10 апреля 2020 Последняя редакция: 25 ноября 2020 Исправление прикуса
Красивые и ровные зубы не только украшают их владельца, но и придают уверенность в собственной привлекательности и успешности. Различные аномалии прикуса часто служат причиной всевозможных «комплексов» у людей разного возраста. Но самыми неприятными последствиями таких нарушений являются многочисленные негативные последствия для здоровья их обладателей. Полезную информацию о том, что представляет собой мезиальный прикус, как он проявляется, о методах диагностики и лечения данной патологии, а также о профилактике его возникновения вы узнаете ниже.
Диагностика проблемы
Правильный и вовремя поставленный диагноз – залог успешного лечения.
Признаки неправильного прикуса:

- подбородок выступает вперед;
- верхние зубы перекрыты нижними;
- более развита нижняя челюсть, чем верхняя;
- нижняя губа увеличена в размерах, а верхняя растянута;
- очень выраженный носогубный треугольник;
- нижняя часть лица короче нормы.
Причины
Мезиальный прикус формируется при чрезмерно развитой нижней челюсти, недоразвитой верхней челюсти или же сочетании этих двух аномалий. На это влияют различные группы факторов:
Генетические
20-40% аномалий возникают именно из-за наследственной предрасположенности.
Врожденные:
- некоторые заболевания беременных;
- родовые травмы;
- микродентия (уменьшение зубов в размерах);
- сверхкомплектные нижние зубы (их количество превышает норму);
- первичная частичная или множественная адентия верхней челюсти (отсутствие зубов);
- короткая уздечка языка;
- недоразвитие (гипоплазия) межчелюстной кости у плода;
- макроглоссия (аномально большой язык).
Приобретенные:
- искусственное вскармливание;
- ротовое дыхание (из-за болезней ЛОР-органов);
- вредные привычки (сосание пальцев, верхней губы или предметов; привычка подпирать подбородок рукой в сидячем положении);
- позднее прорезывание верхних зубов;
- раннее прорезывание нижних зубов;
- неравномерное стирание молочных зубов одного ряда;
Функциональные нарушения при данной патологии прикуса
Анатомические нарушения при данной патологии часто приводят к целому ряду не только внешних, но и функциональных изменений со стороны челюстного аппарат. Сюда относятся такие отклонения, как ограничение движения в челюстных суставах, особенно в боковых направлениях.
Частой особенностью у людей с данной аномалией прикуса также является увеличение языка из-за ускоренного роста нижней челюсти. Ухудшение качества откусывания и пережевывания пищи может приводить к различным недугам в работе пищеварительной системы.
Кроме того, часто встречающаяся у данной категории пациентов недоразвитость некоторых лицевых мышц, способствует возникновению различных дефектов речи. Плохо и то, что неравномерное распределение пищевой нагрузки часто приводит к преждевременному изнашиванию пародонта, появлению пародонтоза и потере зубов.
Данный вид патологии прикуса серьезно усложняет протезирование и имплантацию зубов. Вот к таким множественным нарушениям в организме приводит изменение одного лишь неправильного прикуса.
Лечение мезиального прикуса
Мнение о том, что прикус можно исправить только в раннем возрасте ошибочно. Взрослый человек также может обратиться за помощью к специалисту. Способы исправления прикуса разнообразны.
Это:
- виниры;
- брекеты;
- хирургическое вмешательство.
Исправление мезиального прикуса – это процесс долгий, именно поэтому ортодонты рекомендуют озаботиться решением этой проблемы в детском возрасте (до 12-ти лет). Обязательно ли исправлять прикус? Не стоит легкомысленно относиться к здоровью зубов.
Самые частые последствия не исправления прикуса:
- раннее стирание эмали зубов и их разрушение;
- нарушения в области ЖКТ (еда не переваривается должным образом);
- частые головные боли;
- звон в ушах.
Некоторые специалисты отмечают, что людям с такой патологией свойственна повышенная нервозность.
Последствия
Мезиальный прикус – патология, сказывающаяся не только на эстетике улыбки. Среди последствий не исправленного своевременно прикуса встречаются:
- нарушение жевательной функции (как следствие – проблемы с ЖКТ из-за попадания в желудок крупных плохо прожеванных кусков пищи);
- заболевания пародонта (тканей, окружающих зубы);
- сложности при протезировании (в том числе и имплантации);
- истирание эмали верхних зубов;
- дисфункция височно-нижнечелюстного сустава (проявляется болями в ушах, шейном отделе позвоночника, при открывании рта суставы издают хруст).
Упражнение для исправления мезиального прикуса
Как исправить мезиальный прикус в домашних условиях? Это можно сделать, с помощью специальных упражнений. Выполнять их нужно утром и вечером.
Миогимнастика при мезиальном прикусе дает хороший результат в детском возрасте:
- Очень широко открыть рот. Закрыть несколькими ритмичными движениями
- Кончик языка касается нёба и максимально проталкивается назад. В этой позиции нужно несколько раз открывать и закрывать рот
- Локти опереть на стол или другую устойчивую поверхность. Подбородок расположить на ладонях. Открывать и закрывать рот, двигая головой, а не нижней челюстью
- Далее нужно повторить первое упражнение.
- Надавливать концом языка на область верхнего неба пока мышцы не заболят. Максимальная продолжительность – пять минут.
- Голову слегка запрокинуть и ритмично открывать и закрывать рот. Когда рот закрыт нужно стараться концом языка достать до задней небной области
- Нижняя губа подтягивается под верхнюю челюсть на несколько секунд затем плавно опускается
Каждый этап нужно повторить от пяти раз. Кроме того, челюстные мышцы должны постоянно нагружаться. Для этого подходит употребление фруктов и овощей с твердой структурой. Конечно такая гимнастика не дает 100% гарантии излечения, и носить больше профилактический характер. Прежде чем заниматься гимнастикой дома, проконсультируйтесь со своим стоматологом.
Способы коррекции
Выбранная методика лечения аномального прикуса зависит от возраста больного. Это объясняется особенностями строения костных структур у детей и взрослых.
В целом имеется несколько эффективных способов борьбы с дефектом:
- Миогимнастика. Методика назначается для лечения мезиального прикуса у детей до 6 лет. Специальные упражнения направлены на укрепление мышц ротовой полости и головы, которые отвечают за процесс жевания. Миогимнастика рекомендуется в составе комплексной терапии.
- Ортодонтические системы. Коррекция прикуса осуществляется за счет использования фиксирующих устройств – пластин, кап или брекетов. На отдельных участках челюсти ортодонтическая терапия может дополняться хирургическим вмешательством.
- Оперативный способ. Операция назначается как на отдельных элементах зубного ряда, так и на подвижной кости. Методика дает лучший результат по сравнению с перечисленными способами лечения.
- Комплексный подход. Врач назначает последовательный комплекс процедур, позволяющих исправить недостатки прикуса.
Сюда входит коррекция питания, отказ от вредных привычек, ношение ортодонтических конструкций, выполнение специальных гимнастических упражнений. В тяжелых случаях комплексную терапию дополняют хирургическим вмешательством.
Ортопедический метод. В некоторых случаях для решения проблемы не обойтись без реставрации отдельных элементов зубного ряда.
Лечение у детей
До 10 летнего возраста детям назначается стандартная схема терапии, включающая в себя:
- ношение ортодонтических аппаратов;
- подрезание языковой уздечки;
- миогимнастику;
- использование вестибулярных пластин;
- массаж альвеолярных отростков челюсти.
Костные структуры детей податливы к различным корректирующим манипуляциям, поэтому у них терапия мезиального прикуса происходит проще и быстрее.
Для коррекции аномалии у детей используют следующие устройства:
- трейнеры;
- капы;
- активатор Вундерера;
- аппарат Брюкля;
- шапочки с фиксатором на челюсти;
- устройство Персина;
- стимулятор Френкиля.
При появлении у ребенка постоянных зубов корректирующие пластины и аппараты заменяют брекетами. Установка таких систем – дорогостоящая процедура, но она дает заметные результаты через 1,5—2 года после лечения.
Вместе с ортодонтической терапией детям рекомендовано проводить занятия с логопедом для исправления дефектов речи.
При мезиальном прикусе эффективна гимнастика для мышц лица и челюсти. Основное условие при проведении миогимнастики – регулярность занятий, постепенное увеличение нагрузки, прекращение упражнений при появлении усталости.
У подростков борьба с проблемой ведется при помощи установки брекет-систем. Реже врачи назначают комплексное лечение, например, когда существует необходимость удаления или восстановления нескольких элементов зубного ряда.
Лечение у взрослых
После установки ортодонтических конструкций взрослые нередко ощущают боль и дискомфорт в области зубов, мышц и суставов челюстей.
После 18—19 лет костные структуры практически не поддаются коррекции. По этой причине выбор способов борьбы с проблемой ограничен.
Лечение проводится по двум схемам:
- Консервативная методика, включающая в себя ношение съемных или несъемных корректирующих конструкций.
- Хирургическая операция (от удаления нескольких элементов зубного ряда до рассечения костных тканей с целью их дальнейшего перемещения в нормальное анатомическое положение).
Терапия брекет-системами у взрослых продолжается около 2 лет. Эти конструкции дают заметный результат. Брекеты назначают для устранения различных патологий прикуса, в том числе и прогении.
Современная методика исправления дефектов прикуса – эджуайз-техника. Смысл процедуры заключается в установке на опорные единицы ортодонтических конструкций, имеющих кольца и замки. К передним резцам прикрепляют брекет-системы с закругленными дугами.
Хирургическое вмешательство выполняется в 3 этапа:
- Подготовительный период (прохождение диагностических мероприятий, консультация с анестезиологом, моделирование челюстей в 3D изображении).
- Операция.
- Реабилитационный период.
Во время операции хирург рассекает кости челюсти и перемещает их в необходимое положение при помощи винтов. Завершающим этапом остеотомии считается наложение шины.
В этой публикации мы расксажем, в каких случаях целесообразно назначать миогимнастику.
Лечение у взрослых
Исправить патологию у взрослых труднее, чем у детей, но благодаря прогрессированию стоматологии, нет ничего невозможного. Во взрослом возрасте прибегают к ортодонтическому лечению с помощью брекет-систем, лечебно-профилактическим упражнениям и оперативному вмешательству. Рассмотрим подробнее каждый метод в отдельности.
С помощью брекетов
Брекет-система – эффективный способ борьбы с неправильной окклюзией. Конструкция состоит из скоб, которые прикреплены к зубам с помощью специального клея. Под воздействием дуги зубы занимают требуемое положение.
Ношение и уход
Видимого положительного результата можно добиться при ношении аппарата около 20 часов в сутки. В течении 7 дней после установки рекомендуется носить конструкцию не снимая, круглосуточно.
Затем ее можно извлекать только на время выполнения гигиенических процедур и приема пищи. Заметный эффект будет, если в течение 10 часов дополнительно носить внеротовую тягу.
Устройство имеет сложную конструкцию, которая способствует скоплению бактериального налета. Поэтому во время лечения следует особое внимание уделять уходу за полостью рта, выполняя следующие рекомендации:
- устройство необходимо очищать с помощью зубной щетки и без абразивной пасты не менее 2 раз в сутки;
- обязательно нужно проводить антибактериальную обработку. С помощью классического асептического средства аппарат обрабатывают 1 раз в день, с помощью концентрированного препарата – 1 раз в неделю, оставляя в нем на 6 часов;
- хранят устройство только в специальных контейнерах.
Мезиальный прикус у ребенка
Неправильный мезиальный прикус у ребенка – это редкая патология, и скорректировать ее сложнее чем открытый вид прикуса.
Как исправить мезиальный прикус у ребенка? Для лечения этой патологии применяют комплекс методик консервативного направления. Исправление мезиального прикуса у детей постарше, включает использование аппаратной и хирургической методики.
Мезиальный прикус у ребенка в 1 год лечится специальной гимнастикой под контролем врача-стоматолога. С 5 до 9 лет используется подбородочная праща с тягой из резины. Кроме пращи, применяются и внутриротовые конструкции различного типа.
Цель терапевтического вмешательства – уменьшить развитие челюсти и ее смещение. С десяти лет устанавливаются системы с брекетами или капами.
Какие причины формирования и методы коррекции мезиальной окклюзии?
Окклюзией в стоматологии называют контакт между челюстями. Аномалия, когда нижняя челюсть заметно больше верхней и выдается вперед, называется мезиальная окклюзия. Она сопровождается как внешними, так и функциональными изменениями челюстно-лицевого аппарата.
Признаки и классификация
Патологию называют также прогеническим, или обратным прикусом. Его основные визуальные проявления:
- нижние зубы перекрывают верхние;
- губа выпячивается вперед;
- под носом образуются складки;
- подбородок кажется сглаженным.
Вертикальное взаимоотношение рядов может быть разным – от глубокого прикуса (верхний перекрывает нижний) до открытого, когда челюсти не смыкаются. Для патологии характерно увеличение челюсти, тогда как положение единиц в ряду правильное – в отличие от протрузии или ретрузии (соответственно наклон зубов вперед и латерально). Противоположная патология – дистальный прикус, когда верхние зубы перекрывают нижние.
Мезиальная окклюзия — это когда нижняя челюсть выдвинута вперед.
Мезиальная окклюзия ухудшает не только эстетику лица, но и состояние здоровья. Развиваются заболевания пародонта, возникает боль в височно-нижнечелюстном суставе, нарушается пищеварение из-за недостаточного пережевывания пищи.
Существуют три разновидности аномалии – истинная, ложная, комбинированная.
- Истинная мезиальная окклюзия заметна внешне с раннего детства. Аномалия обуславливается генетическими факторами или нарушениями внутриутробного развития.
- Ложная прогения имеет приобретенный характер. Она формируется из-за постоянного неправильного положения нижней челюсти, вредных привычек, хронических воспалительных процессов.
- Комбинированный тип сочетает признаки двух предыдущих видов.
Проблема может возникнуть из-за несвоевременного прорезывания зубов.
Причины
Существует целый комплекс причин, по которым развивается патология:
- Наследственность, пороки внутриутробного развития. На развитие челюстей негативно влияют внутриутробные инфекции, неправильное питание матери, применение во время беременности препаратов, обладающих токсическим действием.
- Несвоевременная смена зубов — ранняя или поздняя.
- Вредные детские привычки — сосание пальцев, подкладывание кисти под голову, жевательная нагрузка на одну сторону.
- Сон на высокой подушке, вызывающий ослабление мышц.
- Болезни костной системы.
- Хронические ЛОР-заболевания. Так, одним из предрасполагающих факторов называют увеличение миндалин, препятствующее нормальному прохождению воздуха, вследствие чего ребенок инстинктивно выдвигает челюсть при дыхании.
К формированию мезиального прикуса может привести сосание пальца.
Как лечить мезиальный прикус?
Лечебные мероприятия направлены на решение одной из задач – сдерживание роста нижней челюсти или стимулирование роста верхней. В связи с возрастными особенностями развития мезиального прикуса лечение у детей и взрослых различается.
Методы устранения патологии у детей
Исправить мезиальную окклюзию помогают следующие методы:
- Использование специальных устройств – например, аппарата Френкеля, который воздействует на отдельные мышцы, нормализуя окклюзионное соотношение.
- Брекеты, которые нужно носить 1,5-2- года, применяются при появлении постоянных зубов.
- Миогимнастика – комплекс упражнений, направленных на восстановление функций мышц ротовой полости. Гимнастика эффективна в возрасте до 6 лет. Комплекс состоит из нескольких простых упражнений, которые нужно выполнять дважды в день. Применяется для лечения истинной прогении.
- Пластика уздечки – требуется, когда причиной аномалии становится короткая уздечка, задерживающая рост верхней челюсти.
- Ношение ортодонтической маски – рамки, крепящейся на точках опоры (лбу и подбородке) для оказания давления на кость. Носить ее нужно на протяжении 3-4 месяцев не менее 10 часов в день.
- Стоматологические процедуры. Если причиной дефекта стало неравномерное истирание зубов, врач восстанавливает их коронками или подтачивает остальные единицы.
Чем раньше будет начато лечение, тем выше шансы на его успешный результат и полное исправление прикуса к взрослому возрасту.
Исправить неправильный прикус у детей и подростков можно при помощи брекетов.
Особенности лечения мезиального прикуса у взрослых
После 16 лет кости поддаются коррекции с трудом, поэтому способы, направленные на замедление роста челюсти, неэффективны. Исправление мезиального прикуса у взрослых предполагает применение следующих методов:
- Консервативный – ношение брекет-систем.
- Хирургический. Иногда для того, чтобы челюсть заняла правильное положение, достаточно удаления нескольких зубов. Если этот метод не помогает, мезиальный прикус корректируется операцией. Это сложная процедура, предполагающая использование не туберальной, а общей анестезии. Существует несколько видов оперативного вмешательства – перемещение сегмента челюсти, рассечение кости с изменением позиции подбородка и другие.
Чтобы свести к минимуму возможность развития аномалий прикуса, нужно соблюдать меры профилактики:
- Грудное вскармливание или правильный подбор соски при искусственном. Кормление должно занимать не меньше двадцати минут. Ребенок наедается в первые 5-6 минут, но остальное время необходимо для укрепления мышц челюсти при сосании.
- Отучение малыша от вредных привычек.
- Контроль над осанкой и позой ребенка во время сна. К развитию прогении приводят кифоз, высокая подушка, частый сон на животе.
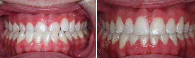
Фото до и после коррекции.
Раннее обращение к ортодонту позволит устранить дефект без использования неудобных конструкций, не прибегая к хирургическому вмешательству.
- Головко Н.В. Ортодонтические аппараты. Полтава, 2002.
- Персин Л.В. Ортодонтия. Лечение зубочелюстных аномалий. Москва, 1998.
Описание
Среди неспециалистов такое нарушение типа прикуса называется просто « мужественный подбородок». Профиль в этом случае очень специфический. Если нарушения не слишком серьезны, то для мужчин это проблемой, которая мешает нормальному общению, не является.
А вот женщины испытывают гораздо большие неудобства. К тому же все это чревато серьезными осложнениями в плане здоровья, что не может не вызывать опасений.
Распространение
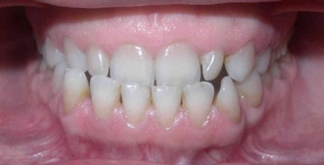
Фото: Мезиальный прикус
Этот вид патологии встречается намного реже, чем другие, например, дистальный прикус. Однако это верно, если говорить о взрослых людях. У детей наблюдается обратная тенденция. О редкости этого явления говорит и статистика. Часть его среди всех остальных аномалий зубочелюстного аппарата всего от 2 до 6%.
В некоторых случаях возможно одновременное появление признаков прогении и других подобных явлений. В частности, описывается сочетание открытого или перекрестного прикуса с мезиальным.
Другие названия
Специальная медицинская литература определяет аномалию, называемую мезиальным прикусом, как нижнюю прогнатию или прогению. Также можно встретить и другие обозначения, например, прогенический или антериальный прикус, 3-й класс смыкания по Энглю. Все эти термины описывают одну и ту же патологию.
Цены
Для примера приведем несколько видов услуг – операций, лечения мезиального прикуса с ценами, которые наиболее распространены.
- Ортодонтические методики в зависимости от конкретного вида могут стоить от 3 до 12 тысяч рублей.
- Цена на брекеты также зависит от вида и сложности. Она может колебаться в больших пределах – от 30 до 300 тысяч.
- Стоимость пластических операций на челюсти – от 90 тысяч рублей.
- Удаление зубов также оценивается по отношению к сложности – от 900 рублей до 3–5 тысяч.
Симптомы
Визуальные проявления мезиального прикуса можно распознать по «сердитому выражению лица»:
- выдающемуся вперед подбородку (так называемому «мужественному подбородку»);
- выдвинутой нижней губе (нередко она увеличивается в размерах);
- запавшей верхней губе (со временем становится плоской и растянутой);
- зияющей ротовой щели – открытому прикусу (симптом проявляется относительно редко);
- вогнутому профилю лица.
В ротовой полости при прогении проявляются следующие аномалии:
- обратное резцовое перекрытие (нижние зубы находятся впереди верхних) или прямая окклюзия (стык верхних и нижних зубов);
- медиальная ступень при смыкании жевательных зубов (бугорки зубов верхней челюсти заходят в фиссуры зубов нижней челюсти);
- оральный наклон нижних зубов (они «смотрят» в полость рта);
- щели между зубами и тремы (большие промежутки соответственно между передними и всеми остальными зубами);
- дистопия (неправильно положение зубов);
- скученное положение зубов.
К функциональным нарушениям относятся такие симптомы:
- речевые дефекты;
- нарушение жевательной функции (трудно кусать и жевать пищу).
Виды
Классификация данной аномалии основана на размерах и положении челюстей:
1. Чрезмерное развитие нижней челюсти (макрогнатия):
- при нормальных размерах верхней челюсти;
- при недоразвитии или дистальном (выдвинутом вперед) положении верхней челюсти.
2. Выступание нижней челюсти вперед (прогнатия):
- при увеличении базального отдела нижней челюсти;
- при увеличении подбородочного отдела нижней челюсти.
3. Недостаточное развитием верхней челюсти (микрогнатия).
4. Смещение верхней челюсти назад (ретрогнатия).
5. Комбинация перечисленных патологий.
На ряду с видами мезиального прикуса выделяют так же и его формы:
- истинный — выпирание нижней челюсти из-за генетических или врожденных факторов;
- ложный — развивается на фоне постоянного неверного положения нижней челюсти;
- комбинированный — обусловлен как генетическими, так и приобретенными причинами.
Профилактика
Действенное значение в предупреждении аномалий прикуса имеют следующие вовремя принятые меры:
- Грудное вскармливание новорожденного.
- Своевременное выявление и лечение заболеваний, которые могут привести к развитию аномалии.
- Наблюдение за ростом и развитием молочных зубов ребенка. В случае появления признаков каких-либо нарушений незамедлительное обращение к стоматологу.
- Обеспечение ребенку здорового сна и положения его тела в постели.
- Профилактика сколиоза и своевременная коррекция.
- Своевременное отучение ребенка от пустышки и других вредных привычек.
Читать также: Шатается зуб после удара Стоимость ортодонтических конструкций зависит от материала и страны-изготовителя.
Написать комментарий
-
Полина
4 апреля 2020 в 0:59
Не ожидала я, что к тридцати годам столкнусь с проблемой плохого прикуса и необходимостью исправлять его брекетами. Хочется спросить, куда же смотрели стоматологи лет так двадцать назад. А теперь взрослую даму склоняют одеть брекеты, ассоциирующиеся к подростками. Но прочитав статью, я поняла что не исправив прикус, я не решу проблему преджевременного истирания верхнего ряда зубов (я то все раньше думала, почему так часто пломбы хожу менять). Да и мигрени скорее всего связаны с прикусом. Теперь останется изучить что за зверь такой брекет и с чем его едят, а главное сколько он стоит.
-
Ольга
9 мая 2020 в 0:21
Я и не думала, что проблема с прикусом может повлечь за собой массу серьезных заболеваний. Мы столкнулись с этим на приеме стоматолога. Племяннику посоветовали поставить брекеты. Довольно дорогое удовольствие. Из за неправильного питания (он старается что нибудь погрызть ) постоянно обращаемся к врачу за помощью.
-
Михаил
26 сентября 2020 в 8:32
Знаю о проблеме не понаслышке. Такой прикус у моей племянницы. В детстве дразнили, но, как тогда казалось родителям, особых причин для беспокойства не было. А вот годам к 14 нижняя челюсть стала настолько выделяться, что просто кошмар. Хорошо, что в этом возрасте вмешательство ортодонта всё ещё достаточно эффективно. Челюсть достаточно сильно «задвинули», девушка теперь — загляденье.
-
Ольга
5 января 2020 в 6:31
Мне 39 лет и у меня мезиальный прикус ,становиться всё хуже и хуже,нарушается речь.Как хирургически это решить у нас в городе Кемерово?Заранее благодарна


























