
Характеристика патологии
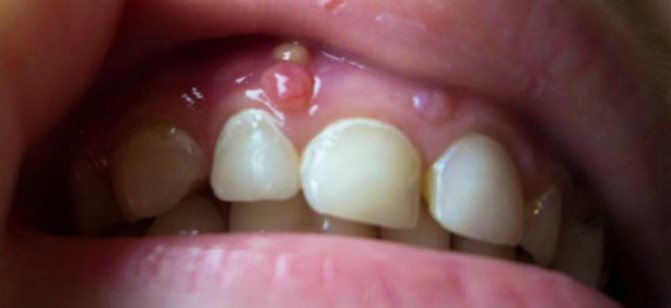
Свищ у ребенка — фото:
В области зубного корня нередко развивается воспаление, очаг которого с течением времени все разрастается и способствует развитию нагноения.
На пораженном участке образуется полость, заполненная гнойным содержимым. Через некоторое время в области десен возникает канал, через который гной выводится к поверхности десны. Этот канал называют свищом.
Возникновение свища приводит к обширному поражению десны, которая отекает, краснеет. Любое воздействие на пораженный участок приводит к сильным болезненным ощущениям, которые, впрочем, могут беспокоить ребенка и в состоянии покоя.
Более того, возникновение свища на десне провоцирует общее ухудшение состояния здоровья крохи. У ребенка развивается гипертермия, малыш отказывается от еды, что также негативно влияет на его развитие.
Как вылечить свищ на десне у взрослого?
При появлении припухшей области на десне, вызывающей неприятные ощущения, может появиться вопрос: к какому врачу обращаться.
К ним относят:
- Резкая боль при случайном надавливании на десну.
- Заметное покраснение определенной части десны.
- Небольшая подвижность зуба, возле которого начал скапливаться гной.
- Повышение температуры тела, достигающее примерно 38ºC.
Важно отметить, что при наличии у человека одного из перечисленных признаков, далеко не всегда говорит о наличии гнойного образования.
При появлении свища непосредственно на корне пораженного зуба, то выявить патологию поможет рентген.
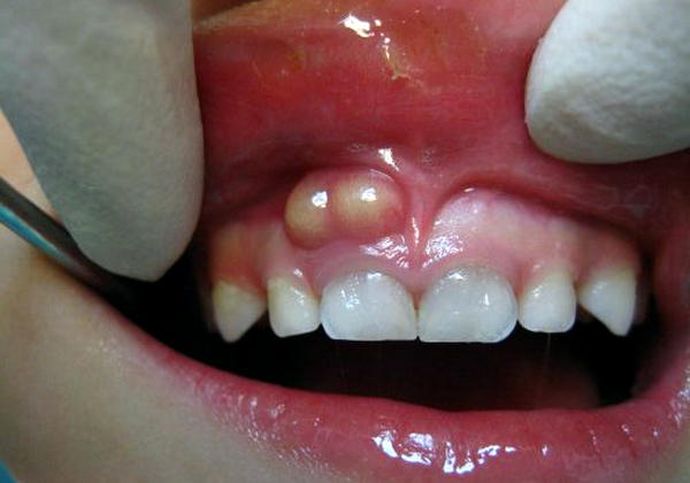
Врач должен проколоть проблемную зону или сделать так, чтобы гнойное образование лопнуло.
После удаления свища в проблемную область ставится дренаж, который способствует оттоку гноя белого или слегка желтоватого цвета.
Если образовался свищ у взрослого, его лечение включает:
- Избавление от основных причин, которые вызвали появление гнойного образования.
- Прием курса антибиотиков, таких как: Гентамицин, Амоксиклав, Линкомицин, Ципролет.
- Смазывание проблемного участка противомикробным гелем Дента Метрогил.
- В течение 7 дней пить антигистаминные средства.
- Лечение гомеопатией, используя знания в области психосоматики и народными средствами.
Причины возникновения
Основной причиной развития свища на десне у ребенка является патогенная микрофлора, жизнедеятельность которой приводит к возникновению воспаления в области зубного корня, которое со временем перерастает в обширное нагноение.
К возникновению данной ситуации могут привести такие негативные факторы как:
- Невылеченный кариес. Эмаль молочных зубов у ребенка достаточно тонкая и непрочная, в результате чего развитие кариеса – довольно распространенная проблема. Причем на начальных этапах заболевание протекает практически бессимптомно, распознать патологию можно лишь по характерным изменениям цвета и структуры зубной эмали, никаких болезненных ощущений на данном этапе не возникает. Тем не менее, патогенная микрофлора продолжает активно размножаться, что и приводит к развитию воспалений и нагноений, и, как следствие, может стать причиной развития свищевого канала.
- Невылеченный кариес способствует развитию периодонтита, заболевания, характеризующегося развитием гранулезной ткани. Эта ткань разрушает здоровые клетки десны, что приводит к ее воспалению и возникновению свища.
- Остеомиелит – инфекционное поражение костей челюстно-лицевой системы. При слабом иммунитете очаг инфицирования быстро разрастается, воспаление переходит в область десен и корней зуба.
- Киста. Данная проблема проявляется в результате различных причин, таких как нарушение процесса прорезывания зубов, аномалии развития зубного ряда. При инфекционном поражении кистозной ткани развивается воспаление и возникает свищ.
- Гайморит, развивающийся в области верхнечелюстных пазух, так же считается одной из причин развития свища. При этом, кроме болезненных ощущений в полости рта у ребенка будут отмечаться и другие симптомы, такие как заложенность носа, снижение обоняния, общее недомогание.
- Травматическое повреждение десны. При падении, употреблении твердой пищи, повреждении десны острым предметом, наблюдается нарушение целостности ее тканей. Данный участок становится местом размножения патогенной микрофлоры. При инфицировании поврежденной десны возникает воспаление, нагноение, развивается свищ.
Существуют и второстепенные предрасполагающие факторы, негативно сказывающиеся на здоровье полости рта.
К возникновению и развитию свищевого канала могут привести такие причины как чрезмерное употребление сладостей, частые инфекционные и вирусные заболевания, способствующие стойкому снижению иммунитета, переохлаждения.
Симптомы и признаки
Свищ на десне у ребенка – заболевание, характеризующееся появлением специфических признаков, появление которых не может остаться незамеченным.
К числу таких симптомов относят:
- Болезненные ощущения в зубе, корень которого воспален.
- Дискомфорт при совершении ежедневных гигиенических процедур, в момент пережевывания пищи.
- Повышенная чувствительность зубов.
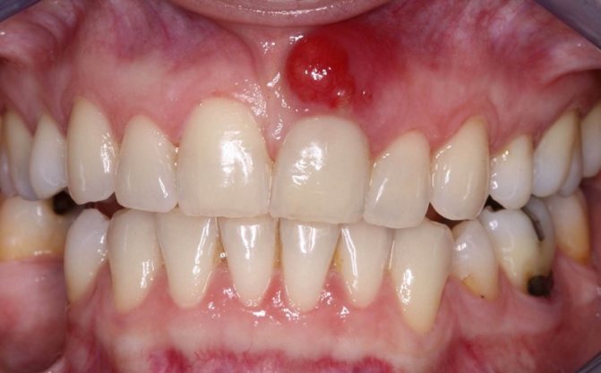
- Покраснение и отечность пораженной десны.
- Неприятный привкус во рту, дурной запах.
- Подвижность зубов на пораженном участке десны (на поздней стадии развития патологии).
- Повышение температуры, ухудшение общего самочувствия ребенка.
- Образование на десне специфического бугорка белого цвета, заполненного гнойным содержимым. При разрыве этого бугорка его содержимое поступает в ротовую полость.
Рекомендации по лечению кандидозного стоматита у малышей вы найдете на нашем сайте.
Профилактика
Чтобы предупредить развитие свища на десне молочного зуба специалисты рекомендуют придерживаться ряда профилактических мероприятий. Среди них:
- Регулярное посещение врача стоматолога для выявления и лечения кариозных процессов на раннем этапе.
- Чистка зубов утром и вечером, ополаскивание ротовой полости после каждого приема пищи. Зубная щетка должна быть с мягкими щетинками.
- Укрепление иммунитета.
- Отказ от мучного и сладкого. Стараться есть больше свежих овощей и фруктов, кальцийсодержащих продуктов.
Выполнять профилактические действия всегда проще, чем потом лечить заболевание. Если с самого детства привить ребенку здоровые привычки, то риск развития свища и других патологий ротовой полости будет сведен к минимуму.
Возможные осложнения
При возникновении гнойного мешочка на поверхности десны болезненные ощущения в полости рта ослабевают, однако, это вовсе не означает что заболевание не требует лечения. При отсутствии терапии возможно появление серьезных осложнений, таких как:
- воспаление миндалин. Гнойное содержимое может распространиться на область миндалин, вызывая их воспаление;
- попадание гноя в желудок может спровоцировать развитие проблем в работе органов пищеварительной системы;
- разрушение здоровых тканей десны, расположенных в непосредственной близости от свищевого канала;
- развитие флюса;
- утрата зуба, расположенного на пораженном участке.
Прогноз
Прогноз при околоушном свище в целом благоприятный. Его инфицирование купируется без затруднений, а после оперативного вмешательства наступает полное выздоровление.
Прогноз может ухудшиться при возникновении осложнений и их запущенном состоянии.
Ковтонюк Оксана Владимировна, медицинский обозреватель, хирург, врач-консультант
всего, сегодня
( 51 голос., средний: 4,92 из 5)
-
Инородное тело уха: причины, симптомы, лечение
-
Стеноз гортани: виды, причины, лечение и профилактика
Похожие записи
Диагностика
Для выявления заболевания опытному специалисту достаточно провести визуальный осмотр и опрос пациента на предмет беспокоящих его жалоб.
Дополнительным методом диагностики является рентгенологическое обследование, в ходе которого устанавливается глубина свищевого канала, область поражения десны и, возможно, надкостницы.
Необходимо дифференцировать свищ с другими заболеваниями с похожей симптоматикой, такими как киста десен, жировики, прочие новообразования.
Способы лечения
Что делать, как лечить малыша? В зависимости от стадии развития патологии пациенту назначают тот или иной способ удаления свищевого канала. Это может быть медикаментозное лечение, которое часто дополняется использованием средств народной медицины.
В запущенных случаях ребенку требуется хирургическая операция. Лечение проводится в стоматологическом кабинете. Так как одной из основных причин появления свища считаются невылеченные зубы, для успешной терапии заболевания необходимо предварительное лечение больных зубов.
О причинах и лечении герпеса во рту у ребенка читайте здесь.
Терапевтическое
Данный способ терапии назначается в том случае, если свищ образовался в области коренного зуба.
Для лечения патологии необходимо удалить старую пломбу, тщательно вычистить зубные каналы.
После этого в них закладывают специальное противовоспалительное средство, после чего герметизируют временной пломбой. По истечении необходимого периода времени врач удаляет временную пломбу, проводит вторичную чистку зубных каналов, после чего устанавливает постоянную пломбу.
Медикаментозное
Задача медикаментозного лечения свища состоит в остановке развития воспалительного процесса, ускорения регенерации поврежденных тканей десны. Для этих целей ребенку назначают противомикробные и противовоспалительные средства в виде мазей, гелей, растворов для полоскания.
Эффективны такие средства как Хлоргексидин, Мирамистин. Данные препараты подавляют размножение бактерий, обладают выраженным антисептическим действием.
Остановить развитие воспалительного процесса помогают различные гели ( Холисал, Метрогил), которые наносят на пораженные участки десны на определенное время.
Данные средства позволяют также снять болезненные ощущения, ускорить процесс заживления поврежденных тканей. Для устранения боли и отечности десен ребенку назначают антигистаминные препараты ( Эриус, Тавегил).
Хирургическое
Оперативное вмешательство назначается в тех случаях, когда свищ образовался возле молочного зуба, либо очаг воспаления поражает сразу несколько зубов (в том числе и постоянных), а свищевой канал располагается достаточно глубоко.
В первом случае врач удаляет молочный зуб, а в лунку, которая осталась после удаления, закладывает лекарственный препарат, обладающий антибактериальным и противовоспалительным действием.
Если свищ поражает несколько постоянных зубов, пациенту проводят рассечение десны, удаление патологической гранулезной ткани.
В ходе операции вычищается свищевой канал, десны обрабатываются медикаментозными препаратами.
Средства народной медицины
Ускорить процесс заживления и снять неприятные симптомы патологии помогут средства народной медицины, применяемые совместно с основным лечением, назначенным врачом. Хорошо себя зарекомендовали такие рецепты как:
- Отвар из ромашки и календулы. По 1 ст.л. сырья заливают стаканом кипятка, выдерживают в теплом месте в течение 2 часов. После этого средство необходимо процедить и дать ребенку прополоскать рот. Полоскания необходимо проводить минимум 3-4 раза в день после приема пищи.
- Несколько свежесобранных листочков каланхоэ и алоэ измельчают, смешивают с натертым на мелкой терке зубчиком чеснока. Полученное средство наносят на пораженную десну, оставляют на 10-15 минут. Средство обладает противомикробным, противовоспалительным действием.
В какой последовательности прорезываются зубы у младенцев? Ответ узнайте прямо сейчас.



































