
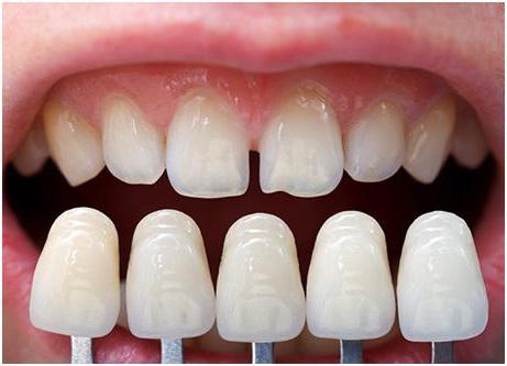
Металлокерамика, преимущества и недостатки
Металлокерамические протезы используются в стоматологии уже много лет. Они представляют собой каркас из металлических сплавов с облицовкой из керамики. При этом цвет эмали искусственного зуба подбирается таким образом, чтобы он был неотличим от соседей.
Классифицируют металлокерамические коронки в зависимости от:
- Материала каркаса: кобальт-хромовый сплав (является самым популярным)
- хромо-никелевый сплав
- золото-платиновый сплава
- Материал керамики: высокотемпературная керамика
У коронок из металлокерамики есть неоспоримые плюсы. Во-первых, это доступная цена. В среднем по Москве стоимость одной единицы составит от 7 000 рублей. Во-вторых, это высокая прочность конструкции, что позволяет без опасений использовать их для жевательных зубов.
Не будем умалчивать о минусах. С эстетической точки зрения такие коронки могут проигрывать чисто керамическим и тем, что сделаны из диоксида циркония – металл основы немного просвечивает. Также на такие коронки возможно возникновение аллергических реакций. И последнее, не менее существенное, велика вероятность окисления края коронки, в результате чего будет видна синяя полоска у основания зуба.
Основные отличия циркониевых коронок от металлокерамических
Чтобы понять, диоксид циркония или металлокерамика – что лучше, приводим сравнительные характеристики для следующих аспектов:
- Обточка зуба. Металлический каркас, придающий прочность металлокерамической коронке, требует значительной обточки зуба. В случае использования коронок на основе диоксида циркония, который обладает высокой прочностью, обточка зуба минимальна. В цифрах – толщина колпачка из диоксида циркония – 0,3 мм, а из металлического сплава – 0,6 мм, т.е., в случае применения диоксида циркония с двух сторон с зуба снимается на 0,6 мм костной ткани меньше;
- Светопроницаемость. Металлокерамические коронки не обладают прозрачностью, свойственной тканям живого зуба. Диоксид циркония, напротив, имеет хорошую светопроницаемость. Сделанные из него коронки выглядят естественно и неотличимы от «родных» зубов. Даже в ультрафиолетовом свете (в ночном клубе) ничто не выдаст секрет новой улыбки;
- Аллергические реакции. Металлические конструкции могут вызывать аллергические реакции. Диоксид циркония — биосовместимый материал и не вызывает аллергии;
- Прочность. Металлические каркасы прочнее каркасов из диоксида циркония. Однако эта особенность важна при использовании мостовидных протезов, при протезировании единичными коронками данный фактор не оказывает существенного влияния на срок службы;
- Возможность установок коронки без депульпации. Металлокерамические коронки обладают хорошей теплопроводностью. Чтобы зуб под коронкой не реагировал на горячее и холодное, нужно предварительно его дупульпировать («удалить нерв»). Низкая теплопроводность диоксида циркония, как правило, позволяет сохранить под коронкой живой зуб без риска болезненных ощущений на высокие и низкие температуры;
- Точность изготовления. Каркас металлокерамических коронок выплавляет зубной техник. На точность изготовления может влиять человеческий фактор. Производство коронок из диоксида циркония — процесс, контролируемый компьютером (технология CAD/CAM). Она обеспечивает точность «посадки» коронки и хорошее прилегание к обработанному зубу. Нет зазоров между зубом и коронкой, следовательно, под коронку не попадают бактерии и не развивается кариес.
Какие коронки используются?
- Пластмассовые коронки – временный вариант. Они не имеют достаточной прочности и эстетических качеств, быстро изнашиваются, меняют цвет, покрываются налетом.
- Керамика – вариант для случаев, когда эстетика главенствует над прочностью. Применяются только для передних зубов. За счет отсутствия металла коронки почти неотличимы от натуральных зубов, но при этом имеют невысокую прочность.
- Металлокерамика – коронки с металлической основой, покрытые слоем гипоаллергенной керамической массы. Они универсальны, достаточно эстетичны, но не лишены недостатков. Среди них возможность потемнения десен на стыке с коронкой (в силу химических реакций), а также просвечивание металла через слой керамики. Из металлокерамики изготавливаются коронки на любые зубы, мосты.
- Коронки на основе диоксида циркония. Это высокотехнологические системы, которые являются одновременно прочными и эстетичными. Такие искусственные зубы имеют хороший уровень прозрачности, за счет чего выглядят очень натурально. Применяются эти коронки для любых зубов, мостов.
В основном для протезирования в «Стоматологии Удивительных Цен» применяются металлокерамика или диоксид циркония. Оба варианта прочны, имеют хорошие показатели эстетики, при грамотном уходе служат долго. Однако это не значит, что мы работаем шаблонами – для каждого конкретного случая подбирается решение, в наибольшей степени отвечающее требованиям прочности, эстетики и бюджета пациента.
АКЦИЯ
Керамические коронки, мосты
11 500 р.
Плюсы
Несомненным плюсом установки металлокерамической конструкции является практически отсутствующая вероятность аллергии, заражения или отторжения (при условии соблюдения всех правил имплантации). Материалы коронок абсолютно нетоксичны и безопасны для человека. Однако реакция на установку металлокерамических протезов может быть индивидуальной у каждого человека. Многим интересно, что лучше — металлокерамика или диоксид циркония.
Отсутствие побочных эффектов зависит и от материала основы. Никель и хром являются аллергенами. Еще менее благородные металлы будут крайне недолговечны в связи с их свойством окисляться при контакте со слюной.
Безусловными преимуществами металлокерамических конструкций являются износостойкость, твердость и долговечность. Недостатком является возможность стирания верхнего слоя покрытия, что оголяет каркас.
Как было сказано выше, установка металлокерамики происходит преимущественно на жевательную область полости рта, так как она подвергается самой большой нагрузке. Однако такие нагрузки будут и на коронки, что может привести к быстрому стиранию верхнего керамического слоя. Коронки из циркония рассмотрим ниже.
Керамические коронки, преимущества и недостатки
Коронки, изготовленные целиком из керамики, являются более передовыми. Их отличает гипоаллергенность, полностью естественный внешний вид. Также из плюсов стоит отметить биоинертность – организм не реагирует как на чужеродный объект и то, что для установки такой коронки не нужно сильно обтачивать зуб.
Керамические коронки устанавливают как на жевательные, так и на передние зубы. Они хорошо смотрятся, не выделяются на фоне остальных зубов.
По технологии изготовления выделяют:
- керамические коронки из дисиликата лития. Они обладают высокой прочностью и могут быть использованы как в переднем, так и жевательном отделе
- керамические коронки из дисиликата лития с добавлением кристаллов лейцита. Такие коронки применяют только для передних зубов
Недостатками коронок из керамики является высокая цена – от 13 000 рублей в среднем по Москве. Также, несмотря на хорошие показатели прочности, велика вероятность сколов и трещин в результате механических повреждений, вызванных травмой, аномалией прикуса, бруксизмом.
Срок службы керамической коронки составляет не менее 10 лет.
Показания и противопоказания
При имплантации врач восстанавливает не только видимую часть зуба, но и его корень, который воссоздается из керамики или титана и устанавливается в костную ткань. Необходимость вживления подобных конструкций возникает в следующих случаях:
- утрата одного и более зубов вместе с корнями;
- разрушение или потеря корня;
- наличие у взрослого человека молочных жевательных единиц (встречаются ситуации, когда коренные зубы остаются несформированными).
При этом не во всех случаях можно провести восстановление зубного ряда и поставить коронку на имплант. Существует следующий список противопоказаний для осуществления процедуры:
- серьезные проблемы с работой сердца и сосудов;
- патологии почек;
- ослабленный иммунитет;
- заболевания нервной системы;
- недостаток костной ткани (возможно проведение ее наращивания перед протезированием);
- возраст старше 65 лет;
- различные патологии крови.
Целесообразность имплантации определяет врач после проведения обследования и получения результатов анализов. Если процедура невозможна по медицинским показаниям, пациенту предложат альтернативные способы восстановления зубного ряда. Очень важно провести тщательное исследование костной ткани. При ее дефиците проводят наращивание отдельных участков.
Что выбрать?
При установке коронок
При выборе материала для коронок необходимо руководствоваться следующими критериями:
- При отличных эстетических качествах цирконий проигрывает в прочности, тогда как конкурирующее изделие имеет более доступную ценовую политику
надёжность конструкции; - прочность;
- долговечность;
- безопасность установки и ношения;
- гипоаллергенность;
- доступная стоимость.
При анализе металлокерамики и диоксида циркония наблюдается некая двойственность.
При отличных эстетических качествах цирконий проигрывает в прочности, тогда как конкурирующее изделие имеет более доступную ценовую политику.
Немаловажным фактором является степень безопасности проведения установки, в случае с циркониевым протезом зуб подвержен минимальному стачиванию, а металлокерамика предполагает проведение депульпирования.
Этапы протезирования на имплантах
Первый этап имплантации – диагностика, сдача всех необходимых анализов, панорамные снимки челюсти, опрос и осмотр пациента. Только после всех подготовительных манипуляций можно приступать к протезированию. Протезирование на имплантах происходит следующим образом:
- вживление импланта (хирургический этап), после чего начинается процесс его приживления в кости, который длится до полугода,
- после того, как титановый штифт прижился, на него фиксируют абатмент – специальный компонент конструкции, который соединяет титановый штифт с коронкой,
- после приживления имплантата на него устанавливается формирователь десны – устрйство, которое помогает зафиксировать десну в нужном положении,
- врач снимает слепки и передает их в лабораторию для изготовления коронки,
- последний этап – установка коронки.
Коронки из диоксида циркония
Диоксид циркония – отличный материал для использования в протезировании. Он сочетает в себе как эстетику, так и сверхвысокую прочность, выше, чем у цельно керамических. В отличие от металлокерамики, коронки из диоксида циркония не вызовут раздражения или аллергии при соприкосновении с мягкими тканями полости рта.
Срок эксплуатации зубных протезов из диоксида циркония составляет не менее 20 лет. Если пациент обращается с ними аккуратно, то носить их можно дольше.
Недостатка можно выделить два. Первый – неестественный вид. Такие коронки не просвечивают, в них нет прозрачности, присущей настоящим зубам, а значит, они будут выделяться. Поэтому их предпочтительно устанавливать на жевательные зубы. Второй – цена. За одну коронку придется отдать как минимум 22 000 рублей.
Гарантия
Вопреки широко распространенному мнению, что у таких конструкций нет срока годности, на каждый протез дается гарантия. Примерно этот период колеблется от 5 до 12 лет. Все зависит от тщательности и регулярности ухода за протезами. Очень много также зависит и от стоматолога, который устанавливает конструкцию. Гарантия стоматологической клиники предусматривает отсутствие сколов, трещин и разрушения в течение всего периода действия.
Что лучше — металлокерамика или диоксид циркония, решить очень трудно.
Кариес, однако, может сильно сократить срок гарантии, поэтому необходимо с целью профилактики регулярно проходить осмотр у стоматолога. Ношение конструкции дольше отведенного периода способно стать причиной потери зуба.
Каркасы из стоматологических металлических сплавов
Каркас для металлокерамической конструкции делается из сплавов кобальта и хрома, никеля и хрома, используются и драгоценные металлы – золото, платина, палладий. Толщина основы составляет от 0,3 до 0,5 мм, вместе со слоем керамики толщина протеза составляет около 1,5-2 мм. В отличие от композитных материалов, которые также применяются для реставрации коронок, и намного дешевле, керамика воспроизводит цвет и структуру натуральной зубной ткани, при этом она не тускнеет и не впитывает красящие вещества.
Металлокерамическая зубная коронка – хороший вариант, если необходимо восстанавливать жевательные зубы эстетично и надежно и у вас нет аллергии на металлы. Металлокерамические протезы имеет следующие преимущества:
- Хорошие эстетические показатели. Качественно сделанные искусственные металлокерамические коронки практически ничем не отличаются по внешнему виду и функциональности от натуральных зубов;
- Прочные, способные выдерживать высокие нагрузки при жевании, могут прослужить более 10 лет;
- Конструкция сохраняет свой изначальный цвет на протяжении всего срока использования;
- Возможность протезирования любых зубов;
- При небольших повреждениях коронки, возможность ее отреставрировать;
- Доступная стоимость изделий;
- Устойчивость к нагрузкам;
- Хорошие гигиенические показатели.
Но металлокерамические зубные протезы имеют некоторые недостатки:
- В случаях, когда керамический слой поврежден (бывает всякое), через образовавшиеся трещины и сколы, может проступить металлический каркас;
- Для установки металлокерамики в большинстве случаев необходимо удалять пульпу и существенно препарировать биологическую коронку (около 2 мм со всех его сторон);
- В ряде случаев, со временем, в месте стыка коронки с десной может возникать синюшность слизистой;
- Материал каркаса не пропускает свет, поэтому под определенными углами освещения, металл может просвечиваться через керамическое покрытие. По этой причине, установка металлокерамических коронок на фронтальные зубы подойдет не всем пациентам.
Как происходит установка?
- Консультация стоматолога.
- Подготовка к протезированию: опорные зубы лечатся, затем обтачиваются.
- Врач снимает слепок зубов.
- В лаборатории создается модель из воска.
- С помощью данной восковой модели в лаборатории изготавливают керамическую коронку.
- Происходит фиксация изделия с помощью специального клея.
Цирконий — высокопрочный материал.
Диоксид циркония – один из самых современных материалов, который применяется для установки как единичных коронок, так и для мостовидных протезов. Цирконий очень прочный материал, его можно сравнивать с металлами, но и эстетические качества у него на высоте. Циркониевые коронки являются наиболее безопасным и малотравматичным видом протезирования.
Достоинства циркониевых изделий:
- циркониевые зубы очень похожи на натуральные,
- изделие плотно прилегает к десне,
- долговечность: коронка из диоксида циркония прослужит вам от 15 до 20 лет, а гарантия на изделие составляет 5 лет,
- практически идеальное совпадение со структурой настоящей эмали,
- изделия очень легкие,
- материал не меняет цвет со временем,
- нет необходимости в подгонке изделия перед установкой, так как коронка гарантировано станет на свое место.
Единственным минусом данного вида коронок является их высокая стоимость.
Показания: для маскировки дефектов зубных рядов, нарушение целостности твердых тканей, установка на импланты.
Противопоказания:мелкие зубы, глубокий прикус, бруксизм.
Технология и этапы установки
Подготовка к установке коронки трудоёмкий процесс, требующий от дантиста высокого профессионализма. Выделяют несколько основных этапов:
- первичный осмотр у доктора. Специалист внимательно изучает полость рта пациента, делает рентгеновские снимки, с их помощью определяется наличие воспалительного процесса у верхушки зуба, наличие пломбирования каналов. Плохая ситуация требует повторного лечения;
- по необходимости проводится препарирование зуба под металлокерамическую коронку, депульпирование единицы зубного ряда, по возможности его сохраняют в целости и сохранности;
- наличие некачественных пломб, запущенного кариеса требует немедленного исправления ситуации;
- при разрушении зуба на ½ вкручивается в корневой канал специальный штифт, дополнительная часть восстанавливается с помощью пломбировочного материала;
- только полностью подготовив ротовую полость к протезированию, мастер изготавливает коронку по индивидуальным слепкам пациента, устанавливает, проводит окончательный инструктаж по правилам ухода за изделием.
Этапы производства
Процесс производства и установки протезов из циркония также состоит из нескольких этапов:
- Опорные зубы проходят специальную подготовку стоматологом. Производится чистка корневых каналов, замена устаревших пломб на новые, лечение кариеса и других проблем с зубами.
- Обтачивание зубов для опоры протеза и изготовление слепков с помощью мягкой формы из силикона.
- Далее осуществляется сканирование для создания 3D-модели протеза.
- Коронки прекрасно совпадают с подготовленными и обточенными зубами, что является результатом работы современного программного обеспечения. Модель создается в двух проекциях на основе из циркония и верхнего эстетического слоя.
- Созданная модель передается в особый фрезерный станок, обладающий высокой точностью исполнения. Он в автоматическом режиме изготавливает циркониевую модель. Далее заготовка обжигается для повышения прочности материала.
- Специалист с помощью современных технологий слой за слоем накладывает массу на основу, затем конструкция снова подвергается термической обработке, чтобы склеить нанесенные слои между собой.
- На обработанный протез наносят подобранный оттенок красителя, и снова конструкция обжигается. После этого коронки считаются готовыми, и их можно устанавливать.
- Установка и фиксирование протезов происходит с помощью раствора на основе цемента. Излишки материала для крепления удаляются, если необходимо.
Какие бывают зубные коронки, теперь известно.
Циркониевые протезы устанавливаются в течение максимум трех часов, что зависит от сложности процедуры и индивидуальных особенностей полости рта пациента.
Особого ухода или покупки специализированных средств для этого коронки из циркония не требуют. Выполнения стандартных правил гигиены полости рта будет достаточно. Чтобы повысить эффективность ухода и продолжительность срока носки протезов, можно использоваться маленькие щеточки для чистки. Это поможет вычистить остатки пищи даже из самых труднодоступных мест. Регулярные осмотры у стоматолога также являются частью полноценного ухода за полостью рта и коронками. Сравнение металлокерамики и диоксида циркония проводят часто.
Даже вопреки тому, что циркониевые коронки доступны для установки практически каждому пациенту, у данного вида протезирования есть и определенные противопоказания. Существенным недостатком этого вида является его цена. Она составляет от 16 тысяч рублей за один зуб.
Металлокерамика или цирконий?
Мы рассмотрели все особенности двух видов коронок: металлокерамической и циркониевой. Какую же выбрать? Чтобы вам было легче определиться, выделим основные моменты и разместим их в таблице:
| Характеристика | Оксид циркония | Металлокерамика |
| Необходимость в обточке | Зуб обтачивают на небольшую толщину. | Требуется обтачивать достаточно много твердых тканей. |
| Необходимость в депульпировании | Можно устанавливать на живые зубы. | В большинстве случаев зуб депульпируют. |
| Противопоказания | Несколько пунктов. | Достаточно много. |
| Развитие аллергии | Исключено. | Возможны аллергические реакции на металл. |
| Просвечивание изделия. | Исключено, так как отсутствует металлическая основа. | При протезировании передних зубов может просвечиваться металлическая основа. |
| Возможность протезирования передних и жевательных зубов. | Да. | Да. |
| Стоимость одной коронки. | От 16 тысяч рублей. | Начиная от 4,5 тысяч рублей. |
| Срок изготовления | Короче, чем у металлокерамических. | Достаточно длительный. |
Итак, делаем выводы:
- Оксид циркония подходит для протезирования как передних, так и жевательных зубов. Материал прочный, поэтому нагрузку выдержит. Здесь вопрос стоит в том, устроит ли вас цена изделия.
- Металлокерамика имеет одну особенность, которую нужно знать. Если вы протезируете передние зубы, учтите, металлический каркас может просвещаться сквозь керамику. Это особенно заметно, если вы восстанавливаете один зуб, так как он будет отличаться от остальных. Идеальный вариант – протезирование металлокерамикой нескольких фронтальных зубов, в таком случае они не будут отличаться друг от друга по внешнему виду.
- Выбирать метод протезирования вы будете вместе со стоматологом, исходя из многих факторов. Например, если необходимо сохранить зуб от дальнейшего разрушения, целесообразно использовать безметалловую керамику. При слишком тонких стенках эмали, которые под давлением могут сломаться, надежнее будет использовать металлокерамику.
Способы фиксации
Для крепления протезной конструкции к импланту служат специальные элементы, называемые абатментом. Обычно они поставляются в комплекте с имплантами, в паре с которыми предполагается установка.
Но их можно изготавливать и индивидуально в лаборатории клиники. Это целесообразно в том случае, если имеется какая-то клиническая особенность, делающая нежелательным использование стандартного или фирменного изделия.
Абатменты имеют разную конструкцию. В большинстве случаев их форма напоминает усеченный конус, в других вариантах они имеют вид сферы или иной фигуры.
Абатменты могут выполняться заодно с имплантом. В других случаях соединяются с ним с помощью резьбового соединения, для чего имеют в верхней части резьбу для крепления коронки. Соединение коронки с абатментом может быть неразъемным (с помощью цемента) и разъемным (винтовым).
К достоинствам неразъемных соединений относится технологическая простота крепления, а также отсутствие необходимости точного выполнения абатмента, особенно в том случае, если он служит опорой в мостовидном протезе. Да и стоит абатмент без крепежных аксессуаров меньше.
Недостатком цементного крепления является невозможность разобрать супраконструкцию, если потребовался ремонт какого-то из его элементов. Достоинством – отсутствие требования к повышенной точности, поскольку цемент способен компенсировать некоторую неточность изготовления.
В противоположность неразъемному соединению, резьбовое крепление позволяет легко разобрать конструкцию и отремонтировать или заменить вышедший из строя элемент.
Соединение с абатментом осуществляется вне ротовой полости. Чтобы ввести через коронку в абатмент крепежный винт, в ней делается отверстие, которое после установки винта пломбируется.
Если по какой либо причине возникает необходимость в отсоединении коронки от абатмента, пломба, закрывающая крепеж, высверливается для доступа к винту.
Возможность разборки составляет самое весомое преимущества разборных конструкций. К их недостаткам относится повышенная сложность, необходимость точного выполнения и относительно высокая цена.
Тенденция состоит в том, что цементная фиксация применяется все реже. Стоматологи отдают предпочтение винтовому креплению как более технологичному и совершенному.
В видео врач более подробно расскажет о способах фиксации коронок на имплантат.