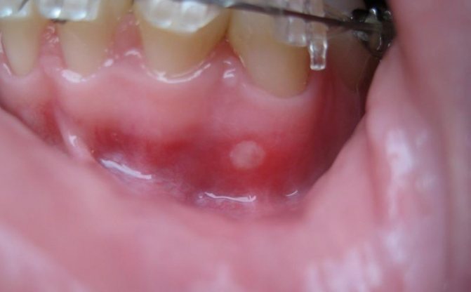
Ранка во рту не самое приятное явление происходящее иногда с людьми, она доставляет значительный дискомфорт. При таком повреждении человек может полностью отказаться от еды, ему будет тяжело глотать даже собственную слюну и разговаривать. Локализоваться такое гнойно-красное повреждение может на щеке, деснах, уголках рта, языке и нёбе, при этом каждая рана может иметь собственные причины возникновения.
Чаще всего к нарушениям целостности слизистой оболочки приводит лейкоплакия, которая возникает посредством неправильно выбранной зубной пасты. Для многих людей будет полезно узнать, почему возникают такие повреждения и как лечить раны во рту.
Причины возникновения ранок во рту
Слизистая оболочка ротовой полости обладает повышенной чувствительностью к неблагоприятным факторам среды. Ранки появляются по причинам:
- Афтозный стоматит относится к хроническим заболеваниям ротовой полости. Проявляется язвами, афтами на слизистой. При патологии развивается много язвенных дефектов на внутренней поверхности щек, языка, неба.
- Герпетическая инфекция поражает кожные покровы, оболочки, внутренние органы. Герпетический стоматит проявляется многочисленными мелкими язвами, которые располагаются группами на дне ротовой полости.
- Появление ран на слизистых оболочках рта вызывает некачественная гигиена. Несоблюдение гигиенических процедур чаще наблюдается у детей. Малыши могут страдать от афт Бернара. Они представляют язвенные дефекты, которые формируются на твердом небе от механического воздействия посторонних предметов.
- Рана появляется от нечаянного укуса.
- Твердая зубная щетка, вставная челюсть, протезы, заостренные коронки, привычка прикусывать губы, сильные удары по щекам вызывают дефект.
- Во время лечения стоматологическими процедурами пациент может получить инструментами небольшие травмы десен, губ, щек.
- Размножение грибков на внутренней поверхности ротовой полости проявляется язвами с белыми творожистыми отложениями. Первые симптомы кандидоза.
- Недостаток витаминов, сильные переживания, приводят к снижению местного иммунитета, появлению патологических очагов во рту.
- Некротический периаденит проявляется уплотнениями в подслизистом слое, который со временем перерождается в болезненные язвы. Заживление дефектов требует длительного времени.
Каковы симптомы афтозного стоматита?
Афтозный стоматит обычно появляется на подвижных частях рта, таких, как язык или внутренняя поверхность губ и щек, и у основы десен. Язвы выглядят поначалу как маленькие овальные или круглые красноватые опухоли, которые обычно появляются в течение дня. Разорванные язвы покрыты тонкой белой или желтой мембраной и окружены по краю красным кругом. В основном, язвы заживают в течение двух недель, не образуя шрамов. Жар возникает редко и язвы редко связаны с другими заболеваниями. Обычно у человека появляется одна или несколько язв за один раз.
У большинства людей впервые афтозный стоматит возникает в возрасте от десяти до 20 лет. У детей двух лет, как бы то ни было, может тоже проявляться это состояние. Часто повторное возникновение афтозного стоматита значительно разнится. У некоторых людей он появляется раз или два в год, в то время как у других афтозный стоматит может появляться постоянно.
Лейкоплакия
Лейкоплакия – заболевание, характеризующееся поражением слизистых оболочек, ороговением покровного эпителия разной степени выраженности. Первые и главные ее причины – это курение и алкоголь, а также реакция слизистой оболочки на разнообразные внешние раздражители, которая развивается на фоне действия различных эндогенных факторов и прежде всего желудочно-кишечной патологии, выявляемой у 90% больных.
Локализуется на слизистой оболочке нижней губы, угла рта, дна полости рта, языка, щек (в двух последних случаях чаще располагается по линии смыкания зубов). Встречается обычно в возрасте около 30 лет. Внешними раздражителями, непосредственно вызывающими лейкоплакию, служат хроническая механическая травма, горячий табачный дым, инсоляция и другое.
Течение лейкоплакии хроническое. Если раздражающий фактор устранен или его действие резко ослаблено, если проведена санация организма в широком смысле слова, то прогрессирование лейкоплакии обычно прекращается, и при правильной консервативной терапии она может регрессировать. Иначе заболевание постепенно прогрессирует и может трансформироваться в рак, что происходит при веррукозной и эрозивной форме.
Как и чем нужно обрабатывать раны на слизистой рта
Дефекты на слизистой оболочке проявляются типичными симптомами: болью, которая усиливается во время приема пищи, неприятным запахом, металлическим привкусом. Патология нарушает обычный ритм жизни человека. Он быстро устает, не может покушать вследствие выраженной боли. Убрать неприятные симптомы помогут дешевые антисептики (йод, зеленка, перекись), которые имеются в каждом доме.
Полоскание с перекисью водорода лечит от симптомов острого тонзиллита. Антисептическое средство дезинфицирует рану ротовой полости от микроорганизмов, которые вызывают заболевания. В инструкции к препарату указывается только наружное применение. Представители народной медицины советуют разводить лекарство с водой, чтобы избежать неприятных последствий. Перекись водорода разводится: на 120-150 мл воды нужно взять 1 ч.л. антисептика. Раствор должен быть теплым, чтобы уменьшить раздражение слизистой оболочки.
Перед применением лекарства необходимо посоветоваться с врачом. Доктор выявит истинную причину заболевания, определит тактику лечения ранки во рту. Перекись водорода эффективна, если язвы имеют травматическую, бактериальную этиологию.
С грибками лекарство не справится.
Медикаментозное средство можно использовать 4-5 р/сут на протяжении 7-14 дней. Важно не переусердствовать. Неправильное разведение, частое полоскание может привести к химическому ожогу слизистой оболочки. Избежать патологического состояние поможет соблюдение врачебных рекомендаций.
Через 2 недели – к врачу
Обычный катаральный стоматит, вызываемый бактериями, встречается чаще всего. Его можно лечить самостоятельно. Если это делать правильно, чаще всего он проходит за 1–2 недели.
Эффективными домашними средствами лечения являются полоскание рта раствором соды (1 ст. ложка на стакан тёплой воды), или борной кислоты (1 ч. ложка на 150 мл воды), или перекиси водорода (1 ч. ложка на полстакана воды). Также можно приготовить отвар ромашки. Хорошо заживляет ранки масло облепихи и шиповника, настойка прополиса.
Кроме того, необходимо орошать полость рта антисептиками (например, хлоргексидином или мирамистином). При сильной боли можно использовать обезболивающие стоматологические гели с лидокаином. Но если за две недели стоматит не проходит, надо обязательно посетить врача. Ведь запущенная болезнь может привести к гнойным осложнениям и даже отмиранию тканей.
Однако появление стоматита могут вызывать не только бактерии. Возбудителями могут быть и вирусы (например, энтеровирус и вирус герпеса). В этом случае чаще всего болезнь сопровождается повышением температуры. Также дело может быть в грибковой инфекции (например, молочнице) – тогда во рту может быть творожистый налёт.
Изъязвление слизистой может возникать и вследствие аллергической реакции (например, при аллергии на сплав, из которого сделаны зубные протезы). Поэтому очень важно определить, чем именно вызвано заболевание. А сделать это может только врач.
Герпетический стоматит лечится местными обезболивающими и противовоспалительными препаратами, а также противовирусными мазями и иммуномодуляторами. Бактериальное поражение слизистой полости рта требует приёма антибиотиков внутрь. Кандидозный стоматит, вызываемый грибками, лечится противогрибковыми препаратами (применяются внутрь и наружно).
Лечение и профилактика болячек ротовой полости
Как уже говорилось, причинами появления в ротовой полости белых гнойников могут служить бактерии и вирусы при ослаблении иммунной системы и в результате острого авитаминоза.
Таким образом, выявив, причину возникновения заболевания назначается курс соответствующего лечения.
Так,при образовании гнойников во рту в результате снижения иммунитета и витаминного дисбаланса, лечение направляется на поднятие защитных функций организма и насыщение его необходимыми витаминами. Местное лечение полости рта заключается в полоскании антисептическими и противовоспалительными препаратами. Такие полоскания следует проводить после каждого приёма пищи.
Лечение стоматита медикаментозными препаратами
Для поднятия иммунитета назначают иммуномодулирующие и иммуностимулирующие препараты, а для восстановления витаминного баланса, курс витаминотерапии.
Для лечения заболевания, вызванного вирусом герпеса, назначают противовирусные препараты, которые будут активно бороться с возбудителем инфекции. Для местной терапии и заживления поражённых тканей назначают противовирусные мази и антисептические растворы. Они помогут остановить воспалительный процесс и будут способствовать быстрому заживлению язв.
При грибковом и бактериальном поражении ротовой полости назначается терапия противогрибковыми и противобактериальными средствами. Это могут быть как пероральные препараты, так и препараты местного действия. При кандидозном стоматите назначают обработку полости рта слабым раствором соды. С зыка удаляют образовавшийся белый налёт при помощи ватно-марлевого тампона. При стоматите, могут также назначить курс антибиотиков, которые будут бороться с бактериальной инфекцией.
Лечение стоматита народными средствами
Язвочки, образовавшиеся в результате механического повреждения тканей полости рта, лечатся при помощи препаратов местного действия. В курс такой терапии входя заживляющие и противовоспалительные мази, а также антисептические препараты для полоскания полости рта.
Не исключено лечение стоматитов и при помощи народных средств. Так, для лечения стоматита такими средствами применяют:
- Раствор воды с медицинской перекисью водорода — на 0,5 стакана воды добавляют чайную ложку перекиси и полоскают рот три раза в день. Такая процедура будет подсушивать язвочки и оказывать антисептическое и болеутоляющее действие;
- сок алоэ или коланхое — полоскание рта соком из эти лечебных растений будет способствовать снятию воспалительного процесса и быстрому заживлению язвочек;
- Отвары из лечебных трав (ромашка, шалфей, зверобой, календула, лапчатка) — отвары можно делать из смеси этих трав или применять по отдельности. Полоскания проводятся после каждого приёма пищи не менее десяти дней.
Однако, следует помнить о риске самолечения так, как одних только местных процедур бывает недостаточно. зачастую требуется проведение комплексной терапии. К тому же существует риск распространения инфекции в более глубокие слои мягких тканей и риск возникновения серьёзных осложнений.
Язвы во рту
Профилактические меры заболеваний полости рта
Чтобы избежать развития неприятных заболеваний полости рта, следует соблюдать правила личной гигиены, и избегать общего пользования столовыми приборами с болеющим человеком.
Относительно детей, следует следить за чистотой игрушек и пустышек, и не допускать попадания в рот грязных предметов. При контакте с другими детьми избегать и не допускать игры с личными игрушками, на которые может попадать слюна.
Взрослым же следует следить за своей иммунной системой и витаминным балансом. При наличии хронических инфекций, вовремя проводить профилактическое лечение и санацию полости рта.
Также следует помнить о вреде длительного приёма антибиотиков. Любая терапия этими препаратам должна проводится под наблюдением врача или строго с инструкцией.
Язвенные заболевания полости рта довольно неприятное явление и как любая болезнь требуют правильного и своевременного лечения. Не следует заниматься самолечением так, как, всегда есть риск усугубления заболевания. К тому же, чтобы правильно и быстро вылечить такие болячки следует знать причину их появления. Только правильная и квалифицированная помощь поможет избежать нежелательных осложнений и дальнейшего распространения инфекции в ткани полости рта.

Методы лечения ран во рту
Перед началом терапии ран в слизистой следует разобраться в причинах состояния. Если язвенные дефекты вызваны другим заболеванием, нужно бороться с основной патологией для уменьшения размеров язв.
Раны, которые появляются от механического раздражения щеткой, зубами, лечатся антисептическими средствами. Они позволяют снизить риск присоединения бактериальной флоры.
Терапия патологического состояния дополняется диетой, назначением витаминов группы В, профилактикой обострения хронических патологий, исключения стрессовых ситуаций.
Пациент с рецидивирующими язвами в слизистой рта при отсутствии эффекта от лечения должен сдать комплекс анализов для исключения системного заболевания вирусной этиологии (ВИЧ, гепатит).
Медикаментозные
- Хлоргексидин – антисептический раствор, который способствует быстрому лечению раневых дефектов во рту. Лекарственное средство обладает противомикробными, дезинфицирующими способностями. Аллергические реакции на состав препарата наблюдаются редко. Он подходит для детей. Раны под действием Хлоргексидина могут зажить за 5-7 дней. Полоскания нужно проводить 3-4 р/сут.
- Ксикаин гель оказывает три основных действия: снижает боль, уничтожает патогенную флору, снимает воспалительные явления. Лекарственное средство не применяется у детей.
- Асепт – популярный спрей на основе Лидокаина. Препарат одновременно обезболивает и обеззараживает воспалительный очаг. Спрей применяют 2-3 р/сут.
- Стоматидин уничтожает патогенные микроорганизмы, дезинфицирует слизистую ротовой полости. Препарат широко используется для борьбы с симптомами стоматита. Оказывает лечебное действие, если просто прикусить губу.
Народные
- Представители народной медицины рекомендуют лечить рану во рту после прикуса отварами из коры дуба, ромашки, календулы. Их можно перемешать или приготовить отдельно. На стакан кипятка берется 1 ст.л растения. Ротовую полость следует полоскать теплым настоем 3-4 р/сут.
- Избавиться от проблемы помогут Фурацилин, сода, соль. Для приготовления раствора понадобится 5 таблеток препарата, по 1 ч.л кухонных ингредиентов. Перечисленные компоненты раствора перемешиваются в стакане воды. На день понадобится 4-5 полосканий, чтобы добиться скорейшего заживления язвенных дефектов.
- От болезненных царапин помогает рецепт с прополисом. На стакан воды берут 1 ч.л спиртового раствора, полощут. Прополис снимает дискомфорт, способствует быстрому заживлению. Болячка уходит за неделю.
- Против стоматита используют полоскания с морковным, хреновым, капустным соком.
- Чайный гриб лечит раны во рту, которые образуются после травм слизистой оболочки. Улучшение наступает после первого полоскания.
Лечение
Лечебные мероприятия, направленные на устранение патологии подбираются исходя из факторов, вызывающих аномалию. На начальном этапе маленькому пациенту назначаются антибиотические, противоаллергические препараты, лекарственные средства, снимающие воспаление, отечность, кровоточивость. Параллельно обрабатываются раны антисептическими средствами. Также проводится ультразвуковая терапия.
Рана на десне у грудничка требует постоянной обработки, полоскания обеззараживающими растворами. Поскольку сам он еще не умеет этого делать, родители должны делать примочки слабым солевым раствором, смазывание Метрогил гелем, Холисалом, Камистадом, Калгель.
Для ополаскивания десен также применяется раствор Хлоргексидина, спрей Люголя, Ингалипта. Эти лекарственные средства качественно устраняют образование бактерий, грибковых инфекций. Если проблема вызвана инфекционным заболеванием, назначается прием Ремантадина, Ацикловира, Интерферона. Для заживления ранок также хорошо помогает мазь Завиракс, Мегасин.
Не стоит оставлять без внимания возникновение у ребенка ранок на десенной ткани. Желательно сразу обратиться к специалисту, чтобы процесс инфицирования не продвинулся глубоко. Врач определит причину патологии, назначит адекватное лечение.
Обзор эффективных мазей
- Бонафтон применяется у пациентов с герпетическим поражением кожных покровов, слизистых оболочек. Лекарственное средство оказывает негативное воздействие на вирус простого герпеса. Подавляет рост, размножение патогенных микроорганизмов. Мазь применяется по три-четыре раза в сутки на протяжении 2 недель.
- Солкосерил – лекарственное средство, которое предназначено для улучшения обмена веществ, ускорения регенеративных процессов. Препарат назначается для лечения воспалительных явлений роговицы глаза, сосудов нижних конечностей. Он борется с проявлениями стоматита, гингивита. Препаратом нужно намазывать 2 р/сут очаг воспаления. Положительный эффект достигается через 2-5 дня после начала лечения.
- Пимафуцин оказывает противогрибковое действие. Активные компоненты крема подавляют процессы жизнедеятельности микроорганизма. Пимафуцин предназначен для наружного применения.
- Метрогил Дента – мазь для лечения ран во рту. Состоит из метронидазола и хлоргексидина. Средства обладают дезинфицирующими, противомикробными свойствами. Гель применяется 2 р/сут на протяжении 2-3 недель.
Чем мажут стоматит во рту у беременных, и что делать, если язвочки во рту малыша?
Стоматит во время беременности — обычное дело, поскольку в женском организме происходит большое количество гормональных изменений. Но он несет опасность и дискомфорт не только для мамы, но и ребенка. Поэтому очень важно лечить его правильно, а так же делать профилактику, чтоб предотвратить возникновение.
Мы не являемся фанатами самолечения, особенно беременных женщин. Единственное, что рекомендуем при лечении — обратиться как можно быстрее к врачу. Он знает препараты, прием которых допускается в период беременности.
В домашних условиях лечения стоматита у беременных и детей — достаточно будет просто проводить профилактику. А именно:
- Полоскать рот теплой водой с содой.
- Чистить зубы 2 раза в сутки, а лучше всего после каждого приема пищи.
- Использовать бальзамы и ополаскиватели для рта.
Такими вариациями вам удастся соблюдать гигиену, а, как результат избегать болезней полости рта.
Особенности избавления от гнойной ранки
Гнойная ранка во рту возникает в результате активной деятельности микробов. Состояние сопровождается выраженной болезненностью, неприятным запахом. Дефекты на слизистой врачи рекомендуют обрабатывать антисептическими растворами для полоскания, антибактериальными мазями. Противопоказано самостоятельно прокалывать, выдавливать патологический очаг, чтобы освободить гнойное содержимое.
Для обработки используется Метрогил Дента, Холисал. В качестве антисептиков подходят Ротокан, Хлоргексидин, Гивалекс. Средства применяются в стоматологии для лечения проблем слизистой оболочки ротовой полости.
Если патологический процесс сопровождается длительным повышением температуры, появление гноя в ране ставится вопрос о системном приеме антибактериальных средств. Они подавляют рост, размножение патогенной микрофлоры во рту, способствуют скорейшему выздоровлению. Подбором эффективной противомикробной терапии занимается семейный врач или терапевт.
Причины и пути появления болячек во рту. Виды заболеваний, вызывающих язвочки во рту
Причины и пути появления болячек во рту
На появление во рту болячек могут служить различные причины. Язвочки могут появляться в результате:
- механического повреждения — при прикусывании языка или щеки в результате неправильно установленной брикетной системы или повреждении тканей полости рта стоматологическими инструментами или другими инородными телами;
- ослабленного иммунитета — при ослабленной иммунной системе, любая инфекция, попавшая в рот, может спровоцировать воспаление слизистой оболочки полости рта;
- попадания в полость рта вирусов или бактерий — бактерии или вирусы вызывающие болячки в полости рта могут передаваться через предметы, на которые попали болезнетворные микробы. Такой путь заражения распространён среди детей грудного и раннего возраста;
- как сопутствующее заболевание — может протекать как осложнение или основной симптом в результате течения другого острого инфекционного заболевания;
- наличия хронической герпесной или стафилококковой инфекции — как уже говорилось, заболевания полости рта могут быть вызваны вирусами или бактериями. Наличие в организме хронической инфекции может провоцировать их появление при соответствующих благоприятных условиях. Одним из основных условий является сильное ослабление иммунитета;
- сильных авитаминозов — при критическом недостатке витаминов в организме на слизистой оболочке нёба могут появляться язвочки розового цвета. Такие болячки во рту проходят самостоятельно с восстановлением витаминного баланса в организме;
- аллергических реакций — при сильной реакции организма на аллерген в полости рта и на губах могу появляться язвочки, которые проходят после правильного лечения;
- хронических заболеваний желудочно-кишечного тракта;
- сильных гормональных нарушений — гормональный дисбаланс в организме человека способен провоцировать развитие многих заболеваний и образование во рту болячек не исключение;
- анемии, онкозаболеваний и некоторых венерических заболеваний — анемия и онкозаболевания сильно снижают защитные функции организма и способствуют появлению сильных авитаминозов. В результате чего в полости рта могут появляться язвочки.
Как видно, на развитие заболевания могут влиять различные причины, однако, основной из них является ослабление защитных функций организма. Если иммунная система взрослого человека или ребёнка сильная, то организм не даст болезнетворным микробам размножаться и будет активно с ними бороться.
А вот пути попадания инфекции в полость рта не стол разнообразны. Среди основных путей инфицирования выделяют:
- контактно-бытовой — при пользовании с больным человеком одних и тех же столовых приборов;
- орально-фекальный — такой путь заражения распространён среди детей младенческого возраста. Он возможен в результате пользования игрушками или столовыми приборами заражённого ребёнка. болезнетворные микробы попадают в организм здорового ребёнка вместе со слюной болеющего;
- артифициальным — при использовании в стоматологических кабинетах не стерильных медицинских инструментов;
- алиментарным — микробы попадают в полость рта с грязным игрушками или продуктами питания.
Чаще всего к образованию язвочек во рту склонны дети, это обусловлено тем, что маленький ребёнок может подбирать с пола и тянуть в рот грязные предметы. А при наличии во рту микротравм или при прорезывании зубов, болезнетворные микробы попадают в мягкие ткани полости рта и начинают их атаковать, образовывая язвочки.
Виды заболеваний, вызывающих язвочки во рту и их симптоматическая картина
Язвочки в ротовой полости могут образовываться в результате некоторых заболеваний. Каждому из этих заболеваний присуща своя симптоматическая картина и локализация язвенных образований. Так, среди основных видов заболеваний ротовой полости выделяют:
- Афтозный стоматит — возникает в результате ослабления защитных функций организма, острого недостатка витаминов группы С и В, а также попадания в ротовую полость бактерий. При афтозном стоматите в ротовой полости (на внутренней стороне губ и щёк, а также на небе и зыке) появляются болезненные язвочки серовато-беловатого цвета. Такие язвочки доставляют большой дискомфорт при приёме пищи так, как болезненно реагируют на солёные и кислые продукты.
- Рецидвирующий афтозный стоматит — является хронической формой афтозного стоматита и проявляется вследствие снижения защитных функций организма. Рецидивирующий стоматит отличается наличием розоватых афт, которые при своевременном лечении начинают нагнаиваться и приобретать белесый оттенок. такие язвочки также проявляют болезненность при приёме пищи.
- Герпесный стоматит — вызывается вирусом опоясывающего герпеса. Язвенные образования при герпесном стоматите поражают слизистую оболочку нёба. Они очень болезненны и имеют розовато-беловатый цвет. При герпесном стоматите нередко бывает невысокая температура. Герпесные язвочки имеют небольшие размеры и круглую форму с чёткими очертаниями, располагаются на твёрдом небе хаотично и не образовывают отдельных очагов. Проявляется преимущественно у взрослых женщин, имеющих хроническую герпесную инфекцию.
- Грибковый стоматит — вызывается при попадании в ротовую полость бактериальной инфекции. Грибы, размножаясь, поражают слизистую оболочку и образуют болячки во рту белого цвета. Язвочки обильно покрыты белым налётом и поражают губы, щёки и мягкое нёбо. Иногда могут поражать заднюю стенку глотки и нёбные дужки с миндалинами. При грибковом поражении ротовой полости, возможно повышение температуры, особенно у детей. Язвочки имеют большую форму с чёткими очертаниями и располагаются хаотично не образовывая отдельных очагов.
- Язвенный стоматит — возникает в результате повреждения мягких тканей полости рта и попадания в раны инфекции. Такие язвы имеют большие размеры и могут образовываться как одиночно (одна большая язвочка на внутренней части губы или щёки, а также на языке) или множественно (образуясь сразу в нескольких местах). Такая болячка во рту белая, с явными признаками прогрессирующего воспалительного процесса. Постоянно кровоточит и сильно болезненна. Возникает чаще у детей младенческого возраста.
- Катаральный стоматит — возникает в результате снижения иммунной системы и нехватки витаминов в организме. Такой вид стоматита вызывает отёчность и гиперемию слизистой оболочки щёк и языка в зоне смыкания зубов. На поражённых участках появляется белый налёт. Основной отличительной чертой этого заболевания является поражение только верхних тканей. Инфекция не проникает вглубь не вызывает образование язв.
- Язвенный гингивит — характеризуется образование мелких розовых язвочек на дёснах между зубами. Такие язвочки очень болезненны и могут приводить к потере стойкости зубов. Они кровоточат и очен болезненны. К тому же создают проблемы при чистке зубов.
- Кандидозный стоматит — вызывается грибами типа Condidos. Может возникать в результате длительной терапии антибиотиками пенициллинового ряда. Кандидозный стоматит образовывает на языке плотную творожистую белую плёнку, при удалении которой ткани языка имеют ярко-красный цвет. Во рту появляется неприятный запах и может повышаться температура тела.
Чем обработать
Для устранения вирусного стоматита детям часто назначается препарат Стоматофит и гели с обеззараживающим действием. Обычно рекомендуется после применения лекарственного средства сразу обрабатывать ротовую полость гелем Холисал либо раствором йода.
При вирусном стоматите лечение язвочек может проводиться с помощью слабо-фиолетового раствора марганцовки. Для того, чтобы избавить слизистую ребенка от разлагающихся остатков пищи, рекомендуется после еда полоскать рот Фурацилином или Хлоргексидином.
Маленьким детям разрешается смазывать воспаленные участки слизистой Солкосерилом и гелем Метрогил Дента. Такие лекарственные средства обладают обезболивающим действием и ускоряют затягивание ранок.
Появление язвочек в полости рта является поводом для того, чтобы показать ребенка врачу. В некоторых случаях такие высыпания являются признаком опасных патологий, которые могут негативно отразиться на здоровье ребенка в будущем.
Белые прыщики и язвочки во рту нередко вызывают болезненные ощущения и беспокойство у ребятишек. Они могут поражать небо, язык, внутреннюю поверхность щек, миндалины. В чем причина этого явления и насколько оно опасно для здоровья крохи? Что делать, если у малыша появились подобные болячки: лечить самостоятельно или обратиться к опытному стоматологу?
Причины появления белых язвочек
Куда стоит обращаться за помощью?
Если на протяжении недели нет признаков уменьшения язв, причины их появления и необходимое лечение сможет определить только специалист. Однако при появлении маленьких поражений в полости рта, которые исчезают за 3-4 дня, нет поводов для волнения.
Важно! В случае систематического появления афт стоит незамедлительно обратиться к врачу.
Если болячки исчезают за 3-4 дня, поводов для волнения нет
При более сложных ситуациях появление язв может сопровождаться такими симптомами, как:
- резкое повышение температуры тела;
- образование язвочек на коже рук, ног;
- ухудшение самочувствия;
- тошнота, рвота, расстройство желудка;
- воспаление слизистой рта.
Особенно стоит акцентировать внимание на перечисленных симптомах, если они проявились после употребления определенной пищи или медицинского препарата. Если с язвами появляется сыпь на коже, причина может крыться в инфекционном заражении или аллергической реакции.
Важно! Вдобавок могут быть затруднены дыхательные процессы, возможно появление головных болей.
Иногда такая проблема возникает как аллергическая реакция на определенную пищу или препарат
Как избавится от застарелой капсулированной раны на слизистой
Капсулированная рана на слизистой рта свидетельствует о давности патологического процесса. Если через 3-4 недели интенсивной терапии не наблюдается положительной динамики, ставят вопрос о радикальном лечении.
Застарелые незаживающие раны лечат посредством небольшой операции, которую проводит хирург. После удаления капсулы назначают противомикробные мази. Они ускоряют выздоровление, препятствуют развитию осложнений.
Предупредить формирование застарелого очага во рту поможет своевременное обращение за медицинской помощью, ранняя диагностика причины патологии, соблюдение врачебных рекомендаций.
Статья проверена
редакцией
Язвы во рту — распространенный недуг, который в основном поражает молодых людей, а так же тех, кто имеет психологические проблемы и регулярно находится в нервном напряжении или состоянии стресса.
Известно, что с данной проблемой ежегодно приходится встречаться практически 1/3 населения земли.
Довольно часто люди не обращают на ранки во рту никакого внимания и не занимаются их лечением, ведь часто они заживают за короткий промежуток времени. Такой процесс объясняется быстрой регенераций клеток слизистой оболочки рта.
В некоторых случаях подобные ранки могут стать причиной дискомфорта и болевых ощущений. В таких ситуациях необходима срочная медицинская помощь. Так как в противном случае могут проявиться и другие сопутствующие заболевания, которые в свою очередь будут усугублять самочувствие человека.
Причины появления
Причин такого явления достаточное количество — от мелких механических травм до тяжелых болезней. Среди заболеваний, которые могут стать причиной появления язвочек во рту, можно выделить следующие.
- Герпетиформный стоматит. Для этой патологии характерны небольшие ранки серого цвета со слабо очерченными границами. Чаще всего появляются в нижней части ротовой полости, нанося вред слизистой оболочке. Есть вероятность распространения на подъязычный участок. Пораженная область заживает относительно быстро – достаточно всего недели.
Герпетиформный стоматит
- Некротический периаденит. Особенность этого заболевания состоит в образовании уплотнения на определенном участке слизистой полости рта, которое в дальнейшем переходит в язвочки. Границы ранок достаточно плотные, центр является сосредоточением отслоившихся кровяных клеток. Такие ранки, как правило, образовываются на слизистой оболочке щек, сбоку языка, на нижней губе. Для язв характерна чрезмерная болезненность. Курс лечения требует немало времени. При отсутствии должной терапии болезнь примет более сложную форму, а ранки будет очень тяжело вылечить. При таком раскладе на лечение может уйти год и более.
Некротический периаденит
- Афтозный стоматит. При такой патологии язвочки возникают на губах, внутренней стороне щек, языке, вдобавок поражая небо. Правильно спланировав лечебный курс, можно устранить проявления патологии за 10-14 дней. Когда ранки полностью заживут, вместо них появятся мелкие рубцы. Причина такого заболевания может крыться даже в обычном нервном расстройстве, сильном стрессе или гормональном сбое.
Афтозный стоматит
Люди, страдающие колитом, тоже часто сталкиваются с появлением язвочек во рту.
Механическое влияние
В большинстве случаев причина появления ранок во рту кроется в механических травмах. Ребенок часто случайно прикусывает язык и щеки. Повредить слизистую оболочку также можно игрушками, канцелярскими принадлежностями, столовыми приборами и прочими предметами.
Болячки во рту могут возникнуть из-за механических травм слизистой
Механические травмы могут являться причиной образования язв и у взрослого человека. Как показывает теория и практика врачей, факторы, провоцирующие появление такой проблемы, бывают самыми различными. К самым частым причинам относят распространение инфекции на травмированные участки слизистой. Иногда болезнь связана с недостаточным соблюдением гигиены ротовой полости. Часто ранки появляются в результате применения некачественных стоматологических приборов.
Важно! Такому виду язв чаще всего присущ желтоватый цвет.
Затягивание ранок проходит без каких-либо трудностей и заканчивается спустя пару недель.
Такие язвы затягиваются через неделю-две
Язвочки при туберкулезе полости рта
Образование язвочек может быть напрямую связано с очень серьезной и страшной болезнью – туберкулезом. Оказываясь в слизистой, микроорганизмы влияют на распространение афт по всей ротовой полости.
Важно! Если самочувствие больного значительно ухудшается, пораженные участки могут во много раз увеличиться и доставлять большой дискомфорт и болевые ощущения.
Как итог, пораженная область практически полностью становится покрыта красными точками. Такой симптом проявляется одновременно с резким скачком температуры и сильным выделением пота. Чтобы вылечить язвы у человека, болеющего туберкулезом, придется запастись терпением, так как этот процесс достаточно длительный и сложный. Он нуждается в регулярном наблюдении специалиста.
Язвы во рту могут образоваться при туберкулезе
Язвы при сифилисе
При такой патологии ранки во рту имеют круглую форму с инфильтратом. Чаще всего они образуются на последнем этапе инкубационного периода. Очаг воспаления будет сохраняться до момента полного выздоровления. Отличительная черта – четко виднеющийся центр красного оттенка, который покрыт серым налетом.
Важно! Боли не являются характерными для этого заболевания.
Язвы при сифилисе
Гингивостоматит
Среди числа патологий, способных спровоцировать образование язвочек, стоит выделить гингивостоматит. Края афты при этом неровные, сверху образовывается налет желтого цвета. Как правило, очаги воспаления появляются на деснах, небе, слизистой оболочке щек. Вызвать появление язвочек могут инфекции, аллергии, переохлаждение. Такие травмы приносят достаточную болезненность и неприятный запах изо рта.
Важно! Могут отмечаться отечность и кровоточивость десен.
Язвенно-некротический гингивостоматит
Герпетиформный стоматит
Такие язвы похожи на те, которые возникают при стоматите. Образовываются они в нижней части ротовой полости и на языке. Имеют сероватый оттенок, у них нет четких границ. В течение 7 дней могут исчезнуть, но при отсутствии лечебных мер впоследствии снова появиться.
Герпетиформный стоматит
Рецидивирующий стоматит
Эта разновидность болезни проявляется поражением рта, щек, неба и языка, может затрагивать участки около губ. Появление язвочек сопровождается болезненными ощущениями. Во время чистки зубов или приема пищи болячки во рту могут приносить дискомфортные ощущения, при систематических повреждениях перерастают в тяжело затягивающуюся рану. Заболевание может проявиться в результате сильного стресса или во время менструации у женщин.
Рецидивирующий стоматит
Травмы
Появление язв во рту может быть связано с травмирующими факторами, например:
- Когда чистка зубов выполняется неправильно.
- Возникли трещины мягких тканей после укусов.
- Неправильная санация полости рта.
- Некачественно установлены протезы, коронки, брекеты.
Травмы тоже являются распространенной причиной образования язвочек. Чем лечить рану во рту после прикуса? В этом случае достаточно исключить перечисленные выше факторы, чтобы улучшить состояние полости рта.
Причины образования афт
Мы сейчас постараемся раскрыть реальные причины образования афт в полости рта. Кажется абсурдным, но на самом деле не существует точного ответа на этот вопрос! Хотя не совсем ясно, что именно приводит к возникновению афт во рту, известно, однако, что существуют ситуации, которые способствуют появлению этих раздражающих травмы, и условия, способствующие усугублению проблемы.
Причины образования афт…
Плохая гигиена полости рта: не случайно афты часто встречаются у детей и подростков. Касание рта руками и грязными предметами, отсутствие чистки зубов после каждого приема пищи, редкое посещение стоматолога и другие плохие привычки увеличивают риск образования афт. Также ношение ортодонтического устройства может увеличить вероятность появления заболевания, травм и воспаления.
Нарушение кишечной флоры и иммунитета: часто, расстройства пищеварительной системы являются причиной образования афт. Хрупкое равновесие бактериальной флоры кишечника может быть расстроенно многими факторами, таким как стресс и длительное лечение антибиотиками, что связанно со снижением иммунитета и, как следствие, открывает двери появлению афт.
Медикаментозное лечение: химиотерапевтические препараты, как правило, приводят к развитию иммуносупрессивных афт. Также антихолинергические средства (антагонисты нейротрансмиттера ацетилхолина) снижают секрецию слюнных желез, вызывая выраженную сухость слизистой оболочки полости рта, что может привести к возникновению афтозных волдырей.
Воспаления полости рта новорожденного: язвы часто мучить младенцев и грудных детей, особенно в период прорастания зубов. Когда десны болят и воспаляются, то поддерживать гигиену рта становится намного сложнее.
Непереносимость и пищевая аллергия: эти расстройства пищеварения могут привести к появлению афт. Например, по данным некоторых исследований, потребление шоколада, продуктов, содержащих глютен, или очень соленых блюд может способствовать развитию болезненных пузырьков.
Хронические заболевания: некоторые заболевания часто связаны с появлением язв в полости рта, например:
- язвенный колит и болезнь Крона (хроническое воспалительное заболевание кишечника);
- буллезный пемфигоид (воспаление кожи);
- лейкоплакия (образование зубного налета в полости рта);
- синдром Бехчета (редкое воспаление кровеносных сосудов);
- красный плоский лишай;
- молочница (микоз полости рта).
Как Вы можете видеть, возможных причин появления афт много, поэтому невозможно подобрать целевое лечение или предотвратить расстройство. Вот почему единственное лечение афт заключается в уменьшении боли и стимуляции заживления.
Герпес и афты – какие различияПеред тем, как приступить к изучению средств лечения афт, внесем ясность в один важный момент: как мы уже упоминали, многие путают герпес и афты, которые, на самом деле, очень разные! Поясним, чем они отличаются. Герпес на губах вызывает вирус простого Герпеса-1 и представляет собой скопление пузырьков, преобразующихся, в последствии, в корку, а не в язву; кроме того, герпес поражает губы или окружающую кожи, но не углубляется в полость рта. И, наконец, пузырьки герпеса заразны, в отличие от афт. Причины, которые вызывают проявления герпеса хорошо известны:
|
Из-за чего появляются ранки в ротовой полости
Среди всего разнообразия причин, провоцирующих возникновение язв во рту, особое внимание необходимо уделить следующим группам факторов.
Местные заболевания ротовой полости
Очень часто язва может возникнуть вследствие протекания другого заболевания. В этом случае она будет представлять собой сопутствующий симптом, который ни в коем случае не нужно игнорировать.
Заболевания, которые провоцируют возникновение болячек в ротовой полости:
- Сифилис всегда протекает с образованием язв. На первоначальных стадиях болезни, болячки не представляют никакого дискомфорта и выглядят в форме небольшого круга с красным дном. Язвы, которые проявляются во время сифилиса, могут заживать на протяжении от 3 до 12 недель. Причем, после их затягивания в слизистой оболочке остается рубец. При протекании третичного сифилиса, язвы начинают кровить и имеют ярко выраженный вид и цветовой оттенок. Подобные ранки могут заживать пару месяцев. Лучше всего проводить лечение сифилиса в специальном венерологическом отделении.
- Туберкулез ротовой полости. Протекание данного заболевания характеризуется проявлением язвенных образований, которые в свою очередь поражают щеки, язык и всю ротовую полость. Такие ранки не причиняют боль пациенту и с течением времени могут значительно увеличиваться в своих размерах. Язвы во время туберкулеза не глубокие, но достаточно рыхлые. Очень часто они могут кровоточить и иметь неровные края. Лечение такой симптоматики должно проводиться только в условиях стационара под строгим контролем специалистов.
- Гингивостоматит некротического характера. Может развиться этот недуг из-за слабого иммунитета, травм ротовой полости, при недостаточном количестве витаминов, наличии аллергических стоматитов и переохлаждении. В ходе течения болезни язвы могу образоваться на щеках, деснах, небе, языке, миндалинах и даже дужках. При этом ранки могут покрываться желтым или зеленым налетом, который в свою очередь станет причиной появления неприятного запаха изо рта. Раны неглубокие и имеют неровные края. Очень часто подобные поражения вызывают мелкие кровотечения. Лечение проводится в условиях стационара при помощи медикаментозной терапии.
- Стоматит герпетиформного характера. Язвы при таком заболевании очень часто похожи на герпес. Обычно они локализуются на языке и на дне ротовой полости. Обычно исчезают спустя несколько дней. Но когда раны не заживают самостоятельно, необходимо обратиться за медицинской помощью.
- Стоматит рецидивирующий. Язвы в данной ситуации покрывают язык, щеки, неба и область вокруг губ. Во время употребления еды они вызывают болевые ощущения и чувство дискомфорта. Для избежания возможных осложнений лечение необходимо начинать при проявлении первых неспецифических симптомов.
- Периаденит некротического характера. На первоначальных стадиях возможно появление небольших уплотнений, которые спустя некоторое время переходят в язвы. Раны поражают язык, щеки и губы. Они мешают человеку употреблять еду и даже разговаривать.
Рецидивирующий некротический периаденит
Рецидивирующий некротический периаденит еще называют афтами Сеттона. Его симптомы таковы:
- В подслизистой основе ротовой полости появляются уплотнения;
- Вместо уплотнений со временем развиваются язвы с приподнятыми краями;
- Язвы воспаляются, из-за чего присутствуют кровяные и лимфатические выделения.
Места скопления таких афт – верхняя и нижняя губа, щеки и боковые стороны языка. Отличается патология крайне сильной болезненностью. Пациентам настолько трудно принимать пищу, что многие полностью отказываются от нее. Сложности возникают также во время разговора. Процесс заживления афт длится долго – порой вплоть до нескольких месяцев, а сама патология сохраняется до нескольких лет.
Профилактика
Чтобы оградить ребенка от опасных заболеваний, необходимо соблюдать профилактические мероприятия:
- научить чадо правилам личной гигиены, контролировать их выполнение,
- укреплять иммунитет с помощью правильного питания, приема витаминных комплексов,
- хранить опасные жидкости в недоступном месте,
- смотреть, чтобы малыши не тянули в рот острые предметы,
- проводить лечение аллергических и хронических заболеваний,
- оградить ребенка от травмоопасных ситуаций, нервных перенапряжений,
- выбирать щетку и пасту для чистки зубов,
- обращаться к проверенному стоматологу.
Родителям не рекомендуется проводить лечение, они не могут с точностью установить причину возникновения язв во рту у ребенка. Неэффективная терапия может привести к развитию последствий, при возникновении симптомов, указывающих на воспаление в области, необходимо отправляться к врачу.
Симптоматика заболевания
Современная медицина не установила конкретных симптомов проявления язв в полости рта. Известным остается только факт того, что если не заниматься лечением подобного рода нарушения, то рана будет возникать вновь и вновь, и каждый раз справиться с проявляющимися ее признаками будет намного тяжелее.
Особое внимание требуется уделять тем ранкам, которые спустя 3-4 недели после возникновения не проходят самостоятельно.
Клиническая картина чаще всего схожа с признаками сопутствующих заболеваний и имеет такие особенности:
- резкое увеличение температуры тела;
- чувство дискомфорта в ротовой полоски;
- жжение и рези в слизистой и горле;
- появление крови во рту;
- болевой синдром;
- частые головные боли;
- снижение аппетита;
- ухудшение общего самочувствия.
Причины язв у детей
Многие инфекционные заболевания, характерные для детского возраста, сопровождаются изъязвлением слизистой рта.
- Герпес обычно впервые поражает детей в возрасте 1-3 лет, характеризуется появлением многочисленных папул на слизистой, после прорыва которых образуются ярко-красные язвочки, заживающие за пару недель.
- При ветрянке во рту ребенка могут образовываться высыпания, аналогичные высыпаниям на коже: розовые точки, превращающиеся в заполненные жидкостью вздутия.
- Сыпь на слизистой рта в виде небольших точек серовато-белого цвета, окруженных красной каймой, характерна для катаральной стадии кори.
- При скарлатине высыпания в полости рта имеют ярко-красный цвет.
- При дифтерии зева помимо образования язв на слизистой наблюдается ее покраснение и отечность, появление желтовато-серого налета.
Любые высыпания во рту могут привести к образованию достаточно глубоких язв.
Как избавиться от ранок
Цель лечения заключается в устранении первоначальных причин, провоцирующих образование язв во рту. Если болячки во рту возникли из-за развития другой болезни, то проводится лечение основного заболевания, что в свою очередь приведет к уменьшению образований ранок в слизистой рта.
Большинство специалистов утверждают, что конкретного лечения не существует. Больному человеку и всем здоровым советуют по-больше времени уделять гигиене полости рта и соблюдению здорового рациона питания.
Необходимо отдавать предпочтение тем продуктам, которые в своем составе содержат много витамина В12, фосфора и железа. Тем людям, которые подвержены частым стрессам и нервным перенапряжениям, понадобиться оградить себя от подобного рода негатива.
Профессиональные методы
Избавиться от язвочек во рту можно с помощью следующих средств:
- Лечебные мази. Очень хорошо себя зарекомендовал Бензокаин. Данная мазь обладает противовоспалительным эффектом и поэтому достаточно быстро устраняет воспалительный процесс. Компоненты лекарства оказывают обезболивающее действие. Использовать мазь требуется в соответствии с рекомендациями специалиста. Маленьким детям лучше всего использовать другие медикаментозные средства, так как Бензокаин может вызвать аллергическую реакцию. Так же можно использовать и мазь Камистад.
- Ксикаин гель, 2%. Помогает уменьшить проявляющуюся боль, снимает воспаление и уничтожает болезнетворные бактерии и микробы. Категорически запрещается для лечения маленьких детей, так как в своем составе содержит ядовитые компоненты.
- Так же положительный эффект оказывает мазь Солкосерил.
- Антибиотики. Чаще всего назначаются при тяжелом протекании заболевания. Тип препарата и длительность лечения устанавливается индивидуально для каждого отдельного случая.
- Обезболивающие уколы. Единственным их преимуществом является то, что они достаточно быстро устраняют болевой синдром при язвах. Но, к сожалению, подобного рода инъекции не помогают избавить от причин, которые провоцируют заболевание.
Как быстро вылечить язвы во рту, и не совершать ошибок?
Каждый человек, в какой-то степени является паникером. Поэтому узнав, что у него есть болячка, поспешит обратиться к врачу или займется самолечением. Мы составили ТОП-5 частых ошибок, которые люди совершают, когда начинают лечение самостоятельно:
- Мажут полость рта зеленкой. Такие “молодцы” тоже находятся. Но ни в коем случае нельзя совершать подобные действия. В составе зеленки есть спирт. Он обожжет вам всю слизистую оболочку и воспалит язвы еще больше.
- Перекись водорода. Еще более опасное средство, которое так же применялось в лечении стоматита. Из-за сильных антибактериальных свойств, перекись нанесет сильнейшие ожоги.
- Мед. Тут дела обстоят не так плохо, как с препаратами. Но врачи не рекомендуют лечить стоматит подобным способом. Мед создаст комфортные условия для развития язв, а не удалит их.
- Прием пищи с общей посуды. Больной стоматитом, должен иметь свою посуду. Иначе, все окружающие могут подхватить заболевание питаясь из одних и тех же блюд, вилок, ложек, чашек, что и больной.
- Не придерживание диете. Врач, обычно, назначает диету пациенту. Ее обязательно надо соблюдать. Есть много продуктов, которые способны раздразнить язвы и сыпи еще больше. Врачи знают, что можно кушать, а что нет.
Из личного опыта, ряд рекомендаций. Они помогут вам облегчить обороты заболевания и во время обратиться к врачу:
- “Чем полоскать язвы во рту?” — теплым раствором из воды и соды, 5 раз в день.
- “Язвы под губок, как лечить?” — помогут мази, которые назначит врач.
- “Чем вылечить язвы во рту?” — препаратами, диетой, профилактикой — все это назначит лечащий врач.
В очередной раз напоминаем, что только специалисты помогут справиться вам с таким заболеванием. Не ищите медицинские препараты в интернете, не занимайтесь самолечением. Самое лучшее, что вы сможете сделать: выяснить симптоматику, искоренить причины, прийти к врачу. Мы желаем вам оставаться здоровыми и бдительными при любых ситуациях.
Поделись с друзьями:
Оставайтесь с нами. Добавьте нас в Ваши источники и мы позаботимся о том, чтобы вы читали только интересный и проверенный контент
Мои Источники в Яндекс Новостях Мои Источники в Google News Подписаться на канал в МирТесен Подписаться на канал в Яндекс Дзен Подписаться на канал в Telegram Читайте наши новости в Twitter
Профилактические мероприятия
Для профилактики важно соблюдать следующие правила по уходу за ротовой полостью:
- не допускать травмирование полости рта;
- правильно чистить зубы;
- вовремя посещать стоматолога;
- не кушать очень горячую или слишком холодную еду;
- избегать стрессов и нервного перенапряжения;
- кушать по-больше свежих овощей и фруктов.
Лечение язв является ответственным процессом. Ведь от того, насколько правильно будут выбраны методы лечения, зависит дальнейшее здоровье человека.
Чтобы болячки во рту не стали ежедневной проблемой важно уделять время собственному здоровью и не игнорировать тревожные симптомы, которые посылает нам организм.
Какие шаги по лечению афтозного стоматита можно предпринять?
Если у вас афтозный стоматит:
- избегайте грубой пищи, такой, как чипсы, которые могут застрять в щеке или десне и углубить язвы;
- аккуратно чистите зубы, чтобы не проткнуть десны или щеку щетиной зубной щетки;
- избегайте кислой или острой пищи;
- афтозный стоматит не заразен, так что пациентам не надо волноваться о передаче язв другим людям;
- некоторым пациентам может помочь зубная паста без лаурилсульфата натрия и других ингредиентов, которые раздражают ткани во рту, а также зубная паста, которая задерживает рост раздражающего налета. Следовательно, такая простая вещь, как смена зубной пасты, может помочь при часто появляющемся афтозном стоматите.
Помощь в домашних условиях
Для лечения появившихся язв в ротовой полости в домашних условиях чаще всего прибегают к помощи специальных растворов для полоскания. Самым простым и известным является раствор на основе соли и соды.
Он готовится по такому рецепту:
- На пару стаканов кипятка разбавляется 5 таблеток Фурацилина.
- Затем к содержимому необходимо добавить по чайной ложке соли и соды.
- Полоскание такой жидкостью проводится на протяжении 30 секунд. После чего раствор можно выплюнуть, а процедуру повторить еще пару раз.
- Полоскание производится на протяжении суток с небольшими интервалами.
Положительным эффектом обладают лечебные травы.
Для лечения ранок можно использовать такие растения:
- кора дуба;
- ромашка;
- эвкалипт;
- тимьян;
- календула.
Чтобы способствовать скорейшему заживлению ранок и язв можно использовать обычное оливковое масло. В отдельных случаях помогает устранить проблему оксалиновая мазь.
Если болячки появились в результате протекания герпеса, то потребуется лечение с использованием таких препаратов:
- Ацикловир;
- Фамцикловир;
- Валацикловир.
Перед тем, как использовать лечебные мази необходимо тщательно прополоскать рот специальными антисептическими растворами или отварами на основе трав.
Также могут быть использованы препараты, направленные на укрепление иммунной системы человека.
Прижигаем ранки самостоятельно
Избавиться от язв и ран возможно используя специальные медикаментозные препараты. К ним относятся Хлоргексидин, перекись водорода или раствор на основе фурацилина.
Прижигать ранки необходимо следующим образом:
- предварительно полощется ротовая полость;
- на стерильную ватку наносится немного перекиси или другого средства, а затем прикладывается к самой ранке;
- ватка держится на протяжении 5 минут;
- на протяжении дня подобную процедуру можно проводить по нескольку раз.
Прижигать язвы можно используя йод или зеленку. Но нужно понимать, что такая процедура будет очень болезненной и опасной.
Лечение язвы в полости рта
Терапия зависит от причины возникновения язв и от того, является заболевание самостоятельными, либо симптомом основной болезни.
Перед тем, как начать лечение следует проконсультироваться с врачом.
В домашних условиях невозможно определить возбудителя болезни.
Выбор препаратов зависит от того, чем вызван стоматит. В аптеке могут только порекомендовать средства для избавления от язв. Но причину их появления фармацевт не определит. Поэтому не факт, что приобретенные лекарства помогут. А стоматит может перейти в тяжелую форму. Больной упустит время, потратит деньги впустую.
Стоматологическая помощь
При любой форме стоматита, лечение начинают с профессиональной чистки ротовой полости. Слизистую обрабатывают антисептиками. Больному рекомендуют регулярно полоскать рот отварами трав, обладающих противомикробным действием. Если есть кариес или другие болезни зубов, рекомендуется их вылечить. Отсутствие воспалительных процессов снижает риск повторного появления язв.
Нужно учесть, что грибки и вирусы не умирают от антисептиков. Отвары тоже не помогут при таких формах стоматита. Спасают только специальные лекарственные препараты.
Устранение причины
Если язвы во рту появились в результате травмы, нужно устранить травмирующий фактор. Например, отколотый зуб, неудобная пломба. В этих случаях посещают стоматолога. Иногда появление язв вызывает острая и кислая еда. При соблюдении диеты, исключающей такие продукты, язвы заживают.
Когда язвы во рту являются симптомом общих заболеваний, назначают терапию, направленную на борьбу с ним.
Поднятие иммунитета
Наряду с местной терапией больному назначают общеукрепляющие препараты. Заболевание чаще всего провоцирует ослабленный иммунитет.
Если его укреплять, выздоровление наступит быстрее. Для этого подойдут препараты: Иммунал, настойка Женьшеня, настойка китайского лимонника.
Язвы во рту возникают и от нехватки витамины группы В, С, Р. Врач рекомендует их принимать во время и после лечения. Из минералов – фосфор и железо. Корректировка питания в пользу употребления продуктов с этими витаминами и микроэлементами дает ощутимый результат.
Медикаментозное лечение
Врач назначает терапию в зависимости от типа возбудителя.
- Противогрибковые препараты. Они эффективны при кандидозе, молочнице. Например, Флуконазол, Кетоконазол.
- Антибактериальные препараты: Ингалипт, Хлоргекседин.
- Антигистаминные средства, если стоматит вызван аллергией.
- Противовирусные препараты. Они борются с вирусом герпеса. Самый распространенный из них – ацикловир. Его выпускать в форме мази или таблеток.
- Обезболивающие препараты. Назначают в случаях сильной боли пораженных участков.
Если человек хотя бы раз переболел стоматитом, риск повторного заражения увеличивается в несколько раз.
Возможные осложнения
Игнорирование или несвоевременное лечение язвочек в ротовой полости может вызвать следующие осложнения:
- негативное воздействие на иммунитет, что в свою очередь может спровоцировать другие болезни;
- сильный воспалительный процесс оболочки рта, в тяжелых случаях воспаление может распространиться и на половые органы;
- резкое увеличение температуры тела, что приводит к ослаблению всего организма;
- переход заболевания в хроническую форму;
- развитие рака полости рта.
Язвы при инфицировании ротовой полости
В здоровом организме попадающая в ротовую полость инфекция быстро купируется; количество постоянно живущих в теле человека микроорганизмов контролируется иммунной системой. При нарушении внутреннего состояния организма (из-за перенесенной острой инфекционной болезни, сильного стресса, нарушений гормонального фона) защита организма ослабевает.
Ослабленный организм не в состоянии контролировать количество условно-патогенной флоры и подавлять ее размножение. Активная деятельность инфекционных агентов приводит к появлению ран в ротовой полости.
Одним из проявлений таких процессов является поражение слизистых дрожжевыми грибками (кандидами). Безобидный для здорового организма он становится агрессивным при сниженном иммунитете. Основными причинами активизации являются инфекционные заболевания и связанное с ними лечение антибиотиками. Внешне выглядят как белый налет на деснах и слизистых, мод которым различается воспаленная, израненная поверхность.
Распространенная причина появления язв на внутренней стороне щеки – поражение вирусом герпеса. У взрослых это выглядит как маленькие пупырышки на губах или в углу рта, у детей – как разбросанные по всей слизистой рта небольшие изъязвления.
Множественные язвы во рту, на щеке и деснах, имеющие вид ранок или волдырей может вызываться энтеровирусной инфекцией. Они являются симптомами везикулярного стоматита (синдрома нога- рука- рот). Раны и волдыри могут появляться в области носа, рта и носогубных складок.
Везикулярный фарингит, или герпетическая ангина, вызывает на нёбе и во рту язвы с белым или сероватым налетом, края афт – четкие с красной каймой вокруг.



















































