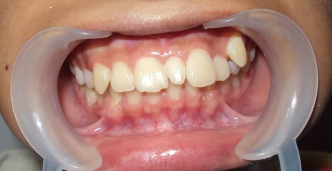
У детей и взрослых встречаются аномалии зубов. Они предполагают необычный размер, форму, цвет и прочие признаки. Во всех этих случаях возникает деформация лица и челюсти, проблемы с прикусом, человеку трудно принимать пищу, имеются дефекты речи.
Постановка диагноза осуществляется путем рентгена, томографии, взятия слепков и т.д. В дальнейшем стоматолог индивидуально подбирает тактику лечения.
Зубные патологии
Аномалии могут быть как врожденными, так и приобретенными. Могут возникать аномалии отдельных зубов, а также целых зубных рядов. Довольно часто наблюдаются аномалии прикуса, что не позволяет зубочелюстной системе нормально функционировать. Стоматологи провели наблюдения и выяснили, что практически каждый второй ребенок страдает от наличия подобных аномалий, среди взрослых эта проблема встречается немного реже.
Всем известно, что каждый зуб имеет свою индивидуальную характеристику: он должен четко соответствовать своему положению, иметь определенную форму и цвет, а также выполнять свою функцию. Любое отклонение от принятых норм расценивается как зубная аномалия и нуждается в лечении и исправлении. Если не уделить этому вопросу должное внимание (особенно в детстве), то в будущем можно столкнуться с серьезными осложнениями. Порой аномалии зубов вылечить не так просто, и для этого проводится длительная терапия. Некоторые больные проходят терапевтическое, хирургическое, ортодонтическое и ортопедическое лечение, чтобы добиться красивой и здоровой улыбки.
Причины аномалий
Причин для развития аномалий зубного ряда или отдельного зуба довольно много, и специалисты разделили их на две группы: эндогенные и экзогенные.
К первой группе относятся факторы генетического и эндокринного уровня. Что касается генетических признаков, то здесь все понятно – это в первую очередь наследственность. Ведь ребенок может унаследовать от своих родителей форму зубов и их размер, строение челюсти, мягких тканей и многое другое. А также такие аномалии относят к числу врожденных пороков и заболеваний, которые передаются по наследству. Причем родители могут не иметь никаких проблем с зубами, а порок передался от бабушек или дедушек.
Далее стоит обратить внимание на эндокринный порядок, который имеет довольно серьезное влияние на процесс формирования зубочелюстной системы. Такое заболевание, как гипотиреоз, приводит к задержке прорезывания зубов у детей. Молочные зубы могут смениться коренными намного позже, чем это должно происходить в норме. Кроме этого наблюдается адентия, деформация челюсти, меняются форма и размер зубов. Подобные последствия могут нести за собой и такие заболевания, как гипокортицизм, гиперпаратиреоз и другие.
Группа экзогенных причин имеет в своем составе еще несколько подгрупп: пренатальные причины, интранатальные и постнатальные, местные и общие:
- Понятно, что пренатальные факторы имеют воздействие еще до рождения человека на свет. Здесь на появление врожденных аномалий может повлиять: многоплодие, когда детям не хватает места в животе матери, гипоксия плода, токсикозы на разных сроках беременности, частые стрессы во время вынашивания, амниотические тяжи, задержка внутриутробного развития.
- Интранатальные факторы также сопровождают ребенка еще до рождения. Сюда относится асфиксия и обвитие пуповиной, длительное пребывания малыша в утробе после отхождения вод, внутричерепные травмы, которые произошли во время родового процесса.
- К постнатальному периоду относятся заболевания, которые присущи детскому организму: гиповитаминоз и рахит, даже недостаточное пребывания ребенка на улице может повлечь за собой проблемы с зубами, нарушения носового дыхания и многое другое.
Далее следуют местные факторы. Педиатры относят сюда длительное пребывание ребенка с соской, сосание ребенком своего пальца, искусственное вскармливание и многое другое. А также патологии зубов могут возникать после различных травм, из-за наличия короткой уздечки под языком или на верхней губе. Причиной аномалий может стать осложненный кариес, из-за которого приходится в раннем возрасте удалять зубы. У некоторых деток наблюдаются ретенированные или сверхкомплектные зубы. Это мешает нормальному расположению зубного ряда и приводит к аномалиям положения зубов.
Различные факторы влияют на то, что цвет наших зубов сильно меняется. Это может быть курение, употребление пищи с большим содержанием красителей, наличие зубного налета. Все эти и многие другие факторы приводят к тому, что у человека появляется аномалия цвета зубов.
Если у детей лишние зубы
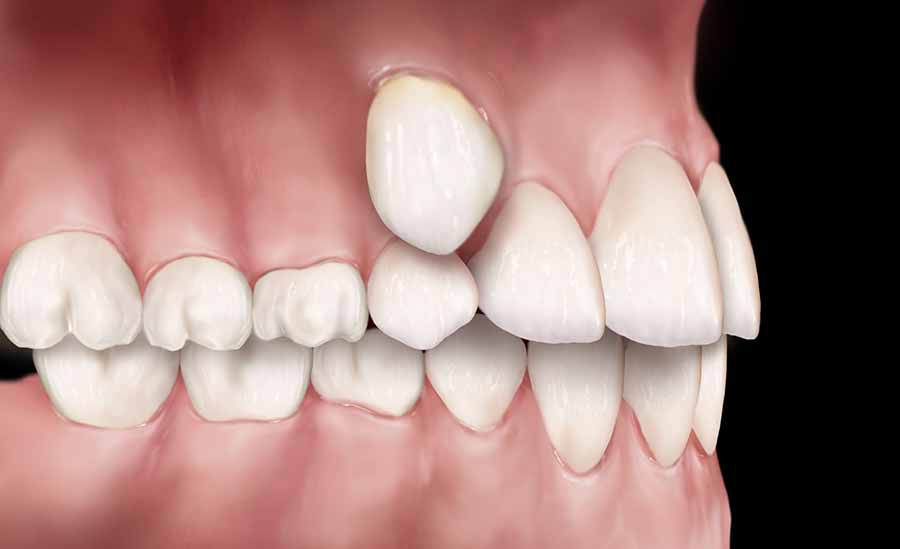
Сверхкомплектные зубы у детей появляются в постоянном прикусе и именно на передней группе — вместо 4 резцов верхней или нижней челюсти может появляться 5 и более. Обычно появление таких зубов становится причиной смещения соседних, правильно расположенных зубов. В остальном дети не предъявляют никаких жалоб.
Причина появления лишних зубов сводится к нарушениям дифференцировки клеток во время внутриутробного развития, вместо одного зачатка начинается развитие двух и более. Если в период беременности на мать и плод воздействовали агрессивные факторы — вредные привычки, болезни, стрессы, неправильное питание, прием некоторых лекарственных препаратов, — то родители должны быть готовы к различным последствиям, отражающимся на состоянии зубов у детей.
Как правило, лишние зубы удаляются, и восстановить прикус удается в полной мере с минимальными последствиями.
Отсутствие зачатков зубов встречается реже, чем их большее количество. Лечение осуществляется путем протезирования.
Патологии, связанные с количеством
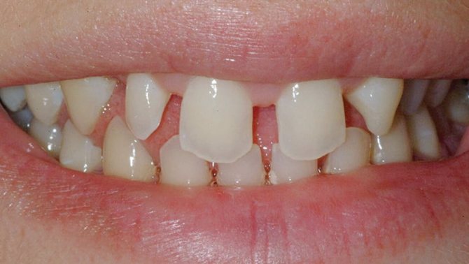
Всем известно, что в ротовой полости должно находиться 32 зуба, это считается нормой. К аномалии количества зубов относится их избыточное количество, а также недостаток или полное отсутствие. Первая проблема имеет название – гипердонтия, и для нее характерно наличие сверхкомплектных зубов, которые находятся не в зубном ряду, а за его пределами и сильно смещают своих соседей в стороны, тем самым, меняя их нормальное положение на патологическое. Сверхкомплектные зубы чаще можно обнаружить на верхних рядах, их размеры и форма не совпадают с принятыми нормами. Довольно редко случается так, что сверхкомплектный зуб удачно втиснулся в зубной ряд.
Такие зубы необходимо удалять в обязательном порядке, поскольку они нарушают построение зубных рядов. После их удаления проводится коррекция положения постоянных зубов, ведь они были сильно смещены при образовании сверхкомплектных. С этой целью проводится ортодонтическое лечение. Если же больному повезло и лишний зуб удачно вписался в ряд и не мешает нормальному развитию соседей, то его можно оставить. Следует лишь исправить его форму на правильную. А сделать это очень просто при помощи протезирования.
Откуда берется тортоаномалия: основные причины отклонения
Что может стать предпосылкой для поворота одного или нескольких зубов? Можно выделить 5 основных предпосылок:
- Отсутствие физиологически необходимого для зуба пространства, связанное с макродентией или специфически узкой челюстью. Данная причина проста и понятна: зуб просто не может поместиться в отведенное ему место, не развернувшись. Характерной особенностью такой аномалии является угол поворота в 45° – именно так зуб занимает наименьшее пространство в уже сформировавшемся челюстном ряду, также стоит упомянуть и сложность исправления дефекта : в некоторых случаях это просто невозможно из-за особенностей челюсти.
- Подверженность зуба постоянному давлению. Такая ситуация может быть вызвана сверхкомплектными или активно, но не совсем физиологически правильно (например с задержкой) прорезывающимися соседними зубами. Под действием постоянного бокового или нижнего давления (иногда с нескольких сторон) зуб несколько проворачивается в гнезде – и вот она типичная тортоаномалия.
- Неверная изначальная закладка зубного фолликула. Зачатки зубов появляются еще в пренатальном (на поздних сроках беременности) или младенческом этапе развития и не всегда обходится без отклонений. Таким образом, зуб сразу прорезается под определенным углом.
- Излишняя пресистенция молочных зубов. Данная тортоаномалия будет наблюдаться у коренных зубов и характеризуется следующим механизмом развития: столкнувшись в процессе прорезания с устойчивыми молочными зубами, новый зуб вынужден несколько отклониться или развернуться от естественного положения. Такую патологию проще всего ликвидировать на начальных стадиях развития: просто самостоятельно вырвите мешающийся молочный зуб.
- Травмы. Еще одной причинной этой аномалии являются повреждения, полученные непосредственно во время прорезания передних коренных зубов. В результате травмы может нарушиться рост группы резцов и клыков.
Чаще всего возникновение тортоаномалии обусловлено физиологическими особенностями зубочелюстной системы, однако причиной может стать и случайная травма. Данная патология может передаваться на генетическом уровне.
Величина зубов
Аномалии размеров зубов подразделяются на макро- и микродентию.
В первом случае видимые части зуба имеют слишком большие размеры, которые никак не совпадают с нормой. Наиболее распространена эта проблема с центральными верхними резцами. Слишком крупные зубы могут мешать остальным зубам, они не оставляют для них места и тем самым портят общий внешний вид. Кроме этого зубы такого размера плохо влияют на гармонию черт лица и относятся к косметическим недостаткам. Вылечить их невозможно, поэтому они просто подвергаются удалению. После чего проводится исправление соседних зубов, а появившийся дефект скрывают путем протезирования или имплантации.
Микродентия, в свою очередь, — это чрезмерно маленькие видимые части зуба. В большинстве случаев страдают верхние боковые резцы, но ни один зуб во рту не застрахован от такой аномалии. Обычно между этими зубами остаются слишком большие промежутки, которые сильно искажают лицо. Можно просто удалить мелкие зубы и заменить их протезами, но некоторые выражают желание сохранить родные зубы и просто покрывают их коронками. Аномалии размера и формы зубов очень тесно сопряжены друг с другом.
Возможные последствия
Последствием аномалии является неправильная работа зубочелюстного аппарата и дисфункция некоторых органов, в частности, желудочно-кишечного тракта, артикулярного аппарата, системы дыхания.
У человека, не предпринимающего никаких действий, возможно развитие следующих патологий и нарушений:
- Дисфункция системы пищеварения из-за плохого пережевывания пищи.
- Неправильные условия работы височно-нижнечелюстного сустава (смещение суставной головки), что может отрицательно сказываться не только на работе зубочелюстного аппарата, но и вызывать головную боль, нарушать работу шейного отдела позвоночника.
- Травмирование слизистой оболочки верхней десны (межзубных сосочков) выступающими нижними единицами. Это в свою очередь может привести к стоматиту, длительному травмированию мягких тканей и даже к их малигнизации (озлокачествлению).
- Нарушение речи и дыхания (ротовое вместо носового) из-за дизокклюзии. Ротовое дыхание приводит в свою очередь к воспалению верхних и нижних дыхательных путей и ЛОР-органов.
- Патологическое истирание и, как следствие, развитие кариеса выдвинутых зубов.
Форма зубов
Существует множество видов аномалий форм зубов, но среди них выделяют несколько наиболее распространенных: зубы Гетчинсона, зубы Пфлюгера, шиповидные, зубы Фурнье.
Предпоследний вид имеет нестандартную особенность — шиповидную форму видимой части зуба, напоминающую конус или шип. Чаще всего такой вид имеют сверхкомплектные зубы, а также боковые и центральные резцы. Все остальные крайне редко вырастают такими.
Зубы Гетчинсона чем-то напоминают форму отвертки или бочки. Это означает, что шейка зуба значительно крупнее, чем его режущий край, а еще по этому краю проходит выемка в форме полумесяца. Такими чаще всего вырастают верхние центральные резцы. Такой же внешний вид имеют зубы Фурнье, но у них отсутствует выемка.
Зубы Пфлюгера. Здесь шейка преобладает по размерам над жевательной поверхностью больших коренных зубов, которые в ряду стоят первыми. А также здесь наблюдается недоразвитие бугров на шестерках.
Если одна из этих аномалий была выявлена, то врач рекомендует провести протезирование больных зубов или же надеть на них виниры. А также можно просто удалить зубы неправильной формы и установить на их места протезы. В некоторых случаях допускается реставрация зубов.
Общее понятие
Супраокклюзия или высокое положение (англ. Supra означает «выше») – это такое расположение зуба, при котором его жевательная или режущая поверхность располагается выше окклюзионной плоскости.
Высокое положение элементов в ряду является антагонистическим по отношению к инфраокклюзии – расположению верхних поверхностей зубов ниже окклюзионной плоскости. Чаще всего в супраокклюзии оказываются резцы и первые премоляры, реже – клыки.
На верхней и нижней челюсти аномалия проявляет себя по-разному. Верхнечелюстные зубы оказываются как бы «утопленными» в десну, поэтому их режущая и жевательная поверхность не доходит да окклюзионный плоскости.
Нижнечелюстные элементы, напротив, выдвинуты на бо̀льшую, по сравнению с нормальным положением, величину. Верхняя часть их клинических коронок пересекает окклюзионную плоскость.
В соответствии с этими особенностями супраокклюзия проявляет себя открытым прикусом боковых зубов и глубоким– фронтальных.
Супраокклюзию нужно отличать от феномена Попова-Годона, при котором зубы выдвигаются вверх из-за отложения кости на дне альвеолы. При этом их клиническая коронка оказывается больше нормы.
При рассматриваемой аномалии выдвижение элементов подвижной челюсти происходит из-за чрезмерного развития альвеолярного гребня в их области (зубоальвеолярного удлинения), недовыдвижение верхнечелюстных зубов – из-за недоразвития альвеолярного отростка (зубоальвеолярного укорочения). При этом высота клинической коронки остается в пределах нормы.
Что такое инвагинация зуба, и насколько опасна аномалия.
Заходите сюда, если интересует, насколько перспективно лечение смещения средней линии зубов.
По этому адресу https://orto-info.ru/zubocheliustnye-anomalii/ryadov/chto-skeletnaya-opora.html все самое важное о скелетной опоре в ортодонтии.
Структура твердых тканей
Сюда входит два вида гипоплазии (локальная и генерализованная), гиперплазия, амелогенез и дентиногенез:
- Начать, пожалуй, стоит с гипоплазии. Она проявляется в виде различных пятен, которые располагаются симметрично, ямок и бороздок, что появляются на коронковой части зуба. Такие дефекты не появляются на отдельных зубах, а затрагивают абсолютно все ряды. Довольно часто сочетаются с аномалиями формы зубов, их положения, размеров и цвета.
- Гиперплазия – это лишние бугорки, которые могут возникать на жевательной поверхности зуба, а также эмалевые капли.
- Бывает так, что на зубах появляется пигментация желтого или коричневого цвета – это несовершенный амелогенез. При нем также значительно уменьшается толщина эмали, сильно повышается чувствительность зубов к холодному и горячему. Эта аномалия довольно часто появляется одновременно с микродентией. Вылечить эту патологию можно. Для этого пациенту необходимо принимать различные поливитамины и микроэлементы, крайне нуждается организм в этот период в глицерофосфате кальция. Можно также провести реминерализующую терапию.
- И несовершенный дентиногенез, когда происходит нарушение в развитии дентина постоянных и молочных зубов. При такой аномалии зубы становятся янтарно-желтыми или же серовато-коричневыми. За короткий период они стираются, могут быть полностью разрушены. Решить проблему можно, установив коронки или виниры, некоторые специалисты предлагают провести дентальную имплантацию.
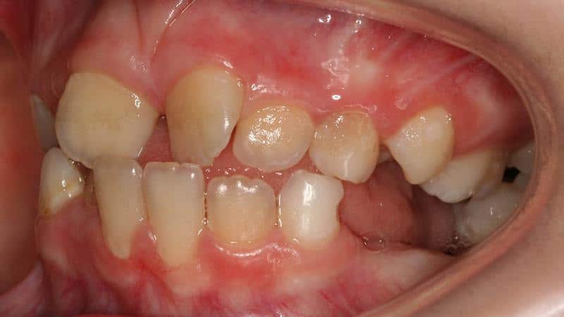
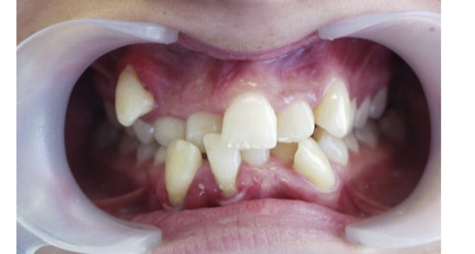
Аномалии положения зубов
Это самые тяжелые и серьезные отклонения. При такой аномалии, зубы обычно занимают неправильное положение, причем происходит это не только вне зубного ряда, но и внутри него. Различают сразу несколько видов неправильного положения зубов:
- Дистальное положение. В этом случае зуб сильно смещается назад из зубного ряда.
- Мезиальное положение. В этом случае зубы, наоборот, сильно выпадают вперед.
- Вестибулярное положение. Так говорят в том случае, когда зубы располагаются близко к губам или щекам, в зависимости от их вида.
- Оральное положение. В данном случае практически все зубы сильно смещаются вглубь полости рта.
- Супраположение. Здесь зубы могут быть расположены аномально выше окклюзионной кривой, а также значительно ниже нее, но в этом случае аномалия получит название – инфраположение.
- Тортоаномалия. Один или несколько зубов могут быть развернуты вдоль вертикальной оси. Если некоторые зубы меняются местами, то это называется транспозицией.
Устранить все эти аномалии может врач-ортодонт. Сделать это не так сложно. Современные брекет-системы и ортодонтические аппараты творят настоящие чудеса за короткое время.
Консервативное лечение
Аномалия может исправляться и консервативными методами. Часто для этого успешно задействуют брекет-систему. На первой стадии развития патологии используется никель-титановая дуга с минимальным сечением. Потом вместо неё ставят более толстый аналог. На последних стадиях уже применяют эластичную цепочку прямоугольной формы. Брекеты дают хороший результат, но их ношение обычно сопровождается дискомфортными ощущениями.
Для исправления одного зуба можно использовать композитные материалы:
Эластопозиционеры используются лишь в случае небольшого отклонения. Их можно охарактеризовать как двухчелюстные капы с каналами для зубов и лабиальными дугами. Стабилизация работы мышц выступает дополнительной функцией. Пластины нужно надевать перед сном и носить в дневное время на протяжении двух часов.
Если патология возникла вследствие чересчур узкой челюсти, в исправлении дефекта может помочь петля Коффина. У корректировочной части полукруглого приспособления две дуги (для внутреннего и внешнего зубного ряда), давящие на искривлённые единицы и заставляющие их разворачиваться в необходимую сторону. Концы расположены на альвеолярном гребне. Цель аппарата — расширить челюсть.
Моноблок с петлёй Коффина

Прибор Энгля. Основной элемент приспособления — пружинная дуга, стягивающая зубы. Она может быть стационарной, скользящей или экспансивной. Выбор конкретной системы зависит от вида аномалии. Посредством этого прибора можно вернуть в нормальное положение как один зуб, так и несколько.
Аппарат Энгля
Цвет зубов
Каждый зуб имеет свои оптические характеристики, в число которых включены цвет, прозрачность и блеск эмали. Считается нормой, если зубы имеют оттенки от бело-голубого до желтого. Причем голубоватая эмаль более хрупкая, в отличие от желтоватой, которая славится своей прочностью.
Если в ротовой полости имеются патологии, то может изменяться цвет зубов. Они могут становиться розовыми, серыми, коричневыми, коричнево-черными и даже абсолютно черными. Такая пигментация может проявляться в виде небольших пятен на эмали, а может иметь диффузный характер.
Прежде чем бороться с аномалией цвета зубов, необходимо установить причину ее появления. Поскольку в некоторых случаях есть необходимость коррекции системных нарушений. Лечение начинается с того, что специалист проводит профессиональную гигиену всей полости рта, могут применяться различные способы отбеливания зубной эмали.
Диагностика
Чтобы выяснить природу аномалии коренных зубов, порой приходится обращаться к различным специалистам, которые не имеют отношения к стоматологии. Это может быть эндокринолог, педиатр, отоларинголог и врач-генетик. Диагностика аномалии зубов проводится только под контролем различных специалистов из области стоматологии: врач-ортодонт, пародонтолог, стоматолог-хирург, имплантолог. Здесь проводится клиническое обследование, изучается полость рта, осматривается лицо пациента. Но кроме этого необходимо провести ряд дополнительных исследований. Снимаются слепки с зубов, чтобы с помощью гипсовых моделей можно было досконально изучить характеристику зуба, челюсти и только после этого начать лечение аномалий зубов.
Проявления нарушения
Аномалия не имеет ярко выраженной симптоматики. Она проявляется лишь поворотом зубов вокруг оси. Часто стоматологи сталкиваются с легкой стадией тортоаномалии. В таком случае угол проворачивания всего 45 градусов.
Такое нарушение не очень серьезное и к главной проблеме в таком случае относится только эстетический аспект. Многих пациентов беспокоят не болевые ощущения, а косметическая составляющая.
При серьезном развороте резцов и клыков могут травмироваться слизистые рта. Это может привести к появлению стоматита. Но даже в таких случаях никаких острых проявлений аномалия не имеет.
Профилактика
Современные методы лечения позволяют избавиться практически от любой аномалии и сохранить красивую и здоровую улыбку на долгие годы. Но чтобы не тратить время и деньги на лечение, можно попробовать провести профилактические меры, чтобы не спровоцировать развитие аномалий зубов.
Профилактику эту нужно начинать еще с того момента, когда ребенок находится в утробе матери. Необходимо окружать малыша заботой и вниманием, следить за своим состоянием, меньше нервничать, правильно питаться и кормить рожденного ребенка едой, которая предназначена именно для его возраста. При обнаружении любых эндокринных нарушений необходимо проводить их немедленную коррекцию. И конечно, регулярно ходить на осмотр к стоматологу, чтобы своевременно проводить лечебные мероприятия и не доводить зубы до того состояния, когда они уже не подлежат лечению.
Отзывы
Тортоаномалия – патология, несущая большой дискомфорт человеку. А ее лечение — сложный и поэтапный процесс.
Если вы сталкивались с подобной проблемой, поделитесь с нами своими впечатлениями по поводу методов коррекции, использования ортодонтических систем и эффективности процедур.
Если вы нашли ошибку, пожалуйста, выделите фрагмент текста и нажмите Ctrl+Enter.
Теги исправление прикуса прикус
Понравилась статья? Следите за обновлениями
Нет комментариев
Уход за полостью рта
Есть несколько основных правил, соблюдая которые, можно иметь здоровые и красивые зубы на протяжении долгих лет.
- Зубы необходимо чистить не меньше двух раз в день и при этом использовать зубную пасту с содержанием в ней фтора. Это вещество отлично борется с зубным налетом, который часто становится причиной образования кариеса.
- Необходимо ежедневно пользоваться зубной нитью. С ее помощью можно удалять зубной налет, который скапливается в межзубном пространстве. Если не сделать этого вовремя, то он превратится в зубные камни.
- Есть поменьше пищи, в которой содержится большое количество сахара и крахмала.
- Даже если вас ничего не беспокоит, необходимо регулярно ходить к стоматологу, чтобы исключить наличие повреждений на поверхности зубов.
Соблюдая все эти несложные правила, вы будете иметь красивую улыбку и здоровые зубы.
Особенности диагностики аномалий зубных рядов
Диагноз ставится, даже если зуб развернут всего на несколько градусов вокруг оси. К небольшой степени относят случаи разворота на угол до 45°, а к значительной — все остальные. Максимальный угол разворота зубной коронки составляет 180°.
Для диагностики и разработки программы коррекции патологии пациенту могут быть назначены:
- рентгенограмма проблемной области;
- ортопантомограмма, позволяющая оценить качество тканей;
- антропометрический анализ, в ходе которого по специально подготовленным моделям челюстей пациента определяют параметры компонентов его зубочелюстной системы и анализируют их соотношение.
Диагностика позволяет выявить причину образования тортоокклюзии и разработать лечебную программу, соответствующую степени ее выраженности и состоянию дентальных тканей. При развороте зубов на 10–20° прибегают к выравниванию зубов брекетами, трейнером или пластинкой. Когда угол составляет 20–40°, используют специальные ортодонтические аппараты на основе пружинящей дуги и эластичных колец. В еще более сложных случаях ортодонтическое лечение сочетают с хирургическим.




























