии в структуре общей заболеваемости растет. Согласно мировой медицинской статистике, примерно у 20% населения земного шара диагностируются разнообразные формы аллергического дерматоза.
Отсутствие возрастных ограничений, склонность к рецидивирующему течению и возможность появления дополнительных и нередко тяжелых симптомов аллергии – все это делает очень актуальной проблему диагностики и лечения этой патологии.
Причины возникновения
Контактный дерматит, как, собственно, и аллергия, представляет собой повышенную реакцию со стороны организма в адрес воздействующих на него аллергенов в той или иной их форме.
Чаще всего к таким аллергенам относятся следующие виды веществ:
- никель (серьги, цепочки, кольца, украшения и пр.);
- латекс (детские соски, перчатки, презервативы и пр.);
- одежда (в частности определенные материалы в ее основе: синтетика, резина, латекс и пр.);
- косметические средства, используемые в уходе за кожей (шампуни, мыло, крема, гели и пр.);
- определенные лекарственные препараты (антибиотики, кортикостероидные крема и пр.);
- иные типы веществ (чернила, краски и т.д.).
В целом же развиться данное заболевание может воздействии на организм абсолютно любых веществ, при этом определяющий фактор в данном вопросе основывается не на химическом составе этих веществ, а на том, какова чувствительность к ним организма в каждом конкретном случае.
Что собой представляет аллергический дерматит?
Аллергический дерматит – это острое воспалительное заболевание, которое вызвано воздействием антигенов (чужеродных веществ) и сенсибилизацией (повышением чувствительности) организма к ним. Проявляется эта болезнь, чаще всего, в виде гиперчувствительности замедленного типа. Это означает, что проявления возникают спустя несколько суток после воздействия на организм повреждающего фактора. Часто аллергический дерматит возникает у людей, имеющих сопутствующие хронические заболевания органов пищеварения, эндокринных желез и иммунной системы.
Механизм развития
Суть заключается в туберкулиноподобной аллергической реакции замедленного типа. Чувствительность формируется на протяжении определенного временного промежутка после первого контакта с аллергеном.
При достижении критического уровня иммунного ответа заболевание проявляется. Молекулы аллергена очень малы, чтобы распознаваться иммунными клетками, но в этом помогают белковые компоненты, которые присоединяются к ним при попадании в организм и придают им свойства антигена.
Аллергические свойства вещества зависят от способности его молекул проникать в организм и создавать с его белками стойкие связи. В этом случае большая роль в иммунном ответе принадлежит не антителам, как обычно, а лимфоцитам и клеткам Лангерганса. С момента первого контакта с аллергеном Т-лимфоциты, узнающие антиген, накапливаются в течении двух недель. После этого они становятся т.н. клетками памяти и мигрируют во все периферические участки иммунной системы.
При повторном контакте с аллергическим фактором происходит быстрая активация иммунологической памяти и клеточный ответ.
Классификация заболевания
Аллергический контактный дерматит — это воспалительное заболевание кожных покровов, причиной которого является контакт с раздражителями, приводящий к ответной реакции организма.
Единой общепринятой врачебной классификации нет. По этиологии различают следующие виды:
- простой контактный дерматит;
- контактный аллергический дерматит;
- фототоксический, фотоаллергический дерматит.
По течению болезни выделяют:
- острый;
- хронический (системный), развивающийся после периодического взаимодействия с аллергеном (чаще с лекарственным препаратом), к которому ранее наблюдалась кожная сенсибилизация (патологическая чувствительность к конкретным веществам).
Принципиальная разница между простым и аллергическим контактным дерматитом заключается в том, что в первом случае после контакта с облигатным раздражителем в кожу поступают медиаторы воспаления и другие активные факторы, которые никак не связаны с аллергией.
Во втором случае патогенез состоит из двух фаз:
- первая встреча с аллергеном (сенсибилизация);
- вторичный контакт с проявлением характерных признаков, вызванных клеточно-опосредованной аллергической реакцией замедленного типа (4-й тип).
С момента знакомства с аллергеном до повторной встречи, с развитием симптоматической картины воспаления, может пройти от пары дней до нескольких лет. Этот вид болезни развивается только у детей, имеющих предрасположенность, то есть повышенную чувствительность к определенному факультативному раздражителю. Он редко бывает у малышей до года.
Классификация
Существует несколько разновидностей кожных патологий, способных возникать в качестве последствия аллергической реакции и протекать со значительным воспалением кожи.
Разновидности аллергического дерматита:
- Атопический. Характеризуется нервно-аллергической этиологией. Симптомы аллергического дерматита этой формы напоминают сочетание респираторных проявлений и экземы. Среди всех разновидностей болезни этот имеет наиболее легкое течение.
- Токсидермия. Может наблюдаться при проникновении аллергена через пищеварительный тракт, при вдыхании или его введении путем инъекции. Зачастую это происходит вследствие приема лекарств, и клинические симптомы зависят от вида действующего вещества. Синдром Лайела относится к опасным формам токсидермии с характерным острым некролизом покровов, ухудшением общего самочувствия и появлением специфических пузырьков в области подмышек. Вскрытие этих новообразований провоцирует возникновение эрозий. Отслаиванию кожи может подвергаться около 20-40% площади кожных покровов.
- Контактный. Может развиваться после вторичного соприкосновения со специфическим раздражителем. Ответом организма на его влияние является экспансивная внешняя реакция. Главная особенность этой разновидности дерматита в том, что кожные высыпания исчезают самопроизвольно после устранения контактов с аллергеном.
- Фитодерматит. В пыльце и соке растений разных семейств (маревых, лютиковых, первоцветных, лилейных, молочайных), а также в плодах цитрусовых содержатся вещества, попадание на покровы которых способно вызвать острую реакцию.
Аллергический дерматит на лице
Аллергический дерматит на лице чаще всего беспокоит именно женщин. Дело в том, что его основной причиной является контакт с кожей аллергенов, входящих в состав косметических и ухаживающих средств. Хотя и мужчины вполне могут столкнуться с этой проблемой, ведь раздражители присутствуют и в лосьонах для бритья.
В качестве ярких примеров сенсабилизаторов, приводящих к возникновению аллергии на лице и шее, можно выделить следующие вещества:
- металлы (особенно никель, который является одним из самых распространенных материалов для изготовления бижутерии);
- резина (входит в состав спонжей, с помощью которых наносится макияж);
- акрилаты (используются при изготовлении оправ очков);
- сосновая смола (сильный аллерген, являющийся ингредиентом множества косметических средств).
Аллергический дерматит на лице может спровоцировать и пыльца растений (как домашних, так и уличных), обморожение, обветривание, длительное воздействие прямых солнечных лучей, приём тех или иных лекарственных препаратов.
Стадии аллергического дерматита на лице и шее:
- высыпания в виде пузырьков и волдырей;
- покраснение, зуд и отечность пораженных участков кожи;
- буллезная стадия, характеризующаяся образованием шрамов и отмиранием кожных покровов.
Легкая форма аллергического дерматита на лице проявляется пузырьковыми высыпаниями, которые при высыхании образуют корочки.
Традиционные методы лечения
Главным способом избавления от аллергического дерматита является ликвидация аллергена, который вызвал данное состояние. В 98% случаев этого достаточно для того, чтоб избежать рецидивов заболевания. Однако, при острой форме аллергического дерматита, пациенту нужна немедленная помощь, которая включает в себя следующие методы терапии:
- Эмоленты. Это лекарственные средства, которые снимают жжение. Эффективными препаратами из этой группы являются бепантен, пантенол, лостерин.
- Антигистаминные средства для внешнего и внутреннего применения. Эти препараты позволяют уменьшить интенсивность аллергического иммунного ответа. К ним относят Эриус, Кларитин, Фенистил, Цетрин, Эдем, Зодак, Зиртек и многие другие. При их назначении врач учитывает индивидуальные особенности пациента, стадию заболевания, длительность клинических проявлений. Необходимо применять только препараты последнего поколения, т.к. они почти не вызывают побочных эффектов (угнетение иммунитета, сонливость).
- Местные дезинфицирующие и противовоспалительные мази. Левомеколь, Банеоцин – эти препараты уменьшают покраснение, жжение и препятствуют попаданию инфекции через поврежденные кожные покровы.
- Гормональные мази (глюкокортикостероиды). Назначают такие средства лишь в острой фазе для купирования приступа. Постоянное применение гормональных мазей недопустимо, ведь чувствительность организма к ним быстро снижается. Эффективными средствами для лечения аллергического дерматита являются преднизолон, гидрокортизон, Синафан, Элоком. Иногда эти препараты вводят внутримышечно или внутривенно (при генерализованных формах заболевания).
- В период выздоровления можно применять такие мази, как Актовегин и Солкосерил. Они помогают коже регенерировать, заживляют мелкие повреждения, микротрещины.
- Болтушки (взвесь масла, воды и порошка). Эти средства снимают зуд, подсушивают и успокаивают поврежденную кожу за счет испарения воды.
- Влажно-высыхающая повязка. Назначается, если у пациента наблюдают ярко выраженную гиперемию (покраснение), а также мокнутие поврежденного участка.
- Энтеросорбенты (Полисорб, Энтеросгель, Смекта, активированный уголь). Помогают организму быстрее вывести токсины и продукты распада, которые образовались в ходе аллергической реакции. Помимо основного медикаментозного лечения, рекомендовано общее укрепление организма с помощью витаминов, минералов и иммуномодуляторов. Также врач назначает лечение сопутствующих хронических заболеваний.
Необходимо помнить, что эффективность лечения аллергического дерматита зависит не только от компетентности доктора, но и от поведения самого пациента. Нужно чтоб больной сбалансировано питался, отказался от вредных привычек, пил достаточно жидкости, следил за теми средствами, с которыми контактирует его кожа. Важно исключить все возможные аллергены (на время отказаться от агрессивной косметики, гигиенических средств, а также использовать только гипоаллергенную бытовую химию). Запрещено носить грубую одежду, которая может спровоцировать повреждение кожи.
Аллергический дерматит у детей
Зачастую в младенчестве наблюдается пищевая непереносимость и аллергические реакции у ребенка на прием той или иной пищи. Во многом это связано с незрелостью некоторых органов и систем (например, желудочно-кишечной), с недостаточностью выработки ферментов, с наследственной предрасположенностью к аллергии.
- Существует мнение, что регулярный прием некоторых продуктов или лекарственных препаратов матерью при беременности способен влиять на возникновение явлений аллергического дерматита у новорожденного даже при проникновении раздражителей с грудным молоком.
- При попадании аллергенов в организм ребенка иммунная система вырабатывает и накапливает специфические антитела, провоцирующие воспалительные процессы на коже. Нередки высыпания на лице, именуемые родителями «диатезом». Область локализации явлений дерматита может затрагивать плечи, голени, ягодицы.
К 1,5-2 годам жизни дерматит может перейти на следующую стадию развития. Детский дерматит, в отличие от младенческого, характеризуется высыпаниями по всему телу с особенно сильными проявлениями на коленно-локтевых сгибах, верхней части груди и спины. Зачастую к 7-10 годам аллергический дерматит переходит в хроническую стадию, изредка случается рецидив, особенно весной и осенью.
Аллергический дерматит – описание и виды
Дерматитом (простым или контактным) называется воспалительная реакция кожи на систематическое воздействие ее поверхности раздражающих факторов.
Это может быть вода, химические вещества, механическое давление, трение, воздействие температуры – любой фактор, который непосредственно нарушает здоровую жизнедеятельность дермы.
Неаллергический дерматит может случиться у любого здорового человека при определенных обстоятельствах. Простейший пример контактного дерматита это ожог кожи 1 степени.
В отличие от простого дерматита, аллергический является индивидуальной гипер реакцией организма больного на внешний или внутренний раздражитель.
Другими словами, аллергическая реакция организма, которая проявляется как кожное воспаление, называется аллергическим дерматитом. Данное название является обобщающим и объединяет множество аллергодерматозов.
Как лечить аллергический дерматит
Различают следующие разновидности аллергических дерматитов:
- Атопический
- Контактный
- Пищевой
- Медикаментозный
- Пероральный
Обратите внимание! Аллергический дерматит это болезнь взрослых людей, которые склонны к проявлениям аллергии с детства. Дерматологические симптомы являются одной из составляющих аллергических реакций больного.
Например, дерматическая аллергия на слюну животных обычно сочетается с проявлениями астматических симптомов на шерсть. Изолированное лечение аллергического дерматита в этом случае не будет эффективным.
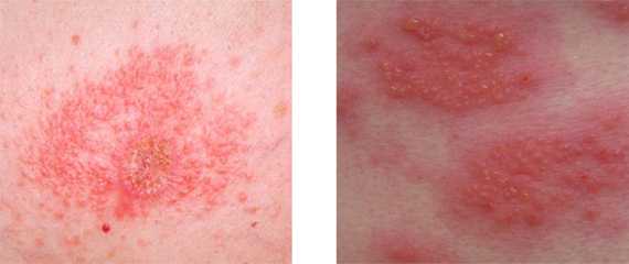
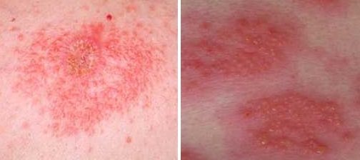
Фото аллергического дерматита

Контактный аллергический дерматит
Контактный аллергический дерматит можно уверенно назвать самым распространенным видом данного заболевания у взрослых и детей. Симптомы аллергического воспаления кожи здесь проявляются в ответ на непосредственное соприкосновение кожи с раздражителем.
Обратите внимание! Разновидностью контактно возникающей аллергии является кератит – воспаление роговицы глаза.
Кератит фото
Аллергенами могут служить:
- Бытовая химия – моющие, чистящие средства, стиральный порошок. Причем аллергические симптомы могут возникать не на все средства.
- Косметические средства, декоративная косметика. Игнорирование симптомов дерматита при использовании косметики, попытки «замаскировать» аллергические проявления тональным кремом, пудрой только усугубляют ситуацию, переводя контактный дерматит в атопическую форму.
- Ткани, латекс. Аллергия на латекс может проявляться симптомами не только контактного дерматита, но и проявлениями сенной лихорадки. Принято подменять аллергию на латекс у взрослых пациентов понятием «аллергия на презервативы». Однако латекс в нашей жизни гораздо более распространен. Чаще аллергические проявления на одежду связаны с резинками, которые есть в эластичных вставках. Хорошим индикатором чувствительности к латексу являются симптомы непереносимости взрослыми орехов, киви, бананов или авокадо.
- Животные — их слюнные, жиро-потовые выделения, с которыми контактирует человек.
- Растения, особенно ядовитые или колючие (жалящие).
- Солнечные лучи, холодный воздух.
- Агрессивные вещества, с которыми взрослый человек вынужден контактировать по роду своей деятельности (профессиональный).
Статья в тему: Как лечить аллергию на глазах, если они постоянно чешутся?
В отличие от простого контактного дерматита, проявления аллергического дерматоза возникают как неадекватный ответ на прикосновение к нейтральным для здорового человека веществам. Лечение требует полной изоляции больного от аллергена.
Аллергический дерматит на шее
Атопический дерматит
Что такое атопический дерматит? Это аллергическая реакция, которая является ответом организма на сильные переживания взрослого человека.
Атопическим дерматитом (нейродермитом) называется та форма аллергического дерматоза, которая возникает у взрослых на фоне стресса (на «нервной почве»). Простонародное определение лучше всего отражает суть атопического дерматита.
Симптомы его проявляются у взрослого человека после сильных нервных потрясений или связаны с глубокими переживаниями (не обязательно негативными).
Проявляется на коже рук, реже на лице, шее, груди. Несмотря на особую этиологию нейродермита, противоаллергическое лечение имеет классическую основу.
Обратите внимание! Нейродермит является наследуемой особенностью организма и часто сочетается с другими видами аллергии. Возможно, проявление нейродермита у матери проявится у ребенка симптомами пищевой непереносимости.
Атопический дерматит или нейродермит
Пероральный дерматит
Пероральный дерматит является разновидностью контактного, но в силу особенности симптомов выделен в особую форму. Пероральный аллергодерматит возникает в ответ на раздражающее воздействие аллергена в ротовой полости.
Симптомы могут быть вызваны:
- зубной пастой;
- жевательной резинкой;
- жевательным табаком;
- губной помадой.
Начальные проявления перорального дерматита это покраснение, воспаление кожи вокруг рта, в зоне носогубного треугольника. Лечение должно быть обязательным, поскольку в дальнейшем покраснение переходит в видимое утолщение кожи.
Воспаленная кожа на лице у взрослого человека заламывается стойкими морщинами, доставляя не столько физические, сколько моральные страдания.
Пероральный дерматит, фото
Пищевой и медикаментозный аллергический дерматит
Аллергия на определенные виды пищи или медикаменты, которая проявляется дерматологическими симптомами, называется токсико аллергическим дерматитом.
Клиническая картина болезни часто не ограничивается крапивницей. Сопутствующими симптомами могут быть температура при дерматите, бронхоспазм, отек Квинке.
Обратите внимание! Характерным проявлением аллергической реакции на сульфаниламиды является дерматит промежности, что у взрослого человека вызывает панику.
Медикаментозный дерматит
Симптомы аллергического дерматита у взрослых, фото
Симптомы аллергического дерматита у взрослых проявляются в зависимости от формы заболевания (см. фото).
1) При контактной форме болезни симптоматика выражена:
- ярко красными пятнами высыпаний в различных участках кожи, имеющих контакт с аллергеном;
- последующим замещением пятен пузырьками, наполненными жидкостью;
- постоянно зудящим процессом очаговых поражений;
- распространением сыпи на здоровую ткань, при длительном влиянии раздражителя в сопровождении суставной ломоты, головных болей и повышением температурных показателей.
Симптоматика диатеза (атопическая форма) проявляется:
- сильно зудящей сыпью на различных участках тела;
- бессонницей и нервными расстройствами на фоне непрерывного зуда;
- заторможенностью или сильным возбуждением;
- присоединением стафилококковой, либо стрептококковой инфекции в очагах расчесов;
- образованием гнойных очагов, отеков, трещин и сухих желтоватых корок на месте лопнувших расчесанных пузырьков.
Признаки токсикодермии сопровождаются:
- общей слабостью с возможной потерей сознания;
- холодным потом и отечностью;
- суставными болями и болями в поясничной зоне;
- кровавыми пузырьками на отдельных участках кожи;
- поражением головного и спинного мозга;
- нарушением функций легких и печени.
Признаки эпидермального токсического некролиза проявляются в очень короткий промежуток времени после контакта с антигенным возбудителем. В течении одного, трех дней пациент может погибнуть.
Симптомы проявляются:
- внезапным повышением температуры до очень высоких показателей, без каких-либо видимых причин;
- кожными высыпаниями на туловище, руках и ногах;
- множественными отечными красными пятнами, постепенно сливающихся в большие очаги;
- образованием на очагах пузырей различных размеров (размеров с ладонь заболевшего) покрывающая их кожа становится тонкой, дряблой, легко рвущейся при механическом воздействии;
- вовлечением в процесс поражения слизистых оболочек внутренних и половых органов.
Стадии развития аллергического дерматита:
- Острая. Через 1-2 дня или сразу же после близкого контакта с раздражителем на коже возникает отечность, воспаление, сыпь, больной жалуется на выраженный зуд.
- Подострая. На месте сыпи образуются признаки мокнутия, позже – короста и признаки шелушения.
- Хроническая. Кожа, подверженная частым воспалениям, становится грубой и утолщается.
Кожа младенцев особо подвержена влиянию негативных факторов. Внешние признаки дерматита у детей первого года жизни проявляются по-разному.
Диагностика
Диагностика аллергического дерматита врачом (педиатром, дерматологом, аллергологом) начинается с опроса, осмотра пациента, составления анамнеза.
Важно для врача правильно поставить диагноз и исключить другие более опасные заболевания. При подозрении на другие заболевания может потребоваться консультация: терапевта, гастроэнтеролога, эндокринолога, офтальмолога
При подозрении на другие заболевания может потребоваться консультация: терапевта, гастроэнтеролога, эндокринолога, офтальмолога.
В большинстве случаев, чтобы определить общее состояние пациента, назначают общий и биохимический анализ крови.
- Результаты общего анализа, а именно повышенное количество лимфоцитов, эозинофилов и СОЭ укажет, что дерматит вызван аллергией.
- Биохимия позволит определить в каком состоянии находятся печень, почки и другие органы. Запущенные хронические заболевания могут вызывать интоксикацию в организме, что и провоцирует появление высыпаний на коже. За 5 дней до анализа нужно прекратить принимать препараты содержащие гормоны.
Часто пациенты пытаются сами себе поставить диагноз, предполагая, что появление экзем на коже вызвано от только что нанесенного косметического средства, при этом забывая, что они уже давно его принимают и ранее такого не было
Поэтому так важно обращаться к специалистам и не занимается самолечением
Симптомы аллергии могут проявится не сразу, а через несколько дней после контакта с аллергеном или попадания его в организм.
Поэтому, врач, к примеру, аллерголог может назначить специальные анализы — кожные пробы, прик и скарификационные тесты для выявления аллергена или анализ крови на содержание иммуноглобулинов, повышенное их количество укажет на аллергическую природу дерматита.
Кожные пробы
Самый распространённый способ выявить причину аллергического дерматита это провести специальные пробы. На коже в области запястья делаются небольшие надрезы и на них наносятся растворы часто встречающихся аллергенов.
Через 20-30 минут места надрезов осматриваются, если есть покраснения и вздутие кожи значит на это вещество есть аллергия.
Важно за несколько дней до процедуры не принимать антигистаминные препараты. Больше на это тему читайте здесь https://allergiik.ru/proby.html
Больше на это тему читайте здесь https://allergiik.ru/proby.html.
Прик и патч тесты
Методы позволяют сразу проверить реакцию организма на большое количество аллергенов.
При прик тесте на спину пациента прикрепляется специальная липкая тестовая лента с аллергенами (до 20). Реакция на коже в местах соприкосновения с раздражителем может проявится сразу через 20 минут. Вздутия на коже укажет на аллерген-провокатор.
При патч тесте на ватный тампон наносится аллерген и с помощью пластыря последний крепится к участку на теле.
Больше по этой теме читайте тут https://allergiik.ru/prik-test.html.
Внутрикожные пробы
Под кожу с помощью инъекций вводится аллерген на глубину не более 1 мм. На месте укола образуется не большой плотный пузырек диаметром 5 мм, который рассосется уже через 15 минут.
Оценку результатов проводят по скорости проявления реакции и размеру вздутий и покраснений:
- Мгновенная реакция – результат положительный;
- Через 20 минут – немедленная;
- Через 24-48 часов – реакция замедленная.
- Без изменений – реакция негативная. Сомнительная – вздутие размером 1-2 мм. Позитивная – 3-7 мм. Явно позитивная – 8-12 мм. Гиперергическая реакция – более 13 мм.
Степень чувствительности организма к аллергену оценивается по шкале от 0 («–») до 4 («++++»).
Другие обследования
В дополнении к выше описанным тестам могут быть назначены пробы:
- Конъюнктивальная;
- Ингаляционная
- Назальная.
Если поставить диагноз не удается может быть назначен широкий спектр клинических исследований:
- Биопсия пораженного участка кожи;
- Анализы крови на свертываемость и содержание в ней холестерина;
- Исследование щитовидной железы и т.д.
Лечение аллергического дерматита
Ждать, когда кожная реакция самостоятельно исчезнет — абсолютно не правильный подход. Никто не застрахован от повторного, более бурного ее проявления и возможных осложнений.
Схема лечения аллергического дерматита:
- Устранение аллергена.
- Антигистаминные средства.Тавегил, димедрол, супрастин обладают серьезным побочным действием: сонливость, нарушают координацию, снижают внимание. Поэтому антигистаминное лечение следует проводить медикаментами нового поколения, не вызывающими подобных эффектов (зиртек, эриус и др.). Аллергию, вызывающую сильный кожный зуд, прекрасно нивелирует фенкарол.
- Противозудное лечение (успокаивающие средства — новопассит, настойка пустырника, таблетки валерианы).
- Препараты для детоксикации и ферменты (активированный уголь, мезим-форте, линекс при дисбактериозе).
- Местная терапия. Используются мази и гели противовоспалительного, противогрибкового и противозудного действия (препарат комбинированного действия — акридерм). Гормональные средства не рекомендуются детям и используются только при неэффективности других препаратов, длительность их использования не должна превышать 5 дней.
При лечении народными средствами стоит знать: использование лекарственных трав только нивелирует реакцию кожи и уменьшить аллергическую настроенность организма, но не избавит от самой аллергии.
Лечение
При развитии аллергического дерматита необходимо к лечению приступать как можно раньше.
Не всегда удается установить основную причину заболевания, но можно снизить вероятность его возникновения путем соблюдения гипоаллергенной диеты и использованием десенсибилизирующей терапии.
Если основной аллерген известен, то лечение необходимо начинать с устранения контактирования с ним.
Прерывание влияния раздражителя уменьшает кожную симптоматику, но не всегда полностью убирает ее, поэтому необходимо применять и определенные медикаменты:
- Гели и мази местного применения;
- Таблетки;
- Аэрозоли и эмульсии.
Гормональные мази для местного применения
На первые пять дней лечения дерматита назначают мази с кортикостероидами, это:
- Адвантан;
- Преднизолон;
- Акридерм;
- Афлодерм;
- Элидел;
- Локоид;
- Флуцинар;
- Дермовейт;
- Элоком;
- Синаф;
- Циклопорт;
- Комфодерм;
- Белосалик;
- Синафлан;
- Фторокорт;
- Белодерм и другие.
Для лечения проявлений дерматита на лице используют эмульсию Адвантан, ее наносят минимальным слоем один раз в сутки на протяжении трех дней.
При аллергическом дерматите на лице чаще назначают Гидрокортизон, который не плохо справляется с мокнувшими эрозиями.
Длительно кортикостероидные мази не используют, так как это может привести к развитию ненужных побочных эффектов, поэтому в качестве альтернативы можно попробовать одно из гомеопатический средств — мазь Флеминга.
Как использовать гормональные мази при аллергии читайте тут https://allergiik.ru/gormonalnye-mazi.html.
Негормональные мази
Негормональные мази при аллергическом дерматите действуют медленней, но они безопасней, особенно для детей и беременных.
Такие препараты оказывают комплексное действие на пораженный участок кожи, а именно:
- Антигистаминное;
- Увлажняющее;
- Противовоспалительное;
- Антисептическое;
- Противогрибковое;
- Ранозаживляющее.
К негормональным антигистаминным мазям относят:
- Фенистил гель и эмульсия;
- Луан;
- Тридерм.
Противовоспалительные и противозудные:
- Цинковая мазь;
- Псило бальзам;
- Цинокап;
- Витаон;
- Золотая звезда (не применяется возле глаз);
- Незулин;
- Эплан;
- Скин-Кап (выпускается также в аэрозолях);
- Пантенол;
- Бепантен;
- Радевит;
- Карталин;
- Эритромициновая;
- Левомеколь;
- Фуцидин;
- Нафтадерм;
- Протопик;
- Цикадерма;
- Мазь Флеминга.
При аллергическом дерматите на лице хорошо помогут:
- Деситин;
- Вундехил;
- Гистан гель;
- Актовеген;
- Солкосерил;
- Салицилово — цинковая паста.
Мази с содержанием цинка практически не имеют противопоказаний, они обладают подсушивающим, антисептическим действием поэтому их часто назначают детям на коже которых образовались мокрые экземы.
Антигистаминные препараты
Врач обычно назначает антигистаминные препараты последнего поколения, которые могут вызвать самое минимальное количество побочных реакций.
К этой группе медикаментов относят Эриус, Зиртек, Телфаст, Эзлор. Дерматит, сопровождающийся сильным зудом, можно лечить средством Фенкарол.
Список другие антигистаминных препаратов:
- Супрастин;
- Тавегил;
- Зодак;
- Кларитин;
- Цетрин;
- Цетрилев;
- Лоратадин;
- Дезлоратадин;
- Блогир 3;
- Ксизал;
- И другие препараты от аллергии.
Все выше указанные лекарства должны назначаться только лечащим врачом, так как у них есть противопоказания и возрастные ограничения по приему.
Детоксикационное лечение
Осуществляется путем приема энтеросорбентов — Полисорба, угля активированного, Энтеросгель, Фильтрум, Мультисорб, Полифепан, Зостерин Ультра и другие.
Для улучшения пищеварения назначаются ферменты Мезим форте, если есть дисбактериоз, то необходим прием Линекса, Аципола.
Успокаивающие средства
Приводят к уменьшению зуда и улучшают качество сна. Пациентам с дерматитами назначают настойку пустырника, Новопассит, Валериану.
Особенности лечения у детей
При лечении аллергического дерматита у детей необходимо выбирать только те средства, которые показаны к использованию в соответствующей возрастной категории.
Медикаменты подбираются каждому ребенку индивидуально, обычно используют:
- Препараты, нормализующие функционирование органов ЖКТ и устраняющие дисбактериоз. Грудничкам назначают Энтеросгель, Полифепан, Аципол.
- Пробиотики — Хилар, Наринэ.
- Антигистамины. С первых месяцев жизни назначают Фенистил в каплях, Зодак. Кларитин.
- Местное лечение дерматита нужно начинать с мазей, не содержащих гормоны, таких как Бепантен, Скин-кап. Гормональные мази назначают только, если проводимое лечение не дает результатов.
Часто маленьким детям назначают гепатопротекторы, они необходимы для того чтобы организм легче переносил лекарственную терапию и для того, чтобы токсические вещества полностью перерабатывались клетками печени.
Правила питания
Соблюдение правил питания при дерматитах входит в терапию заболевания и позволяет добиваться стойкой ремиссии. Специально разработанная диета при аллергическом дерматите у взрослых с ежедневным рациональным меню исключает аллергены и ускоряет процесс избавления от недуга.
К высоковероятным раздражающим продуктам относятся:
- орехи;
- кофе;
- квашеная капуста;
- морепродукты;
- цитрусовые;
- бобовые культуры;
- шоколадки;
- клубника.
Также не следует допускать присутствия в рационе блюд с содержанием консервантов, эмульгаторов и красителей. Опасными для аллергиков продуктами являются наваристые бульоны, все жареные, соленые и острые блюда, повышающие проницаемость ЖКТ к усвоению раздражающих веществ.
В процессе приготовления блюд важно соблюдать особенности технологии и не использовать продукты с истекшим сроком годности. Овощи и фрукты следует покупать из тех, что были выращены без удобрений. Если блюда готовятся из круп, их нужно вымачивать в воде как минимум 10 часов. Потребление сахара и соли рекомендуется снизить в 2 раза. Что касается мяса, его рекомендуется проваривать дважды.
Как диагностировать острый аллергический дерматит
Это заболевание, как и все кожные болезни, может диагностировать только квалифицированный специалист. Проявления могут быть схожи с экземой, псориазом, себорейным дерматитом, розовым лишаем. Поэтому для того, чтоб назначить правильное лечение, врач должен, прежде всего, провести диагностику заболевания.
Для этого необходим осмотр кожных покровов. Во время приема дерматолог определяет общее состояние пациента, спрашивает при каких условиях появилась сыпь, а также оценивает ее характер, морфологические особенности, глубину и обширность поражения. При аллергическом дерматите опытному доктору будет достаточно осмотра, чтоб заподозрить заболевание. Также дерматолог может составить эпикриз и направить пациента к врачу-иммунологу.
Именно этот специалист будет проводить дополнительные исследования, которые помогут уточнить диагноз и происхождение атопического дерматита. К этим исследованиям относится общий анализ крови, скарификационные пробы, ИФА и прик-тест (эти методы используются для определения аллергена).
Народные средства
Методы народной медицины помогают снять обострение аллергического дерматита, зуд и мокнутие, а также способствуют скорейшему восстановлению кожных покровов:
- Ванны и протирания из настоев череды, ромашки, коры калины, корня девясила.
- Хорошо заживляет и смягчает кожу крем из облепихового масла, смешанного с гусиным жиром в равных пропорциях.
- Измельчить на мясорубке 5 листьев подорожника, залить кашицу 70 мл. сухого белого вина, оставить на сутки. Смазывать проявления дерматита 2 раза в день.
- Свежие листья базилика измельчают в кашицу, после чего прикладывают под марлевую повязку к пораженным участкам кожи.
- Кашица из измельченного сельдерея – эффективное средство при мокнущих процессах на коже.
Однако в ряде случаев народные средства могут лишь усугубить ситуацию, поэтому заниматься таким лечением следует с осторожностью.
Как избежать появления аллергического дерматита?
Чаще всего предрасположенность к аллергии обусловлена отягощенной ответственностью. Поэтому, если в семье были случаи аллергических заболеваний, нужно уже с настороженностью отнестись к состоянию своего здоровья. Ниже представлен комплекс мер, которые помогут предотвратить возникновение аллергического дерматита:
- Если когда-либо наблюдалась аллергическая реакция на определенное вещество, нужно исключить контакт организма с этим антигеном. Это основная рекомендация, которую должны соблюдать люди, склонные к развитию аллергии.
- С осторожностью вводить в свой рацион продукты, которые могут спровоцировать аллергию.
- При контакте с бытовой химией, средствами для дезинфекции надевать перчатки.
- Вести здоровый образ жизни: отказаться от вредных привычек, наладить режим работы и отдыха, не перегружать организм, заниматься физическими нагрузками, больше времени проводить на свежем воздухе.
- Не допускать перегревания организма. Часто случается такое, что именно повышенная потливость становится пусковым механизмом для возникновения аллергического дерматита. Поэтому необходимо 2 раза в день принимать душ, часто менять нательное и постельное белье, при этом лучше всего использовать белье и одежду из натуральных тканей.
- Немаловажно поддерживать нормальную температуру и влажность в квартире. Особенно, во время сна и отдыха.
- Увлажнять кожу лечебными косметическими средствами. Это поможет предотвратить возникновение трещин и микротравм.
- Пользоваться гипоаллергенными средствами (это касается и косметики, и стирального порошка, кондиционера для одежды).
- Следить за состоянием кожи, а при возникновении первых признаков аллергического дерматита, срочно обращаться к специалисту.
Не стоит пренебрегать своим здоровьем и считать аллергический дерматит лишь косметической проблемой. Помните, что это серьезное заболевание, которое нужно лечить у дерматолога. Только при систематическом наблюдении за состоянием здоровья, возможно полностью вылечить аллергический дерматит и избежать повторного возникновения заболевания.
Код по МКБ 10
Контактный дерматит аллергической природы классифицируется в МКБ 10 следующими разновидностями диагнозов:
- заболевание, спровоцированное воздействием металлов – L23.0;
- аллергия, вызванная клейкими веществами – L23.1;
- дерматит, спровоцированный косметическими средствами – L23.2;
- лекарственный дерматит – L23.3;
- контактный аллергический дерматит, обусловленный воздействием красителей – L23.4;
- дерматит, вызванный влиянием разных химических веществ – L23.5;
- пищевой дерматит, обусловленный контактами продуктов с кожей – L23.6;
- дерматит, вызванный не пищевыми растениями – L23.7;
- дерматит, спровоцированный воздействием иных веществ – L23.8;
- дерматиты не ясной этиологии – L23.9.
Профилактика
Для профилактики аллергического дерматита следует избегать возможной сенсибилизации в любой форме ( производственная необходимость, лекарственные средства и т.д.).
Не рекомендуется частое местное применение препаратов, содержащих компоненты с высокосенсибилизирующей способностью:
- бета-лактамных антибиотиков;
- сульфаниламидов;
- местных анестетиков и т.д..
При производственной необходимости контакта с низкомолекулярными веществами необходимо применять средства индивидуальной защиты (перчатки, защитный костюм, маска).
При аллергии на резиновые перчатки, их следует заменить виниловыми. При планировании оперативных вмешательств у пациента с аллергией на латекс нужно это учитывать. Таким людям противопоказаны презервативы из латекса. При повышенной чувствительности к формальдегидам необходимо очень избирательно подходить к выбору косметических средств. Необходимо исключать косметику, содержащую этот консервант.
Если у человека выявлен аллергический дерматит, то с целью профилактики рецидивов и осложнений заболевания следует его подробно ознакомить с источниками аллергена, а также с перекрестно реагирующими веществами.
Симптомы, проявления контактного и токсического аллергического дерматита
Прежде чем приступить к лечению аллергического дерматита, пациент должен посетить дерматолога, пройти диагностическое обследование и установить, какой именно раздражитель является причиной заболевания. Основными признаками дерматоаллергии являются зуд, покраснение кожи, высыпания и жжение.
Сопутствующие симптомы могут различаться в зависимости от типа аллергического заболевания. Для сравнения: контактный дерматоз врачи диагностируют по красному припухлому пятну на участке тела, на который воздействовал раздражитель. «Красоваться» на очаге могут волдыри, имеющие прозрачное содержимое. По мере прогрессирования заболевания кожа на пальцах и кистях истончается, на ней появляются экзематозные пятна. Положение усугубляется частыми гигиеническими процедурами (мытье рук) и использованием чистящих/моющих средств на производстве и в быту.




























