Выпадение молочного зуба у ребенка часто превращается в радостное событие. Малыш чувствует себя взрослым, нередко с гордостью демонстрирует свой выпавший зубик. Но иногда выпадение молочных зубов у детей может принести не только радость, но и волнения, хлопоты. Рассмотрим основные проблемы, которые встречаются в этот период, и дадим советы, как их решить.
Советы
Шатающийся зуб проявляет немалый интерес у ребёнка. Малышу так и хочется его потрогать. Как же вести себя родителям в такой ситуации:
- Если вы замечаете, что у малыша скоро выпадет первый зуб, обязательно расскажите ему о том, что должно произойти. Объясните, что в этом нет ничего страшного. На месте выпавшего — вырастет новый, более крепкий зуб.
- Очень важно объяснить ребёнку, что нельзя трогать зубы своими руками. Малыши довольно часто это делают, особенно, когда зубы начинают шататься. Ведь это так интересно и непонятно. Постарайтесь доступно объяснить, что таким образом ребёнок может занести инфекцию. Вы должны понимать, что это может привести к развитию воспаления и вызвать болевые ощущения.
- Нужно быть готовым, что с выпадением зубика начнёт сочиться кровь. Тут главное без паники. Проследите, чтоб малыш не испугался. Чтоб её остановить, необходимо дать ребёнку содовый раствор (на стакан тёплой воды чайная ложка). Пусть малыш полощет ротовую полость, пока ранка не перестанет сочиться.
- Не нужно давать ребёнку противовоспалительные медикаменты или анальгетики. В них нет необходимости.
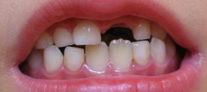
Симптомы, по которым можно понять, что процесс начался:
- У некоторых деток наблюдается повышение температуры (до 38). В этом случае не стоит медлить, лучше обратиться за консультацией к вашему лечащему врачу.
- Неприятные ощущения в деснах.
- Пространство между зубами увеличивается.
- Корни начинают рассасываться (Корни молочных зубов гораздо короче, чем у постоянных. Когда процесс доходит до шейки, то происходит смена зуба).
- Десны кровоточат.
Зубик выпал и идёт кровь
Кровь после выпадения молочного зуба
Родители должны быть готовы к тому, что с выпадением молочного зуба у ребёнка будет кровить десна. Это нормальное явление. Важно, чтоб родители знали, как нужно себя вести в такой ситуации. Иногда кровь достаточно быстро сворачивается, ранка затягивается, малыш даже не замечает, что что-то произошло. Иногда нужно провести определённые процедуры, чтобы остановить кровотечение. Бывают случаи, когда в домашних условиях не удаётся этого сделать, и нужен поход к врачу.
Что же могут предпринимать родители:
- Первым, что вы можете сделать и зачастую этого достаточно — дать ребёнку кусочек ваты. Пусть он приложит к месту выпавшего зуба.
- Вам могут посоветовать полоскание рта перекисью, так как она обладает обеззараживающим эффектом. Однако, она не окажет должного влияния и будет действовать раздражающим образом на ранку.
- Самым эффективным средством, чтоб остановить кровотечение, и снять воспаление является полоскание ротовой полости содовым раствором.
- Не стоит исключать, что хоть и в редких случаях, но возможно, вам не удастся остановить кровь. Только в таком случае нельзя откладывать с походом к доктору. Возможно, у малыша нарушен процесс свёртываемости или есть какой-то фактор, не позволяющий этому произойти.
- Известны случаи, когда ребёнок мог нечаянно проглотить выпавший зуб. То есть выпадение произошло настолько незаметно. Если у ребёнка не появляются жалобы на плохое самочувствие, то зуб выйдет естественным путём. Но всё же рекомендуется посетить врача, чтоб удостовериться, что зубик выпал полностью, а в десне не торчит его остаток.
Как проходят первые часы после вырывания
Сразу после экстракции врач проведет антисептическую обработку открытой раневой поверхности. В лунку будет помещен марлевый тампон (турунда), пропитанный лекарственным препаратом с бактерицидным и гемостатическим действием, который предотвратит обильное кровотечение.
Луна сразу после экстракции
Убрать турунду изо рта можно будет через 15–30 минут. В течение всего этого времени лучше находиться в клинике стоматологии, чтобы в случае возникновения побочных эффектов из-за кровопотери и действия анестетиков вовремя получить квалифицированную медицинскую помощь. О любых неприятных ощущениях, к примеру, если больно глотать, слишком сильно идет кровь, или трудно открыть рот, следует рассказать врачу. Доктор сможет оперативно оценить состояние пациента и даст ему нужное лекарство.
В течение получаса после того как зубной корень удалили из лунки, в ране образуется кровяной сгусток, который противодействует инфицированию. Если его повредить, то рана воспалится. Поэтому следует быть предельно осторожным и следить за тем, чтобы не выполоскать или не сдвинуть сгустком языком.
Что делать с выпавшими молочными зубами ребёнка
Сейчас всё чаще практикуется придумывать целую историю, сказку или ритуал, после выпадения молочного зуба. Говорят, что в первую очередь выпадает самый плохой и ненужный зубик. Считается, что его необходимо закапать глубоко в ямку. Именно такая процедура позволит остальным зубам быть значительно крепче и здоровее.
Что говорить ребёнку, ваш выбор. Всё зависит от того, насколько развито ваше воображение. Также нужно учитывать психоэмоциональное состояние вашего малыша. Важно, чтоб ребёнок не испугался и понял, что на месте потерянного появится новый, который будет ещё лучше. К тому же, вы можете рассказать и показать, что у вас уже все зубы коренные, а раньше были тоже молочными, так как у малыша. Ребёнку будет проще смириться с этим событием.
Так что же делать с зубом:
- Выбросить. Если в вашей семье никогда не соблюдался ритуал выпавших молочных зубов и карапуз ранее никогда не слышал, например, о зубной фее, тогда можно просто избавиться от зуба. Однако, я всё же рекомендовала бы, хотя бы закопать его, и пожелать, чтоб у малыша росли крепкие зубки.
- Зубная фея. Про существование этого сказочного героя мы узнали из зарубежных фильмов. На сегодняшний день зубная фея уже стала широко известной среди детей нашей страны. Поэтому можете использовать и такую легенду. Пусть малыш положит выпавший зуб себе под подушку, и пока он будет спать, придёт фея, заберёт зубик и оставить что-то взамен.
- Мышка. О таком персонаже я слышала ещё в своём детстве. Бабушка говорила, что выпавший зубик нужно спрятать в тайном месте, желательно тёмном, например, под шкафом. Кроме этого, можно бросить зубик через плечо, проговаривая просьбу для мышки о крепких зубках.
- Сохраните зуб на память. Я, например, так и сделала. Некоторые родители любят хранить памятные вещи, например, слепок стопы годовалого ребёнка или первый срезанный локон. Неудивительно, что и первому молочному зубу тут тоже находится место.
- Оберег. В некоторых семьях принято считать, что молочный зуб обладает магической силой. В таком случае родители могут решить убрать зубик в тайное место и надеяться, что теперь в их семье будет только достаток и счастье. Главное верить в силу этого талисмана.
- Украшение. На мой взгляд, это самый безумный вариант того, что можно сделать с выпавшим зубом. Но бывают и такие случаи. Мама может отнести выпавший зубик в мастерскую и попросить, чтоб его обрамили драгоценным металлом. А потом носить в качестве украшения.
Через сколько можно есть и пить после удаления зуба
Экстракция зуба – это полноценная операция, поэтому для нее характерен стандартный восстановительный период. Но из-за определенных особенностей хирургических манипуляций он длится не несколько недель, а меньше суток. А вот через сколько именно часов после удаления зуба можно будет говорить, кушать и пить, зависит от особенностей организма, тяжести проведенной операции и количества удаленных моляров.
Приметы про зубы
Что делать с зубами

На самом деле существует множество разных поверий. Я вас познакомлю с основными из них:
- Считалось, что малыш, который появился на свет уже с зубиком, будет иметь великое будущее и даже воинскую славу.
- Обратите внимание на расстояние между передними верхними зубами. Считается, если в это пространство поместится монетка (боком), ребёнок станет богачом.
- Если у вашего карапуза первый зубик появился раньше положенного срока, вы скоро снова станете мамой.
- Известна примета, которая показывает количество сестёр или братьев у малыша. Для этого необходимо посчитать, сколько зубов у ребёнка в год. Однако, сейчас в такую примету верится с трудом. Ведь у большинства деток в этом возрасте уже больше пяти зубиков.
- Хороший обычай подарить малышу серебряную ложечку, когда появится первый зуб. Она станет оберегом для ребёнка. Также считалось важным постучать по прорезавшемуся зубу серебряной ложкой для того, чтобы остальные зубки вылазили быстро и безболезненно.
- У многих народов считалось недопустимым позволить кому-то найти выпавший зуб малыша. В большинстве случаев это было связано с мнением о том, что злые колдуны или ведьмы могут заговорить зубик и навлечь на ребёнка беду.
Теперь вы знаете, что можно делать с выпавшим зубиком. Главное, не паниковать. Объясните ребёнку, что всё в порядке и это обычный физиологический процесс. Чтоб малыш легче пережил такое событие, которое вполне может стать для него стрессовым, лучше придумайте какую-то сказочку, введите в историю персонажа.
Перед операцией
Удаление любого зуба является сложной процедурой, которую может проводить только стоматолог-хирург. В некоторых бюджетных поликлиниках в период летних отпусков экстракцию зуба могут доверить стоматологу-терапевту, но пациент должен знать, что специалисты данного профиля не обладают достаточным уровнем практических навыков, поэтому если нет срочных показаний к операции, лучше дождаться узкопрофильного врача или обратиться в другую стоматологическую клинику.
Перед операцией пациенту необходимо заполнить анкету, в которой нужно указывать все данные, которые могут повлиять на выбор лекарственных препаратов, метод экстракции и другие моменты, связанные с данным видом стоматологического лечения.
Пред удалением зуба пациент заполняет анкету и консультируется с врачом
Обязательные данные, которые нужно сообщить врачу перед операцией:
- группа крови и резус-фактор;
- наличие аллергической реакции на химические вещества или определенные лекарства;
- перенесенные заболевания;
- факт переливания донорской крови;
- вредные привычки (курение и злоупотребление алкоголем).
Важно, чтобы стоматолог узнал достоверную информацию
Обратите внимание! Очень важно указывать только правдивую информацию, чтобы врач имел полное представление о состоянии здоровья пациента и мог оценить возможные риски. Также обязательно следует указать телефоны родственников, с которыми врач сможет связаться при возникновении каких-либо осложнений (например, со стороны сердца и сосудистой системы).
Как долго нельзя есть после процедуры
В течение первых 2 часов после удаления зуба есть нельзя. Если хирургическое вмешательство было серьезным (к примеру, удалили зуб мудрости), то постный период увеличивается до 4–6 часов. При склонности к кровотечениям врач может порекомендовать пациенту ограничить прием пищи в ближайшие 12 часов. Чем больше удаляется зубов, тем дольше нужно подождать до приема пищи.
Почему нельзя есть после удаления зуба:
- существует высокий риск травмирования заживающей раневой поверхности и открытия повторного кровотечения;
- может вымыться кровяной сгусток, из-за чего образуется «сухая лунка»;
- есть вероятность инфицирования, распространения патогенных организмов по току крови и развития воспалительных процессов: кист и прочих гнойных образований;
- при пережевывании пищи десны подвергаются дополнительной механической нагрузке.
В послеоперационный период ни в коем случае нельзя посещать баню и сауну и каким-либо образом прогревать область, подвергшуюся хирургическому вмешательству.
Особенности питания
В период прорезывания коренных зубов их эмаль еще формируется. Ребенку необходимо питаться полноценно. Рацион должен насыщать растущий организма микроэлементами, витаминами, которые необходимы для формирования и роста. Малыш должен придерживаться следующего рациона:
- Употреблять творог, твердые сыры, молоко, другие богатые кальцием продукты.
- Как можно чаще есть рыбные блюда: хек, судак, минтай.
- Свежие овощи, фрукты, большинство из них должны быть в твердом виде.
- Избегать белой выпечки, сладостей, сладкой газированной воды.
- При недостатке кальция нужно употреблять поливитаминные комплексы с кальцием.
- Отказаться от твердых и тягучих продуктов: орехов, леденцов, ирисок.
- В составе продуктов не должно быть активных красящих веществ, портящих цвет эмали.
Особенности ухода
Качественная гигиена полости рта и профилактика кариеса играют важнейшую роль в период прорезывания постоянных зубов.
Ребенок должен чистить их дважды в день щеткой с мягкими щетинами, которые не будут травмировать десны. В пасте должно содержаться оптимальное количество фтора, кальция. Родителям следует контролировать процесс и его длительность.
Также после приема пищи рот нужно полоскать детским ополаскивателем, ромашковым отваром или обычной водой. Налет не будет накапливаться, риск воспаления десен в области прорезывания будет снижен.
Малыша нужно отводить к стоматологу на осмотр дважды в год.
Отношение в действительном времени
Сейчас популярность данного атрибута не приносит радость, больше огорчения. Люди стремятся избавиться от утомительной боли и дискомфорта, который испытывают при появлении «восьмерок». Они по счету восьмые в ряду, отчего и получили такое название в обиходе, не имеют молочных предшественников.
На помощь приходят стоматологи, удаляя проблему раз и навсегда. Прежде чем торопиться к дантисту, попытайтесь утихомирить болевые ощущения лекарствами или народными методами. Они непрочны, портятся быстрее остальных. Удалить такой подарочек рано или поздно придется. Но не спешите, так как к нему полагается получение от судьбы презентов больших и маленьких. Гласит примета, эхом отзываясь через века.
Почему боль и дискомфорт испытывают не все люди при прорезывании «восьмерок», хотят понять ученые умы.
























