Статистические данные свидетельствуют о том, что сегодня едва ли не 30% детей рождается с недугами, название которого приводит родителей в ужас: киста у новорожденного в голове ассоциируется с неизлечимыми заболеваниями. Образуется полость, заполненная жидкостью, как внутри, так и на внешних стенках головного мозга. При этом локализация может быть любой. Но паниковать все-таки не стоит – это не онкология! Важно вовремя диагностировать наличие кисты, чтобы исключить ее развитие и влияние на головной мозг при дальнейшем разрастании.
Описание и виды патологии
Киста мозга представляет собой опухолеподобное объемное образование, заполненное жидкостным содержимым и, как правило, окруженное плотной капсулой. Оно возникает при нарушении дифференцировки клеток в эмбриогенезе или на месте дефекта ткани в результате ее утратившего жизнеспособность участка. Увеличение размеров образования связано с накоплением жидкости, количественный рост – с процессами отмирания структур других участков органа (не с переносом измененных клеток от первичного очага).
В зависимости от сроков появления выделяют:
- врожденные кисты – возникшие в период внутриутробного развития;
- приобретенные – образовавшиеся в родах или после них.
По местонахождению может быть:
- ретроцеребральная (в области сосудистых сплетений) – наиболее распространенная и наименее опасная локализация, возникающая преимущественно на ранних сроках гестации или же после рождения;
- арахноидальная (связана с паутинной оболочкой) – самая редкая (около 3% всех выявленных случаев), но опасная из-за возможности быстрого роста (из-за наполнения ликвором – спинномозговой жидкостью) и сдавления прилегающих отделов мозга у новорожденных;
- субэпендимальная (церебральная, расположена в глубине мозгового вещества) – наиболее опасная киста головного мозга у грудничка, поскольку образуется на месте гибели уже сформированных структур. Отдельно в этой группе рассматривается пинеальная (эпифизарная), имеющая наименьшую распространенность киста мозга (может диагностироваться и у взрослых).
По гистологическому строению (составу клеток) различают:
- коллоидная – желеобразное инкапсулированное образование, локализованное преимущественно в III желудочке, что сопровождается затруднением оттока ликвора и формированием гидроцефалии у грудничков;
- дермоидная – этот вид кисты формируется в раннем эмбриогенезе из тканей, дифференцирующихся позже в дерму (базовый слой кожи), и незрелых клеток фолликула волоса;
- эпидермальная – имеет сходное с дермоидной происхождение, но в составе клетки неороговевающиего плоского эпителия и роговые чешуйки (верхний слой кожи).
Такое разнообразие форм и видов объясняется отличими в сроках формирования кисты и провоцирующих ее факторах. По тем же критериям будут варьироваться клинические проявления.
Разновидности заболевания
Традиционно доктора классифицируют кисту мозга по таким признакам, как:
Еще статьи по вашему вопросу
- Рвота у младенца: причины, сопутствующие симптомы, лечение
- Эритема у новорожденного младенца: причины, симптомы, лечение
- Сыпь у грудничка: основные причины и способы лечения
- Гемангиома у младенцев: виды, особенности течения и лечения
- Сотрясение мозга у младенца: почему важно сразу вызвать «скорую»?
- Церебральная ишемия у новорожденных: причины, протекание и последствия
- время появления
- локализация
- свойства полости
На основе этих данных подобные образования делят на такие виды:
- Киста сосудистых сплетений обычно появляется еще у плода в утробе матери. Чем раньше она появляется, тем больше шансов на ее самостоятельное устранение. Как правило, при развитии таковой в самом начале беременности совершенно не опасная киста рассасывается к моменту рождения крохи или же в грудном возрасте. Сохраняется полость в случае осложнений как во время беременности, так и в течение родовспомогательной деятельности. Нередко возникает заболевание и из-за перенесенных мамой инфекций.
- Субэпендимальная форма у грудничка– итог плохого кровоснабжения клеток и тканей головного мозга. Такую форму еще называют церебральной, и возникает она, как правило, в результате гипоксии и последующей гибели тканей. Наличие такого заболевания заставляет держать малыша все время под контролем врачей.
- Арахноидальная киста, также получившая название ликворная, образуется на поверхностных участках головного мозга. Причинами ее возникновения также является недостаточная циркуляция крови, перенесенные воспалительные процессы, травмы во время родов. Такая форма опасна тем, что она довольно быстро развивается и может сдавливать отдельные участки мозга, приводя к серьезным осложнениям. Но и диагностируют подобное проявление кисты лишь в 3% случаев из всех постановок подобного диагноза.
Причины и признаки
Кисты могут образовываться в перинатальном (дородовом), антенатальном (в процессе рождения) или постнатальном (раннем адаптационном) периодах.
Врожденные изменения в головном мозге происходят в связи с:
- нарушениями процессов закладки и дифференцировки тканей;
- перенесенными внутриутробными инфекциями (менингит, энцефалит);
- расстройством плацентарного и собственного мозгового кровообращения;
- другими аномалиями развития.
Приобретенные патологии головного мозга у новорожденных встречаются чаще при:
- родовых травмах;
- антенатальном инфицировании (большое значение принадлежит вирусу генитального – может быть лабиальный – герпеса);
- кровоизлияниях, послеродовых травмах и инфекциях головного мозга.
Наличие кистозного процесса не представляет угрозы для здоровья и жизни. Его последствия (блокирование оттока ликвора, сдавление прилегающих тканей, разрыв в сосудистом сплетении) – основные причины нарушений развития, снижения/утраты функций, инвалидизации и летальности.
Небольших размеров киста головного мозга у ребенка первого месяца жизни, не оказывающая значительного влияния на основные центры контроля жизнедеятельности, может иметь бессимптомное течение. В ряде случаев у малышей наблюдается нетипичное поведение. Другие сопровождающие признаки:
- изменение режима сна – бодрствования (повышенная сонливость, либо бессонница);
- заторможенность, вялость, повышенная плаксивость;
- снижение активности движений, нарушение их координации;
- изменение мышечного тонуса, его несимметричность;
- выраженный тремор (дрожание подбородка);
- судороги конечностей;
- обильное срыгивание, похожее на рвоту;
- отставание в наборе массы.
Такие проявления часто сопровождают кистозный процесс, но не являются его достоверными симптомами. Каждый признак, как и их сочетание, служат маркерами неврологических и иных нарушений.
Другие клинические выражения специфичны и зависят от вида, расположения, объема кисты. Степень их проявления также определяется этими характеристиками. Некоторые виды кистозной трансформации сопровождаются гидроцефалией и являются ее причиной.
Симптомы
Киста большого размера у новорожденного может стать причиной паталогических нарушений в органах новорожденного. Киста в голове у новорожденного может увеличиваться из-за таких факторов:
- при увеличении давления жидкостью на стенки кисты;
- при воспалительных процессах в детском организме;
- травмы головы любого характера – сотрясение, ушиб и так далее.
Даже если у ребенка есть кистообразная опухоль, она может себя никак не проявлять впредь до подросткового возраста. Но даже в таком случае ребенок нуждается в регулярном медицинском наблюдении.
Самый опасный период при развитии кисты – подростковый, так как именно в этот период даже самая незаметная и безвредная киста может начать стремительно развиваться до огромных размеров.
Если у ребенка киста большого размера, то она может давить на ткани мозга, вызывая такие негативные последствия:
- постоянные головные боли, сопровождающиеся тошнотой и рвотой;
- ослабление слуха, ухудшение зрения, обоняния;
- отсутствие здорового сна;
- плохая координация в пространстве;
- высокое внутричерепное и артериальное давление;
- приступы судороги, потеря сознания;
- приступы эпилепсии;
- онемение рук и ног.
Во многом симптомы зависят от того, где находится киста. Если опухоль находится ближе к затылку, то чревато плохим зрением, двоением в глазах, появления «затуманенного» взгляда.
Кистообразное образование в районе мозжечка негативно влияет на координацию ребенка в пространстве. Если опухоль находится в районе гипофиза, то нарушается работа эндокринной системы. При самых тяжелых видах кисты ребенок может отстать в развитии, как умственном, так и физическом.
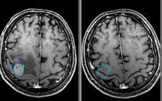
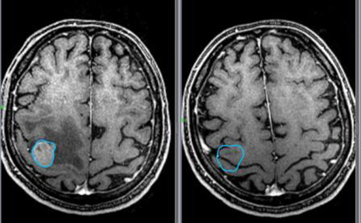
Диагностика кист головного мозга
За редким исключением, все беременные проходят ультразвуковое обследование. Для диагностики врожденного опухолеподобного объемного образования наиболее информативно заключительное (на 36 – 38 неделе гестации). Выявление приобретенных форм у новорожденных проводится тем же методом, но иным образом.
Нейросонография – основной диагностический тест, проводимый младенцу через неокостеневший (незакрытый) большой родничок. Эта разновидность УЗИ получила широкое применение и заслуженное признание за счет полной безопасности и высокой информативности. Его можно осуществлять с необходимой периодичностью. Подготовки пациента к обследованию не требуется. Кроме описания в протоколе исследования, есть возможность печати сканограмм, что добавляет методу объективности, особенно при динамическом наблюдении.
В неясных ситуациях применяется МРТ (магнитно-резонансная томография). В отличие от КТ (компьютерной томографии) метод не несет лучевой рентгеновской нагрузки и может быть применен даже в III триместре беременности. Но из-за технической сложности у грудных (и до 6 – 7 лет) детей способ выполняется только под наркозом и имеет ряд противопоказаний. Данная процедура входит в план обследования при подготовке к хирургическому лечению.
Способы диагностики у ребенка
Патология в тканях мозга новорожденного требует повышенного внимания врачей и родителей. Детям с таким диагнозом необходимо регулярное обследование.
Ультразвуковое исследование, при котором диагностируют псевдокисту, не всегда позволяет рассмотреть полость и стенки образования. Псевдокиста может иметь любую форму и размер, но всегда локализуется в одном месте: в больших мозговых полушариях между таламусом и головкой хвостатого ядра. Если местоположение иное, то это истинная киста.
Для всесторонней диагностики современная медицина предлагает несколько способов:
- допплеровское исследование;
- нейросонография;
- МРТ;
- позитротронно-эмиссионная или компьютерная томография и др.
УЗИ головного мозга информативно только на первом году жизни ребенка, до зарастания родничка (подробнее в статье: когда и как зарастает темечко у ребенка?). Его назначают недоношенным детям, а также перенесшим кислородное голодание и тяжелые роды. Детям старше одного года и взрослым проводят МРТ. Эти методы дифференцируют кисту и псевдокисту.
ЧИТАЕМ ТАКЖЕ: к какому возрасту у грудного ребенка зарастает родничок?
Лечение, прогноз и профилактика
Специфической медикаментозной терапии кистозной трансформации головного мозга не разработано. Большинство их видов имеет склонность к самостоятельному разрешению. При этом обязательно ведется динамическое наблюдение с выполнением контрольных УЗИ. Если причиной кисты явилась инфекция, нарушенное кровообращение или травма, назначается лечение этого процесса.
В ряде случаев требуется хирургическая коррекция. Операционный подход избирается индивидуально. Тактика оперативного вмешательства определяется по виду, локализации, предположительному гистологическому строению и характеру проявлений кисты. Возможно применение прямого доступа с полным удалением образования. Может быть проведено шунтирование или эндоскопическое пункционное устранение содержимого кистозной полости.
Отдаленные последствия при своевременной диагностике и верно выполненном оперативном пособии не наблюдаются. Врожденные кисты сосудистых сплетений уже могут не подтверждаться на контрольном исследовании в месячном возрасте. Большинство других форм, не требующих хирургической тактики, перестают диагностироваться к году жизни и на дальнейшем развитии ребенка не сказываются.
Профилактика направлена, в первую очередь, на поддержание здоровья будущей матери. Планируемое зачатие ребенка более целесообразно, если у женщины имеются хронические очаги инфекций, гинекологические заболевания, отягощенная акушерская история (искусственные, самопроизвольные прерывания или другие патологии беременности). В течение наступившего вынашивания следует избегать ситуаций, ухудшающих маточно-плацентарное кровообращение. Родоразрешение должно проходить только в условиях возможности оказания квалифицированной медицинской помощи.
Как вылечить псевдокисту?
При нормальных размерах образования лечить младенцев с таким диагнозом нецелесообразно, так как в большинстве случаев они самостоятельно рассасываются в 1-й год жизни. Псевдообразование никак не влияет на физическое, умственное и эмоциональное состояние ребенка.
Детей, у которых обнаружена псевдокиста, ставят на учет к неврологу, который проконтролирует рост образования и назначит подходящее лечение. В большинстве случаев при таком диагнозе назначаются препараты, направленные на улучшение кровообращения в мозге и антигипоксанты, такие как Милдронат, Мексидол.
Гиперактивным детям назначаются препараты Пантогам, Глицин. Чтобы улучшить состояние нервно-рефлекторного и опорно-двигательного аппарата, больным назначают массаж. Процедуру проводят квалифицированные массажисты при отсутствии противопоказаний.
В случае выявления образования невропатолог назначает пациенту повторное обследование, для того чтобы определить растет оно или нет. Если ко второму визиту к врачу киста осталась прежних размеров или увеличилась, младенцу назначается терапия, которая призвана предотвратить появления головной боли и судорог. В старшем возрасте псевдокиста исследуется при помощи МРТ и КТ. Благодаря этим исследованиям удается удостовериться в отсутствии опухоли.
Если же к концу первого года жизни образование у грудничка не рассосалось, значит, диагноз был сделан неверно и врачи должны еще раз осмотреть ребенка. При больших образованиях, которые оказывают давление на мозг, назначаются препараты, предотвращающие судороги.
В случае когда образование продолжает расти, прибегают к хирургическому вмешательству. Кисту удаляют посредством трепанации черепа, шунтирования и эндоскопии. Лучшим методом является эндоскопический, однако, он подходит только для части образований кистозного характера. Если лечение отсутствует, у больного начинаются судорожные припадки, неврогенные расстройства.
