Рубрика: ЛОР + пульмонология
В современном обществе такое заболевание (или, точнее, осложнение), как паратонзиллярный абсцесс, обычно вынуждает пациента несколько дней провести с неприятными и мучительными болями в горле, с общими признаками болезни.
Затем происходит госпитализация в ЛОР – отделение. В тот же день (или на следующий) проводится небольшая операция, у больного сразу же наступает облегчение. После проведения курса антибактериальной терапии пациент выписывается.
Удивительно, но уже в новое время, в XVII – XVIII веках, английские и голландские врачи успешно проводили оперативные вмешательства при паратонзиллярном абсцессе, и процент выздоровевших был довольно высоким, несмотря на отсутствие антибактериальной терапии. Что же это за болезнь, как она возникает, протекает и лечится, и что делать пациенту?
Характеристика проблемы
Паратонзиллярный абсцесс – воспаление клетчатки миндалин гнойного характера, последняя стадия паратонзиллита, что выступает одной из самых тяжелых форм поражения глотки. В 80 % случаев причиной развития заболевания выступает хронический тонзиллит. Болезнь чаще всего развивается осенью или весной. При отсутствии лечения она провоцирует развитие таких осложнений, как флегмона шеи, медиастинит, сепсис.
Возбудителями болезни выступают стрептококки, пневмококки или грибы Candida. При поражении миндалин их углубления наполняются гноем, обычно очаг воспаления односторонний. После регулярных острых воспалений ткань миндалин покрывается рубцами, которые способствуют нарушению оттока гнойного отделяемого из больших углублений, поэтому она полностью не очищается.
Абсцесс имеет вид круглого образования красного цвета, через поверхность которого просвечивается желтое содержимое. При пальпации некоторый участок образования будет мягким из-за содержания в нем гноя. Зев при этом смещен в противоположную абсцессу сторону.
Паратонзиллярный абсцесс, что это такое и как он развивается?
Абсцесс это ограниченный гнойник, заключенный в капсулу. Паратонзиллярный абсцесс формируется в небном кармане в непосредственной близости от миндалин и считается достаточно редкой, но очень тяжелой патологией.
Заболевание также известно, как паратонзиллит или флегмонозная ангина. Такие названия болезнь получила из-за локализации очага и причин, которые чаще становятся причиной формирования абсцесса – ангины и тонзиллита. Гнойник формируется в околоминдальном пространстве, поэтому болезнь также известна, как околоминдалинный абсцесс.
Паратонзиллит чаще встречается у пациентов совершеннолетнего возраста, имеющих хронические патологии горла. У 15% пациентов болезнь постоянно рецидивирует, особенно в осенне-зимний период одновременно с другими хроническими патологиями.
Лечение паратонзиллярного абсцесса
Диагностика заболевания
В медицине выделяют следующие формы патологии:
- Передний (передневерхний) абсцесс, при котором происходит поражение тканей над миндалинами. Обычно гнойники вскрываются самостоятельно. Данная форма заболевания встречается чаще всего.
- Задний абсцесс характеризуется поражением тканей между задней дужкой и краями миндалин. Патология занимает второе место по распространенности. В этом случае существует риск перехода воспаления на гортань, что может спровоцировать затруднение дыхания.
- Нижний абсцесс обуславливается развитием гнойного воспаления на нижнем полюсе миндалины. Патология в большинстве случаев развивается по причине заболеваний десен и зубов.
- Боковой абсцесс формируется между стенкой глотки и боковым краем миндалины. Данная патология считается самой тяжелой и встречается у 5 % пациентов. В этом случае существует риск прорыва гнойника в ткани шеи.
Паратонзиллярный абсцесс спровоцирован попаданием патогенных микроорганизмов в ткани миндалин. Обычно болезнь выступает вторичной патологией, формируясь в качестве осложнения хронического тонзиллита.
К частым причинам развития болезни относят:
- инфицирование глотки патогенными бактериями в результате развития фарингита, ангины или тонзиллита;
- стоматологические заболевания, такие как гингивит, кариес, воспаление десен;
- попадание инфекции в горло через среднее ухо;
- развитие гнойного воспаления в слюнных железах;
- повреждения ротовой полости и шеи с последующим инфицированием раны.
Данные явления возможны только при нарушении иммунитета человека.
Паратонзиллярный абсцесс симптомы проявляет в виде сильного одностороннего болевого синдрома, который возникает при глотании. В некоторых случаях боль может быть двухсторонней. Со временем болевые ощущения начинают распространяться в ухо и нижнюю челюсть. Вместе с этим происходит сильное увеличение температуры тела, развивается слабость, головная боль, нарушается сон.
В отличие от ангины, болевой синдром при данной патологии является более острым, присутствует даже в спокойном состоянии. Склонен усиливаться при совершении каких-либо движений, отдает в ухо и зубы.
Часто на шестой день паратонзиллярный абсцесс, фото которого подтверждают всю серьезность заболевания, приводит к тому, что гнойные полости вскрываются. Это явление сопровождается облегчением состояния человека, снижением температуры тела, появлением примеси гноя в слюне. В некоторых случаях прорыв абсцесса наблюдается на восемнадцатый день. В случае попадания гноя в окологлоточное пространство вскрытия гнойника не происходит, поэтому состояние человека только ухудшается.
Паратонзиллярный абсцесс горла симптомы имеет следующие:
- сильная боль в горле;
- спазм жевательных мышц;
- нарушение глотания;
- увеличение шейных лимфатических узлов;
- сильное увеличение температуры тела;
- затрудненность дыхания, одышка;
- неприятный запах из ротовой полости;
- развитие эмоционального напряжения;
- самостоятельное вскрытие гнойника.
Паратонзиллярный абсцесс лечение предполагает такое, которое направлено на устранение очага и возбудителя инфекции, купирование воспаления, снижение риска развития осложнений. Лечение болезни проводится в стационаре. Для этого применяют хирургическую, медикаментозную и комплексную терапию.
Медикаментозное лечение проводят на раннем этапе развития болезни. В этом случае назначают такие группы препаратов:
- Антибиотики широкого спектра действия. Эффективным препаратом в данном случае является «Амоксициллин». Тетрациклиновые антибиотики не дают положительного результата.
- Макролиды применяют тогда, когда антибактериальные препараты не дали необходимого результата. В данном случае назначаются цефалоспорины третьего поколения.
Врач вместе с вышеперечисленными средствами назначает обезболивающие, противовоспалительные и жаропонижающие препараты, витамины, иммуномодуляторы. Также рекомендуется проводить полоскание горла антисептическими растворами.
Диагностика паратонзиллярного абсцесса обычно не доставляет трудностей для опытного специалиста. Характерные признаки болезни позволяют уже при визуальном осмотре горла поставить правильный диагноз.
Полная диагностика включает в себя следующие методы:
- Общий осмотр больного – прощупывание лимфоузлов, измерение температуры, выявление гнилостного запаха изо рта.
- Фарингоскопия – осмотр глотки позволяет выявить морфологические изменения: асимметрию зева, гиперемию, отечность.
- Сбор анамнеза – опрос пациента о самочувствии, перенесенных инфекций, хронических патологий.
- Лабораторная диагностика – общий анализ крови с лейкоцитарной формулой, бактериологическое исследование для выявления возбудителя.
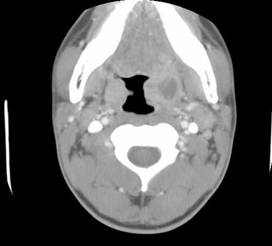
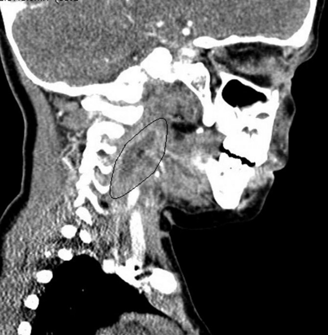
В некоторых случаях может потребоваться инструментальное обследование – УЗИ, КТ, рентгенография. Это необходимо для исключения развития новообразований и определения точной локализации воспалительного процесса.
Прежде чем поставить диагноз «паратонзиллярный абсцесс», необходимо провести дифференциальную диагностику со скарлатиной, дифтерией, злокачественными опухолями и аневризмой сонной артерии.
Избежать развития патологии можно при своевременном лечении всех ЛОР-заболеваний и инфекций внутренних органов. Обязательно должна проводиться санация ротовой полости, раневых поверхностей и гнойных высыпаний.
Профилактика паратонзиллярного абсцесса включает в себя укрепление иммунитета. При хроническом фарингите и тонзиллите необходимо регулярно принимать витаминные комплексы, закаливаться и чаще находиться на свежем воздухе.
Будьте здоровы!
Что необходимо обследовать
Диагностику проводит ЛОР врач, основываясь на результатах фарингоскопии. Во время осмотра гортани на поверхности слизистой выявляются утолщения, состоящие из гипертрофированной ткани.
Фолликулы отечны и воспалены, эпителий вокруг также гиперемирован. Лабораторные исследования включают общие анализы крови и мочи, взятие мазка из зева на определение типа возбудителя болезни и его чувствительность к антибиотикам (если это бактерия).
При подозрении на заражение атипичными вирусами, вызывающими хронизацию патологии и регулярные обострения, проводят ПЦР диагностику, позволяющую выявить возбудителя на уровне ДНК.
В целях дифференциации гранулезного фарингита от других заболеваний проводится забор биоматериала из гортани с отправкой на гистологическое исследование.
Эта мера необходима чтобы исключить лейкоплакию и опухолевые процессы в горле, которыми может осложниться хронический фарингит в гранулезной форме.
Причины развития паратонзиллярного абсцесса и методы лечения паратонзиллита
Непосредственная причина развития абсцесса – проникновение бактериальных возбудителей в подкожную клетчатку. Чаще всего он формируется под воздействием анаэробных бактерий, стрептококка и золотистого стафилококка.
Паратонзиллярный абсцесс может возникнуть при грибковом поражении, вызывающем воспаление и провоцирующем присоединение бактериальной инфекции. Сочетание грибков и бактерий требует более агрессивного и длительного лечения.
Гнойник в горле развивается, как последствие тяжелого острого фарингита, тонзиллита или ангины, или после рецидива этих заболеваний, если они имеют хроническое течение.
Отдельно выделяют причины, снижающие иммунитет и способствующие размножению патогенных микроорганизмов: респираторные заболевания, нарушение обмена веществ, переохлаждение, дефицит витаминов, вредные привычки.
С целью профилактики в первую очередь необходимо восстановить иммунную систему. Также рекомендуется своевременно проводить терапию заболеваний носа и горла, следить за гигиеной ротовой полости, регулярно посещать стоматолога, избавиться от пагубных привычек. Для укрепления иммунитета хорошо подходит физическая активность, закаливание, правильное питание и ведение здорового образа жизни.
Паратонзиллярный абсцесс выступает тяжелым заболеванием, которое может быть опасно для здоровья и даже жизни человека. Потому при первых проявлениях патологии незамедлительно необходимо обратиться к врачу для постановки диагноза и прохождения терапии. При отсутствии лечения могут развиться тяжелые осложнения, которые нередко приводят к летальному исходу.
Паратонзиллярный абсцесс (паратонзиллит, флегмонозная ангина, околоминдальный абсцесс) — острое воспаление, локализующееся в паратонзиллярной клетчатке.
Диагностируется патология у пациентов разных возрастных категорий, пик заболеваемости наблюдается у молодых людей возрастом от 15 до 40 лет. Симптомы заболевания у детей до 10 лет проявляются крайне редко.
Абсцесс паратонзиллярный возникает вследствие проникновения в околоминдальную клетчатку инфекции (Streptococcuspyogenes, Staphylococcusaureus, epidermidis, иногда HaemophilusInfluenzae, Klebsiella и дрожжевые грибы).
Появлению паратонзиллярного абсцесса предшествует ангина у больных лиц имеющих хронический тонзиллит. При ангине в хронической форме в патпроцесс активно вовлекаются железы Вебера и верхняя часть гланд.
Частые обострения заболевания формируют рубцы в мягких тканях. В результате этого нарушается дренирование и создаются благоприятные условия для развития бактерий и внедрения инфекции внутрь клетчатки. В зоне воспаления слизистая отечна, гиперемирована, кровеносные сосуды расширены.
Флегмонозная ангина проявляется следующими симптомами:
- гипертермия (иногда температура тела повышается до 40°C);
- резкая односторонняя боль в горле, иррадиирующая в ухо и нижнюю челюсть;
- нарушенный процесс глотания;
- озноб;
- региональные лимфоузлы гипертрофированы, при пальпации болезненные;
- мигрень;
- сильная усталость;
- отечность языка;
- гнилостный запах изо рта;
- гиперсаливация;
- гнусавость;
- одышка (при абсцессе большого размера);
- тризм лицевых мышц;
- при фарингоскопии определяется четко выраженная гиперемия слизистых оболочек, инфильтрация одной половины мягкого неба.
При самопроизвольном вскрытии абсцесса в горле самочувствие больного улучшается, выраженность тризма уменьшается, а температура падает. В слюне появляется примесь гноя.
Развитие заболевания связано с разными факторами:
- переохлаждение;
- нарушение прорезывания зубов;
- прием некоторых медикаментов;
- кариес и другие аномалии зубов тяжелой формы;
- возраст (чаще болеет трудоспособное население);
- низкая иммунорезистентность организма;
- частые психоэмоциональные потрясения;
- нарушение обмена веществ;
- травмы глотки;
- различные хронические патологии воспалительного характера (например, гайморит, фронтит или синусит);
- аутоиммунные заболевания;
- чрезмерное пристрастие к табаку и алкогольным напиткам;
- сахарный диабет;
- анемия;
- некачественное осуществление резекции гланд;
- вредные условия труда;
- несбалансированное питание;
- климатические условия.
Чтобы избежать болезни, придерживайтесь правил:
- своевременно лечите воспалительные, в том числе, инфекционные болезни, зубной кариес, пульпит, акне;
- при выполнении внутримышечных и внутривенных инъекций пользуйтесь только одноразовыми шприцами, стерильными препаратами и растворами; обрабатывайте место инъекции дезинфицирующими препаратами;
- не злоупотребляйте алкоголем;
- ведите здоровый образ жизни;
- укрепляйте иммунитет.
Профилактика
Чтобы не лечить паратонзиллит, лучше предупредить его появление. В целях его профилактики необходимо:
- укреплять иммунитет (сюда включено все: общее закаливание организма и непосредственно закаливание горла, регулярная физическая активность, водные и воздушные процедуры),
- лечить хронические заболевания носа и носоглотки (например, синусит, аденоиды),
- лечить заболевания горла и полости рта – хронический тонзиллит, кариес; особое внимание стоит уделить ангине (закончить лечение антибиотиками, даже если кажется, что болезнь уже отступила),
- корректировать свое состояние при сахарном диабете или СПИДе,
- отказаться от вредных привычек (курение, прием алкоголя).
Паратонзиллит – очень серьезное заболевание, но и оно поддается лечению, если серьезно к этому отнестись. Вовремя обратившись к врачу, можно избежать развития более сложных форм паратонзиллита и вылечиться без хирургического вмешательства.
В программе Елены Малышевой подробно рассказывается про паратонзилит, а так же чем он опасен и как его лечить:
Патогенез
Развитие паратонзиллярного абсцесса начинается при проникновении инфекционных возбудителей в ткани нёбного кармана. Как правило, гнойник формируется в подкожной клетчатке, вызывая сильную отечность соседних тканей. При визуальном осмотре на гнойнике можно увидеть небольшой участок желтоватого оттенка – именно там произойдет прорыв абсцесса.
При хронических заболеваниях глотки нарушается дренирование нёбных тканей из-за закупорки лакун, формирования рубцов и дисфункций слюнных желез. Нарушение дренирования приводит к активному размножению бактерий и их проникновению в подкожные слои.
Абсцесс может формироваться при механическом повреждении слизистой оболочки, в результате инфекционные агенты из полости рта проникают к травмированной области и начинают стремительно размножаться.
При развитии паратонзиллярного абсцесса, вызванном инфекциям внутренних органов, патогенные микроорганизмы проникают в горло по кровеносным или лимфатическим путям. В этом случае поражаются только мягкие ткани, не затрагивая миндалины.
Классификация
Своевременная диагностика и выявление вида паратонзиллярного абсцесса позволяет грамотно подобрать препараты и быстро вылечить патологию. Изначально паратонзиллит классифицируют по причине возникновения – грибковый, бактериальный, травматический.
Паратонзиллярный абсцесс делится на несколько видов по расположению воспаления:
- Передневерхний (передний) – самый распространенный. При нем поражаются ткани, находящиеся над миндалинами.
- Задний – патологический процесс развивается за задней дужкой, сопровождается отеком гортани. В редких случаях поражение охватывает саму дужку.
- Нижний – обычно вызван проникновением бактерий по кровеносной системе. Абсцесс формируется ближе к корню языка, охватывая нижнюю часть гланд.
- Боковой (наружный) — паратонзиллит развивается в области бокового края небной миндалины. Поражение обычно развивается только с одного бока, поэтому выделяют левосторонний и правосторонний абсцесс.
По внешним изменениям выделяют три стадии паратонзиллярного абсцесса:
- Отечная – не имеет выраженных признаков. Для этой стадии характерны отечность и разрыхление тканей, расположенных около миндалин.
- Инфильтрационная – появляются выраженные симптомы абсцесса. Характеризуется выраженной отечностью, гиперемией, болезненными ощущениями.
- Абсцедирующая – проявления этой стадии возникают на 5-7 дней от начала болезни, если не было проведено соответствующего лечения предыдущих стадий. За счет обширной отечности деформируется область зева.
Классификация заболевания позволяет спрогнозировать дальнейшее развитие патологии и подобрать методы терапии, позволяющие вылечить флегмонозную ангину без негативных последствий.
Симптомы и признаки
Симптомов, указывающих на развитие абсцесса довольно много. Признаки патологического процесса возникают буквально с первых часов от начала его развития. Это могут быть:
У ребенка проявляется общая слабость, вялость, может наступить бессонница. У взрослых может проходить и с менее выраженными симптомами. Состояние больного немного улучшается, когда происходит самопроизвольное вскрытие. Уменьшается боль, пропадает чувство распирания.
При осмотре доктор отмечает увеличение миндалин, сильно выраженную гиперемию тканей и отечность паратонзиллярной области. Если абсцесс обширный, может нарушиться подвижность небных дужек и язычка.
Симптомы паратонзиллярного абсцесса
Симптомы заболевания зависят от вида и морфологических изменений. Первые признаки заболевания проявляются незаметно, больные не обращают внимания на дискомфортные ощущения в горле. Но уже через несколько часов клиническая картина значительно меняется.
Характерный симптом паратонзиллярного абсцесса — сильная боль, локализованная с одной стороны. Двухсторонние болезненные ощущения встречаются крайне редко – не более чем в 10% случаев.
Боль стремительно нарастает, усиливается даже при проглатывании слюны. С прогрессированием процесса она отдает в голову, ближайшее ухо и нижнюю челюсть. Уменьшить острый болевой синдром можно, зафиксировав голову в одном положении.
Наряду с мучительными болями появляются симптомы интоксикации: повышение температуры, лихорадка, побледнение кожных покровов, отдышка, тошнота, нарушение сна, общее недомогание.
Сопутствующие симптомы паратонзиллярного абсцесса:
- повышение количества отделяемой слюны;
- гнилостный запах изо рта;
- уплотнение лимфатических узлов;
- отечность шеи;
- спазмы жевательной мускулатуры;
- затрудненное проглатывание пищи;
- гнусавость, речевые нарушения.
При легком течении болезни происходит самопроизвольное вскрытие абсцесса не позднее, чем через 5-7 дней после появления первых проявлений. При затяжном паратонзиллите вскрытие паратонзиллярного абсцесса происходит через 2-3 недели.
После прорыва гнойных масс больной начинает ощущать значительное улучшение состояния – снижается температура, исчезают признаки интоксикации, боль становится менее выраженной. К слюне примешивается гной, поэтому неприятный запах при дыхании может усилиться.
Но если патологический процесс распространяется в окологлоточное пространство или не происходит самостоятельное вскрытие, то самочувствие больного значительно ухудшается, поэтому требуется хирургическое вмешательство.
В среднем паратонзиллярному абсцессу требуется не менее трех суток для проявления первых симптомов. Инкубационный период может затянуться и на пять дней. В отдельный случаях, когда иммунитет больного сильно ослаблен, болезнь может вступить в силу в рекордные сроки – один день.
Проявляется заболевание, в первую очередь, болью в горле при том, что неприятные ощущения затрагивают только одну сторону (могут охватить также зубы и ухо). Может болеть и все горло целиком, но с одной стороны боль все равно будет чувствоваться значительно сильнее.
Тризм мышц не дает нормально жевать и открывать рот. Также наблюдаются осложнения при проглатывании и ощущение застрявшего в горле кома. Лимфоузлы под челюстью увеличиваются с одной или обеих сторон. Воспаление сопровождается повышением температуры, которое может дойти до 40°С. Ощущения сходны со свойственными таким болезням, как ОРЗ, ОРВИ, грипп: слабость, гнусавость, головные боли и пр.
Абсцесс горла: клиническая картина
Абсцесс горла – одно из инфекционных заболеваний, выраженное воспалением мягких тканей в заглоточной или окологлоточной области, а также в паратонзиллярной зоне.
Очаг поражения представляет собой своего рода капсулу, в которой скапливается гнойное содержимое.
Симптомы заболевания проявляются практически сразу после появления гнойной капсулы. Интенсивность болевого синдрома и дискомфорта зависит от глубины поражения слизистых и мягких тканей.
Абсцесс горла проявляется в нескольких видах. Довольно часто при схожей клинической картине абсцесс горла может базироваться в разных местах и поражать различные области ротоглотки. Можно выделить три основных вида абсцесса горла:
Еще интересней:
Яблочный уксус от бородавок
Яичники при месячных
- паратонзиллярный;
- парафарингеальный;
- ретрофарингеальный.
На фото виды абсцесса горла разной локализации
Паратонзиллярный
Данный вид абсцесса горла представляет собой полость, полностью заполненную гноем и располагающуюся в мягких тканях вокруг небной миндалины. Патология развивается на фоне острого воспаления или при некоторых формах хронического тонзиллита.
Развивается паратонзиллярный абсцесс обычно только с одной стороны через несколько дней после перенесенной ангины. У пациентов пожилого возраста или с ослабленным иммунитетом патологический процесс может развиться в течение суток. Проявляется сильными болями в области миндалин, трудностью проглатывания пищи и даже воды, сопровождается высокой температурой.
Подробнее что такое паратонзиллярный абсцесс, смотрите в нашем видео:
Парафарингеальный
Парафарингеальный абсцесс – это воспаление мягких тканей окологлоточного пространства шеи, с образованием гнойного очага. Основными причинами развития можно считать осложнение паратонзиллярного абсцесса или травмы слизистой.
Сопровождается данная патология высокой температурой, увеличением лимфоузлов и острой болью. Болевой синдром может распространиться на зубы, ухо со стороны абсцесса. Пациенты жалуются на болезненные движения головой, невозможность жевать пищу или просто открывать рот.
Ретрофарингеальный
Эта разновидность абсцесса представляет собой гнойное поражение клеток глоточной мускулатуры. Также это заболевание известно как позадиглоточный или заглоточный абсцесс. Поскольку в этой части глотки больше всего развиты лимфатические узлы именно у детей (до 4-х летнего возраста), ретрофарингеальным абсцессом можно заболеть только в детском возрасте.
Чем опасен заглоточный абсцесс, смотрите в нашем видео:
Причины развития паратонзиллярного абсцесса и методы лечения паратонзиллита
Паратонзиллярный абсцесс горла (фото симптомов прилагается) имеет три стадии развития:
- Первая — отечная стадия, которая характеризуется отеканием тканей миндалин, признаки воспаления и прочие симптомы патологии при этом отсутствуют. На данной стадии заболевание редко диагностируется.
- Вторая — инфильтрационная стадия, которая обуславливается появлением гиперемии, развитием боли, повышением температуры тела.
- Третья — абсцедирующая стадия, которая развивается на пятый или шестой день болезни. Она характеризуется деформацией зева и выпячиванием гнойного образования большого размера.
Лечение острой формы
На начальной стадии заболевания, при своевременной диагностике и начале адекватной терапии можно полностью восстановить структуру слизистого эпителия и избавить пациента от симптомов патологии.
В первую очередь показано соблюдение диеты:
- отказ от кислых, острых, пересоленных блюд;
- дробное питание, включающее пищу полужидкой консистенции – пюре, каши, супы, бульоны;
- употребление пищи в теплом виде, чтобы исключить дополнительное раздражение горла – после приготовления блюду нужно дать остыть до 35-40оС;
- исключение горячих и слишком холодных блюд, которые могут травмировать воспаленные фолликулы в гортани.
Воздух в помещении, где находится пациент, должен быть достаточно увлажненным (не менее 50-70%) и не слишком горячим. Если заболевание пришлось на зимний период, около приборов отопления можно расставить чаши с водой, чтобы предотвратить иссушение воздуха, либо приобрести электрический увлажнитель.
Хорошо позволяет увлажнить слизистую и восстановить ее структуру полоскание горла физраствором (0.9% натрия хлорид), отварами успокаивающих трав (ромашки, подорожника, шалфея), антисептическими средствами (Мирамистин, Хлорофиллипт, Фурацилин).
Чтобы исключить аллергические реакции, которые могли привести к развитию фарингита, нужно обработать подушки и одеяла ультрафиолетом, ограничить контакт с раздражителями (пыльцой растений, шерстью животных, некоторыми продуктами и медикаментами).
При отечности слизистой, вызванной аллергией, больному назначаются антигистаминные препараты Зиртек, Лоратадин, Кларитин, Супрастин, Зодак.
Как правило, таких мер достаточно, чтобы вылечить гранулезный фарингит и предотвратить его переход в хроническую форму.
Немаловажную роль играет укрепление иммунитета – больному нужно принимать витаминные комплексы и обеспечить организму полноценный отдых. При необходимости назначаются иммуностимулирующие средства – Иммунал, настойка эхинацеи, элеутерококка.
Осложнения и последствия
Осложнения флегмонозной ангины очень опасны, так как они поражают не только горло и близлежащие ткани, но и внутренние органы. Инфекция способна распространяться вместе с кровью и лимфатической жидкостью по всему организму. Особенно опасно заражение стрептококком, который вызывает ревматические заболевания – остеомиелит, эндокардит, полиартрит, системную склеродермию.
Другие последствия паратонзиллярного абсцесса:
- Гайморит.
- Нефрит.
- Тромбофлебит.
- Стеноз гортани.
- Некроз.
- Рожистое воспаление.
- Инфекционно-токсический шок.
- Лимфаденит.
При проникновении бактериальных возбудителей в артериальные сосуды существует риск развития тромбоза кавернозного синуса и гнойного менингита. При попадании патогенной микрофлоры в системный кровоток может развиться сепсис, опасный для жизни пациента.
Паратонзиллярный абсцесс горла, симптомы и лечение которого будут детально рассмотрены в статье, обычно заканчивается выздоровлением при своевременной эффективной терапии. В противном случае гнойное воспаление распространяется в глотку, что может стать причиной повреждения ее стенок при хирургическом вмешательстве по вскрытию гнойника. Также иногда наблюдается вскрытие паратонзиллярного абсцесса, при котором гной попадает в здоровые ткани, что располагаются рядом.
Эти явления могут спровоцировать ряд осложнений:
- флегмона шеи и тканей глотки;
- развитие сепсиса;
- стеноз гортани, приводящий к удушью;
- гнойное поражение сердца, аорты и вен;
- тромбофлебит, абсцесс головного мозга;
- менингит, энцефалит;
- ангина Людвига;
- некроз тканей;
- тромбоз яремной вены;
- развитие токсического шока;
- появление кровотечений из крупных сосудов шеи.
Некоторые осложнения могут привести к летальному исходу, поэтому требуют незамедлительной терапии.
Методы лечения паратонзиллярного абсцесса
Паратонзиллярный абсцесс – это полость, заполненная гноем, которая является разновидностью острого паратонзиллита – воспаления тканей вокруг глоточных миндалин. Эта болезнь развивается, если вовремя не лечить хронический или острый тонзиллит.
Абсцессы паратонзиллярной клетчатки могут развиваться как итог острого тонзиллита, но гораздо чаще они представляют собой следствие хронического воспаления миндалин. Переход заболевания в такую гнойную форму имеет несколько причин возникновения:
- Ослабление общего иммунитета организма из-за длительной болезни любого органа. К нему присоединяется снижение местной иммунной защиты слизистой оболочки при длительно текущем воспалении в глотке.
- Снижение этих защитных факторов приводит к тому, что активизируются условно патогенные бактерии, в норме населяющие горло и не приводящие к болезням. Они содержатся в биопленке, покрывающей слизистую. В процессе хронического заболевания биопленка разрастается, а бактерии в ее составе размножаются и вызывают гнойную форму болезни.
- Антибиотики, используемые для лечения тонзиллита, не работают против условно патогенных микроорганизмов.
- Анатомическая особенность некоторых людей, усугубляемая частыми ангинами – увеличенные миндалины с очень глубокими криптами. В них микробам легче задержаться.
- Рубцы и спайки на миндалинах как следствие частых болезней затрудняют отхождение слизи и гнойных пробок, что усугубляет ситуацию.
- Возможен одонтогенный генез – распространение воспаления из кариозного зуба на горло.
- Железы Вебера способствуют распространению воспаления с миндалин на окружающую клетчатку.
Виды и симптомы
Паратонзиллярный абсцесс представляет собой стадию флегмонозной ангины. Ее иначе называют острым паратонзиллитом. Оба этих названия отражают суть процесса – воспаление тканей, окружающих миндалины, с образованием большого количества гноя. К стадиям острого паратонзиллита относят:
- отечный паратонзиллит;
- инфильтративный;
- абсцедирующий — абсцесс горла и миндалин.
По расположению гнойника выделяют несколько видов заболевания:
- передневерхний паратонзиллит, когда гнойник над миндалиной, — самая частая форма;
- задний – позади миндалины;
- нижний, чаще всего, одонтогенный;
- боковой – на боковых стенках глотки, самый редкий вид, бывает левосторонний и правосторонний;
- интратонзиллярный – скопление гноя внутри миндалины.
Клинические проявления всех этих видов сводятся к такому набору симптомов:
- очень интенсивная боль в горле при глотании, которая вскоре становится постоянной и усиливается при попытке сглотнуть;
- отказ от пищи из-за боли;
- боль отдает в уши, зубы;
- гнусавая и невнятная речь;
- неспособность поворачивать и наклонять голову из-за боли;
- спазм жевательных мышц, не дающий возможности полностью открывать рот и жевать;
- подъем температуры до 38-39°С;
- озноб, слабость, головная боль;
- увеличение и болезненность лимфоузлов в области шеи и подбородка.
От обычной ангины паратонзиллит отличается и по процессам, происходящим в горле, и по симптомам. При неосложненной ангине, в отличие от абсцесса, нет:
- гнойного расплавления тканей, формирующего полость с гноем;
- полного отказа от пищи из-за невозможности глотания;
- тризма мышц шеи и неспособности поворачивать голову.
Также дифференциальная диагностика между ангиной и абсцессом проводится на основании данных фарингоскопии, при которой виден непосредственно воспаленный участок с абсцессом.
Абсцесс горла и миндалин сам по себе является осложнением острого или хронического тонзиллита. Если его не лечить, он может привести к еще более опасным последствиям:
- удушью из-за распространения заднего паратонзиллита до гортани;
- парафарингеальному абсцессу – расширению гнойного очага на всю окологлоточную клетчатку;
- менингиту – воспалению мозговых оболочек;
- тромбозу яремной вены;
- сепсису – распространению инфекции на весь организм с током крови.
Все это, к сожалению, может закончиться летальным исходом.
Больные острым или хроническим тонзиллитом, осложненным паратонзиллярным абсцессом, обычно уже наблюдаются у ЛОР-врача по поводу основного заболевания. В таком случае доктор проводит диагностику на основании:
- симптомов;
- мезофарингоскопии – оценка врачом локального статуса с помощью специальных зеркал;
- клинического анализа крови, по которому определяют, есть ли гнойное воспаление;
- общего анализа мочи;
- результатов мазка со стенок глотки, подтверждающего диагноз и выявляющего возбудителей болезни.
Вместе с диагностическими процедурами обязательно проводят посев полученных микроорганизмов для определения их чувствительности к антибиотикам.
Методы лечения
Такое опасное заболевание, как флегмонозная ангина в период абсцедирования, требует, прежде всего, хирургического лечения. Остальные методы помогают облегчить состояние пациента и дополняют операцию для быстрейшего выздоровления.
Это заболевание на фоне тонзиллита проявляется сначала резким повышением температуры выше 38°С. После него уже присоединяется остальные симптомы. Как и любое гнойное воспаление, оно оказывает огромную нагрузку на организм. Поэтому необходимо обязательно снизить температуру жаропонижающими средствами. Отоларингологи для этих целей рекомендуют использовать:
- Ибупрофен, например, в виде Нурофена или детского Нурофена;
- Парацетамол.
В отличие от других заболеваний ЛОР-органов, паратонзиллярный абсцесс требует снижения температуры уже при ее подъеме до 38°С.
Околоминдалинный абсцесс и любой другой гнойник в глотке требует немедленного хирургического вмешательства. Все такие операции происходят под местной анестезией. Это огромное преимущество по сравнению с другими операциями, ведь пациенту не приходится переживать длительный тяжелый выход из наркоза в послеоперационном периоде.
Доступ к очагу гнойного воспаления осуществляется через ротовую полость. Пациенту открывают рот, и в зависимости от места, где расположен гной, хирург выбирает место для разреза. Техника операций такова:
- Хирург рассекает ткани глотки вдоль хода сосудов, проникая скальпелем всего на 0,5-1 см в глубину.
- Ткани раздвигаются специальным тупым инструментом – корнцангом, чтобы избежать лишнего повреждения.
- Полость очищается от гноя.
- После вскрытия гнойника глотку промывают антисептиками: Хлоргексидином, Фурацилином или Риванолом.
Если паратонзиллярный абсцесс задний, его вскрывают на пол сантиметра позади от задней небной дужки. Нижний вскрывают через нижнюю часть небно-язычной дужки.
На пятый-шестой день болезни может произойти самопроизвольное вскрытие абсцесса. Ни в коем случае нельзя дожидаться такого исхода. При этом большинство симптомов болезни пропадает, но абсцесс лопается в точке с большим количеством сосудов, по которым инфекция может попасть к оболочкам мозга. Если гнойник уже вскрылся сам, полость рта и горло необходимо регулярно обрабатывать.
Т. к. паратонзиллит – тяжелое заболевание, обусловленное бактериями, большинство докторов назначают антибиотики. В целом лечение всех паратонзиллитов включает следующие препараты:
- антибиотики;
- нестероидные противовоспалительные средства: Диклофенак, Ибупрофен и Кеторолак;
- антигистаминные (противоаллергические) лекарства для снятия отека: Цетиризин, Лоратадин и Хлоропирамин;
- местные комбинированные препараты с антисептиками.
Антибактериальные препараты подбирают в соответствии с чувствительностью к ним микроорганизмов, высеянных из мазка. Только квалифицированный специалист может правильно подобрать антибиотик для конкретного пациента. Неправильный выбор грозит тяжелыми осложнениями. Специалисты обычно отдают предпочтение таким антибиотикам:
- Амоксициллин с клавулановой кислотой;
- Цефазолин;
- Цефтриаксон;
- Цефуроксим;
- Левофлоксацин;
- Кларитромицин;
- Азитромицин;
- Имипенем с Циластатином;
- Метронидазол.
Средства, используемые местно для орошения слизистых оболочек как до операции, так и после вскрытия любым путем:
- Хлорид бензоксония с лидокаином;
- Гексэтидин;
- Биклотимол;
- Повидон-йод с Аллантоином;
- Хлоргексидин с бензокаином.
Физиотерапия
При абсцедировании паратонзиллита нельзя применять физиопроцедуры, обладающие согревающим эффектом, так как это усилит выработку гноя. Физиотерапевтическое лечение должно быть направлено на снятие воспаления. Таким действием обладают следующие методы:
- магнитотерапия;
- воздействие токами ультравысокой частоты;
- лечение микроволнами.
Тем не менее, всем методам физиолечения свойственно хоть немного расширять сосуды. Это может усугубить ситуацию в острый период. Поэтому использовать их можно только для реабилитации после вскрытия гнойного очага инфекции.
Народные средства
И до операции, и в период реабилитации рекомендуют применять в качестве дополнительной терапии народные средства. Они не способны избавить от заболевания, но облегчают самочувствие больного, позволяя ему с легкостью перенести весь курс лечения. К таким методам следует отнести:
- ингаляции с помощью грелки, заполненной горячей жидкостью – отваром эвкалипта или водой с ментолом;
- рассасывание мумие по одной таблетке утром и вечером;
- полоскание горла с прополисом для уничтожения бактерий и усиления местного и общего иммунитета;
- рассасывание смеси меда с прополисом;
- полоскание глотки составом из заваренных в стакане горячей воды цветов липы, вероники лекарственной и коры белой ивы.
Больные с паратонзиллитами практически не могут кушать из-за тризма – спазма жевательных мышц. К тому же, они испытывают боль при глотании. Поэтому соблюдаются правила питания. Вся пища должна быть максимально мягкой или жидкой: в виде пюре, киселя, жидких молочных продуктов.
Кроме этого обязательно выпивать в день большое количество жидкости. Она снимет симптомы интоксикации – повышенную температуру, слабость и головную боль. Идеально, если это не просто вода, а напиток, приготовленный путем заливания горячей водой ягод малины или черной смородины. Такое питье содержит природные салицилаты – вещества, активизирующие иммунитет.
Беременным женщинам категорически противопоказано заниматься самолечением при подозрении на абсцесс, как и другим пациентам. Но для будущих мам паратонзиллит куда опаснее, чем для остальных. Он наносит удар по иммунитету матери и малыша одновременно.
А с кровью и сама инфекция может распространиться в организм ребенка и повлиять на его развитие.
Причины возникновения
Наступление гнойного тонзиллита складывается из трёх условий:
- Главное и основное — ослабление гуморального и клеточного иммунитета, снижение реактивности организма.
- Заражение бактериальными или вирусными возбудителями тонзиллита.
- Хронический воспалительный процесс в организме аутоиммунной или аллергической природы (основной симптом ангины — это воспаление, а воспаление гораздо легче возникает на фоне другого воспаления).
При здоровом и сильном иммунитете вероятность заболеть ангиной крайне низка (даже при попадании в организм типичных возбудителей).
Тонзиллит частично рассматривается как детское заболевание. Ведь именно у детей иммунитет подрывается легче всего. Но это не значит, что взрослые не подвержены данному недугу. По статистике за последний год каждый пятый человек в возрастном диапазоне 20-40 лет обращался в клинику с диагнозом тонзиллит.
Есть множество факторов, способных серьёзно подорвать иммунную защиту и у взрослого человека:
- недавно перенесённая какая-то серьёзная инфекция вирусной, бактериальной или грибковой природы, а также хронические очаги инфекции вроде запущенного кариеса или стоматита;
- сильные травмы: механические, термические, химические (например, ангина часто возникает на фоне резкой гипотермии);
- лечение антибиотиками (уничтожают и полезную микрофлору), иммуносупрессорами (особенно это касается супрессоров общего действия) и глюкокортикостероидами (являются неспецифическими факторами подавления иммунитета);
- индивидуально бывает так, что лимфоидная ткань в миндалинах имеет много полостей (повышена рыхлость), а это способствует задержке в них патогенных микроорганизмов и вирусов;
- у беременных женщин из-за гормональной перестройки и общей нагрузки на организм часто подрываются защитные силы против бактерий и вирусов;
- многолетнее воздействие плохой экологии (особенно негативным является сочетание холодного климата и высокого содержания вредных примесей в воздухе);
- многолетний нездоровый образ жизни: плохое питание, недостаточный сон, постоянные стрессы, длительное времяпрепровождение в сидячем положении.
- стрептококки — 90% всех случаев гнойной ангины приходится именно на эту группу бактерий, причём более 50% всех стрептококковых ангин вызывается бета гемолитическим стрептококком группы А;
- стафилококки и гемолитическая палочка занимают второе место, среди стафилококков самым опасным считается золотистый стафилококк, и именно он в 95% случаев стафилококковой ангины является причиной болезни;
- менее 10% всех случаев тонзиллита с нагноением приходятся на пневмококки и менингококки;
- не более 1% приходится на условно-патогенные бактерии клебсиеллы;
- в единичных случаях отмечались гнойные ангины, спровоцированные довольно редкими и тяжёлыми инфекциями (сибирская язва). И более распространённым, но совершенно нехарактерным заболеванием (псевдотуберкулёз).
Надо отметить, что вирусы не способствуют образованию гнойного экссудата. Поэтому вирусная ангина гораздо чаще проходит или, по крайней мере, начинается как катаральная ангина, для которой характерно острое воспаление верхнего эпителия слизистой зева без образования гнойников. Также вирусы провоцируют тривиальный фарингит.
Прогноз при паратонзиллярном абсцессе
Прогноз паратонзиллярного абсцесса напрямую зависит от своевременности и эффективности антибактериальной терапии. При адекватно подобранных препаратах вылечить флегмонозную ангину можно за 15-20 дней.
Спрогнозировать течение болезни затруднительно, если присутствуют осложнения. При последствиях, развившихся в полости черепа, прогноз значительно ухудшается и во многом зависит от течения сопутствующей патологии.
Прогноз заболевания благоприятный при условии своевременного и эффективного лечения. В тяжелых случаях может начаться сепсис, который приведет к летальному исходу. Из-за высокого риска развития негативных последствий терапия патологии проводится в стационаре.
Хирургическое вмешательство
При второй стадии патологии паратонзиллярный абсцесс, симптомы и лечение которого сейчас рассматриваются, предполагает применение хирургического вмешательства. Врач проводит вскрытие абсцесса при помощи разреза. Но такая процедура не всегда приводит к выздоровлению пациента, так как в некоторых случаях отверстие склеивается фибрином, поэтому возникает необходимость расширить рану. В данном случае на протяжении пяти дней выполняется дренаж под местным наркозом.
В тяжелых случаях проводится абсцессотонзиллэктомия, при которой опорожнение гнойника осуществляется вместе с удалением пораженной миндалины. Это дает возможность полностью устранить очаг инфекции. После этого проводится очищение участков дизенфицирующими растворами на протяжении нескольких дней. Также врач назначает антибактериальный препарат. Возможно применение физиотерапии для быстрого заживления раны.









