Фото: Волосатая лейкоплакия языка
Волосатая лейкоплакия ротовой полости относится к разряду вирусных поражений слизистой оболочки, которое развивается на фоне системного снижения уровня иммунитета. Заболевание часто диагностируется у ВИЧ-инфицированных пациентов, больных острым лейкозом и людей, принимающих иммуносупрессивные медикаменты.
Патологический область представляет собой беловатый и шероховатый очаг. Установление диагноза, преимущественно, требует проведения гистологического анализа и обследования на ВИЧ-маркеры. Лечение даной патологии включает индивидуальный подбор противовирусных средств, консервативный и хирургических методик терапии.
Заболевание впервые врачи обнаружили в 1984 году у пациента с ВИЧ. Волосатая лейкоплакия в виде очагов гиперкератоза в 30-50% случаев выявляется именно у ВИЧ-инфицированных людей. По статистике наиболее подверженными данной патологии являются лица в возрасте 40-70 лет.
Формы
Выделяется в зависимости от степени выраженности развития заболевания несколько форм лейкоплакии.
По характеру протекания патологии специалисты различают:
- Простая лейкоплакия. Течение ее скрыто, в злокачественную не переходит.
- Мягкая. Зоны поражения локализуются на слизистых щек, губ. Это объясняется их прикусыванием. Наиболее часто диагностируется эта форма у детей.
- Никотиновая. Развитие провоцирует длительное и активное табакокурение. Утолщается оболочка неба. Перерождается в онкологическое образование очень редко. Исчезает сразу после отказа от курения.
- Плоская. Заболевание часто обнаруживается во время профилактическом осмотра, т. к. не вызывает у пациента дискомфорта.
- Веррукозная. Появляется из плоской. Отличается формированием на пораженной зоне узелков. Склонна к перерождению.
- Эрозивная. Развивается из веррукозной. Очень опасна, относится к начальной стадии развития опухолевого процесса.
Видоизменение слизистой оболочки проходит 3 этапа.
Это:
- Распространение процесса на большинство слоев эпидермиса. Наблюдается утолщение, паракератоз (ороговение эпителия шейки матки).
- Полиформизм (чрезмерное размножение), ороговение эпителия, паракератоз с эрозийными очагами.
- Сбой соотношения клеток в эпидермисе. Возможна небольшая их деформация.
Наибольшую проблему вызывают язвы и трещины, расположенные на красной кайме губ.
Симптоматика
Наиболее распространенными симптомами волосистой лейкоплакии языка являются:
- Появление белого налета в области основания языка и на его боковых поверхностях.
- Ощущение сильной сухости языка.
- Изменение вкуса.
- На пораженных участках языка врач обнаруживает мелкие ворсинки.
- Очаги заболевания похожи на прозрачные или беловатые бородавки, длина которых, как правило, не превышает 1 сантиметра.
- Неоднородная поверхность слизистой.
- Появление эрозий и трещинок, которые могут исчезать, но затем снова появляются.
- При пальпации пораженного участка не возникает болезненных ощущений.
- Беловатый налет не удаляется с помощью щетки или даже специального шпателя.
- При более запущенных стадиях заболевания возникает першение и затрудненность дыхания.
- При отсутствии лечения наблюдается полное изменения эпителия языка.
Причины заболевания
Врачи выделяют множество причин, способных вызвать образование лейкоплакии.
Внешние факторы:
- злоупотребление любыми алкогольными и слабоалкогольными напитками;
- хроническая никотиновая зависимость;
- действие гальванических токов при использовании протезов, пломб и других имплантатов, изготовленных из разного типа металлов;
- негативная реакция на лекарственные препараты;
- механические или химические травмы;
- частое употребление соленых, кислых, пряных и горячих блюд;
- травмы тканей протезами, неграмотно вставленными пломбами, надколотыми краями зубов.
Существует ряд эндогенных (внутренних) предпосылок, способствующих развитию патологического отклонения.
К ним относят:
- дефицит витамина А;
- иммунодефицитные состояния, в т.ч. ВИЧ;
- длительное воспаление в полости рта;
- наследственную предрасположенность;
- нейродистрофические изменения в тканях слизистых.
У людей с ВИЧ-инфекцией развивается лейкоплакия намного чаще, чем у пациентов, длительно испытывавших воздействие ультрафиолетового излучения.
Проявлению заболевания наиболее подвержены курящие и не соблюдающие гигиену полости рта пациенты. Кроме того, болезнь может возникнуть при:
- использовании низкокачественных протезов;
- травмировании слизистой оболочки;
- постоянном взаимодействии с бытовой химией;
- неправильной работе ЖКТ;
- СПИДе и других половых инфекциях;
- генетической предрасположенности;
- нехватке витаминов;
- диабете;
- анемиях.

Симптомы
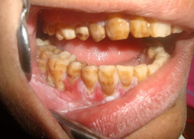
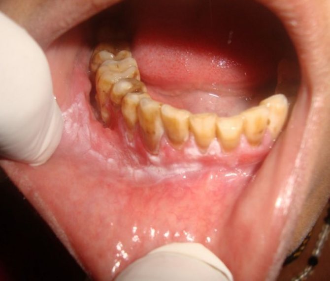
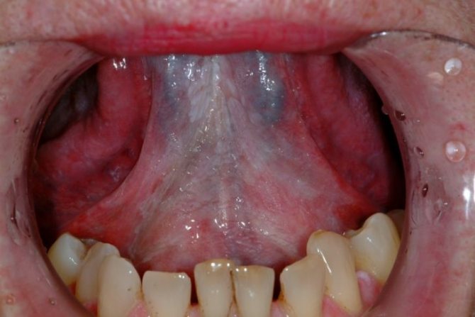
Изначально лейкоплакия полости рта протекает бессимптомно, ничем не проявляясь для пациента и не влияя на показатели его здоровья. Первичные проявления начинаются с возникновения отдельных участков помутневшего эпителия – очагов поражения, характеризующихся сероватым оттенком с ороговевшими верхними слоя.
Основное расположение – точка соприкосновения зубов на внутренних поверхностях слизистых щек, уголки ротовой полости, спинка и боковые участки языка, нижняя губа. У пациентов, с хронической никотиновой зависимостью, под воздействие попадает верхнее небо.
Типы патологии:
- простая или плоская;
- веррукозная;
- эрозивная;
- никотиновая или лейкоплакия Таппейнера.
У одного заболевшего может быть зарегистрировано несколько независимых типов болезни, поражающих слизистые на разных участках или поэтапная трансформация одного типа в другой.
Простой или плоский тип
Регистрируется у пациентов наиболее часто, не сопровождается определенными симптоматическими проявлениями. Обнаружение развития болезни происходит при стандартной профилактической консультации у стоматолога.
В отдельных случаях пациенты могут предъявлять жалобы на изменения внешнего вида слизистых покровов ротовой полости, чувство жжения или стянутости в месте локализации. При образовании крупных очагов возникает снижение функциональности вкусовых анализаторов.
Участок поврежденных поверхностей выглядит как гиперкератозная пятнистость – нестандартного разрастания внешних слоев, визуально определяющиеся как измененный эпителий мутного цвета, с четким разграничением.
Место воспаления напоминает ожоговые поражения слизистой оболочки (при неверном пользовании ляписным карандашом) или тонкую бумагу. Попытки соскоблить нестандартные слои остаются безрезультатными – налет крепко держится на месте.
Уровень повреждения тканей может быть разной интенсивности, на его фоне цветовая окраска пятен от сероватого до молочно-белого оттенка. Участки, затронутые аномальным процессом, шероховатые и сухие. При пальпаторном исследовании уплотнения не обнаруживаются, внешних признаков воспаления не существует.
Стоматологи отмечают существующую связь между размерами, цветовым оттенком, формой и расположением поврежденного участка:
- изменения в уголках рта – симметричные, с видом треугольника;
- внутренние участки щек – пятна выглядят как вытянутые линии, непрерывные или с разрывами в нескольких точках;
- слизистая губ – серовато-белый налет, без определенной формы;
- небо, район нижнего отдела ротовой полости и язык – широкие равномерные полосы, с захватом обширных участков слизистых оболочек.
Никотиновый тип
Характеризуется расположением патологического отклонения на твердом участке неба, с частичным захватом тканей мягкого. Слизистая на поврежденных местах приобретает складчатость и беловато-сероватый цвет.
Красноватые узелки, располагающиеся на белесых пятках, образуются из-за расширения протоков слюнных желез. Их возникновение обусловлено закупоркой протоков слюнных желез клеточными элементами, пострадавшими от гиперкератоза. Заболевание у страдающих никотиновой зависимостью часто сочетается с иными вариантами лейкоплакии – с повреждением уголков рта, внутренних поверхностей щек и нижней губы.
Аномалия относится к обратимым процессам – при отказе от употребления табачных изделий и исчезновении постоянных источников раздражения, все изменения в слизистых оболочках проходят самостоятельно. Синдром Таппейнера не требует специфического медикаментозного лечения.
Веррукозный тип
Относится к следующему этапу преобразования плоской лейкоплакии. Предпосылками к ее образованию считаются местные раздражающие факторы:
- микротравмы протезными изделиями или заостренными краями зубов;
- непроизвольное прикусывание участков мягких тканей;
- раздражение горячей или острой пищей областей, захваченных гиперкератозом;
- длительное употребление табачных изделий;
- отдельные поражения гальваническими токами – на фоне несовместимых металлов, из которых изготовлены пломбы и зубные протезы.
Симптоматическим проявлением болезни служит разрастающееся ороговение, вызывающее значительное увеличение и утолщение верхних слоев слизистых покровов. Участки веррукозного поражения находятся выше рядом расположенных тканей, отличаются резким цветовым оттенком. Пальпаторное исследование подтверждает наличие поверхностного уплотнения.
К распространенным признакам относят:
- болезненные ощущения;
- чувство жжения в момент принятия пищи;
- шероховатость и стянутость на поврежденных участках слизистых рта.
Заболевание дополнительно подразделяется:
- бляшечный вариант поражения – с образованием наростов белоснежного или желтоватого оттенка, имеющих четкие очертания и возвышающиеся над остальными мягкими тканями;
- бородавчатый – визуально определяется как бугристые образования серовато-беловатого окраса, с плотной консистенцией и размерами до 3 мм в высоту.
При пальпаторном исследовании, бородавчатые наросты плотные, легко сдвигаются и не вызывают дискомфортных ощущений. Этот вариант поражения чаще остальных переформировывается в злокачественные новообразования.
Эрозивный тип
Является осложнением плоского и веррукозного варианта лейкоплакии. Патологическое отклонение развивается под воздействием внешних факторов, постоянно влияющих на уже сформированный очаг поражения. Заболевание вызывает болезненные ощущения, усиливающиеся под влиянием внешних агрессивных факторов.
При стандартном осмотре в ротовой полости обнаруживаются:
- трещины;
- изъязвления;
- эрозивные поражения.
Этот тип нарушения относится к постоянно рецидивирующим и плохо поддается лечению. Наибольшую проблему вызывают изъязвления и трещины, располагающиеся на красной кайме губ. Из-за постоянного негативного влияния внешних раздражителей, у них нет возможности к самозаживлению – процесс неуклонно увеличивается в размерах. Уровень болезненных ощущений напрямую зависит от объемов очага поражения.
Диагностика
Первоначальный диагноз устанавливает при осмотре пациента стоматолог. При наличии бляшки назначается цитологическое исследование, получают результаты гистологии и биопсии.
Цитология выявляет клеточную атипию. Это начальная форма перерождения клеток в тканях. Но исследование мазка не дает полной картины состояния биоматериала, а только его наружной части. Гистологический анализ необходим для исследования глубоких слоев пораженного участка.
Если исследование внутреннего слоя ороговевшей зоны показало присутствие атипичных клеток, то можно говорить о раковой опухоли. Такое развитие клеточных структур требует консультации онколога.
Важно выявить отличие лейкоплакии от других болезней:
- красного плоского лишая;
- кандидоза;
- болезни Кейра (неинвазивная форма рака);
- болезни Боуэна (внутриэпидермальный рак).
По результатам лабораторных исследований врач выставляет окончательный диагноз, а пациенту назначает симптоматическую терапию.
Предлагаем ознакомиться: Чем снять мышечный спазм в горле
Диагностические мероприятия
Как правило, постановка диагноза осуществляется в результате проведения осмотра пораженного участка. Врачи берут во внимание возможное присутствие симптоматики.
В обязательном порядке проводится гистологическое исследование, позволяющее подтвердить диагноз и исключить патологии с аналогичными симптомами.
Методика лечения
В соответствии с локализацией лейкоплакии и ее первопричинами назначают соответствующую терапию, при этом скорее всего курильщикам нужно будет воздержаться от курения. Некачественные зубные протезы рекомендуется переделать. Если лейкоплакия является следствием других заболеваний, нужно ликвидировать их первоисточник.
Самодиагностика лейкоплакии невозможна, так как диагноз должен быть подтвержден лабораторными исследованиями. Также имеется опасность злокачественного перерождения поврежденных участков слизистой. Потому биопсия является обязательной в обследовании пациента. Эта методика выявляет атипичное состояние клеток, характерное для предракового состояния.
В рационе питания пациента не должно быть слишком острой и горячей пищи. Кроме этого, необходимо провести терапию имеющихся желудочно-кишечных заболеваний. Стоматологические заболевания лечат следующими методами:
- Необходимо отполировать все острые края зубов и запломбировать кариозные полости.
- Также нужно проверить состояние зубных протезов и, при необходимости, заменить их для исключения травм пораженных участков.
- Протезы желательно использовать отполированные и из материалов, не подверженных коррозии и окислению.
- Проводится лечение инфекционных заболеваний полости рта.
- В процессе терапии нужно уделить особое внимание соблюдению гигиены полости рота, а при локальном воздействии использовать масляные средства, необходимо избегать прижиганий поврежденного участка слизистой.
- Рекомендуется прием витамина А, иммуномодуляторов и общеукрепляющих препаратов.
Данное лечение проводится амбулаторно, так как зачастую этого хватает для ликвидации симптоматики обычной лейкоплакии или для ее стабилизации. Указанными методиками терапии пользуются и при начальных видах веррукозной и эррозивной лейкоплакии. Отсутствующие позитивные сдвиги в терапии свидетельствуют об необходимости операционного вмешательства.
Медикаментозная терапия
Терапевтические мероприятия, которые проводят при патологии, зависят от нескольких факторов.
Это:
- форма заболевания;
- скорость развития процесса;
- размеры очагов поражения.
При умеренном варианте развития заболевания показан Лейкоген или Батилол. При возникновении бактериальных осложнений, когда на коже появляются повреждения, показаны антибиотики: Цепорин, Ампициллин. Отличный результат дает Верошпирон. Этот мочегонный препарат быстро снижает отечность.
Из средств общего воздействия назначаются витамины группы В, ретинола ацетат (витамин А).
Витамин В применяют в виде бромистого тиамина орально или внутримышечно. Витамин А регулирует процесс ороговения, повышает устойчивость оболочки к воздействию раздражающих факторов. Дозировку назначает врач. Длительность курса — 2 месяца.
При плоской форме оказывают эффективное действие аппликации с витамином А. Прикладывать необходимо не менее 4 раз в течение дня с перерывом не менее 30 минут.
Можно пользоваться седативными препаратами, настойкой пустырника или корня валерианы.
Категорически запрещено пользоваться прижигающими средствами, т. к. они ускоряют процесс озлокачествления.
Если не выявлена клеточная атипия, радикальный подход исключается. Пациент должен только выполнять предписанные врачом манипуляции, не пропускать плановое тестирование.
Эффективные способы лечения лейкоплакии полости рта
8110
Возникновение на слизистых оболочках ороговевших участков многослойного эпителия говорит о лейкоплакии. Она развивается в полости рта, на гениталиях, а в некоторых случаях образуется во внутренних органах: влагалище, матке, мочевом пузыре, пищеводе и т.п.
Течение болезни почти не доставляет дискомфорта и в стабильной форме может сопровождать человека всю жизнь. Опасность представляет возможное перерождение лейкоплакии в злокачественную форму.
Многофакторность этиологии лейкоплакии полости рта позволяет говорить не столько о причинах заболевания, сколько о располагающих к нему обстоятельствах. Ведущее значение имеют внешние воздействия.
Предлагаем ознакомиться: Болит зуб что лучше выпить
К химическим, термическим или механическим раздражителям, создающим условия для замещения слизистой оболочки ороговевшим эпителием, относят:
- курение, при котором оказывается как химическое, так и термическое воздействие;
- пряности, острые или кислые блюда, чрезмерно горячая пища, спиртные напитки;
- побочное действие лекарственных препаратов;
- постоянное механическое повреждение слизистой оболочки острым краем зуба, неотшлифованной пломбой, некачественным ортопедическим протезом;
- гальванизм пломб, протезов и иных металлических конструкций в полости рта.
Для стабилизации иммунитета используют чаи и настои из сбора трав, если на это не имеются противопоказания. Свежевыжатый фруктовый и овощной сок поможет поднять иммунитет, и станет первоисточником витамина А.
Готовый сок нужно разбавить водой, чтобы защитить слизистую от избытка раздражителей. Из-за этого также надо избегать употребления кислой пищи . Локальное лечение предполагает регулярное полоскание полости рта травяными настоями, обладающими антисептическим действием. Днем следует употреблять концентрированный зеленый чай, являющийся природным антиоксидантом.
Для локального применения наряду с другими фармацевтическими препаратами пользуются облепиховым и шиповниковым маслами. Сок каланхоэ применяется при эрозивных формах лейкоплакии. При обычном виде болезни эти масла могут оказывать поддерживающее действие, а порой заменяют консервативную терапию. Однако стоит помнить, что лейкоплакия является предраковым состоянием, и потому не стоит избегать эффективных современных методов и способов лечения. Народные методики идеальны в сочетании с медицинскими процедурами.
Развитие патологии
Вирус Эпштейна-Барр попадает в клетки слизистой и не покидает ее, как утверждают исследователи, до конца жизни пациента. Наблюдается следующее: клетки иммунной системы (а именно лимфоциты) не позволяют вирусу спровоцировать серьезные изменения (о них буде сказано ниже), но также они не способны его деактивировать. В конечном результате ни организм не может победит вирус, ни вирус организм – возникает своеобразный баланс. Такое состояние нередко наблюдается на протяжении многих лет – инфицированные просто не догадываются, что являются «хозяевами» вируса, так как их ничего не беспокоит.
Периодически, когда иммунная система ослабевает под влиянием каких-либо факторов (например, при наличии другой инфекции), вирус активируется и начинает интенсивно размножаться. Это становится своеобразным раздражителем для организма, он мобилизует иммунную систему, и та подавляет репликацию (деление) вируса.
При волосатой лейкоплакии наблюдается диспластический процесс – нарушение строения тканей из-за:
- чрезмерного размножения клеток;
- их скопления.
Из клеток формируются маленькие множественные выросты, которые и составляют морфологическую основу волосатой лейкоплакии.
Помимо количественных, наблюдаются качественные нарушения – а именно процессы гиперкератоза (чрезмерного ороговения). Также описываемое заболевание называют «ковровой» лейкоплакией, так как при оптическом увеличении слизистая оболочка полости рта напоминает ворс ковра. Но такие изменения можно увидеть только при изучении пораженной слизистой под микроскопом. В свою очередь, усиленное размножение наблюдается по той причине, что вирус, размножаясь, не подавляет клетки, в которых он поселился, а наоборот стимулирует их.
Можно ли вылечить дома
Лейкоплакию лечить народными средствами можно самостоятельно, но только в составе основной терапии для облегчения состояния. Отлично помогают отвары многих лекарственных растений. Хорошие антисептические и успокаивающие свойства имеет простая заварка зеленого чая.
Народные средства
Если диагностирована лейкоплакия языка, лечение будет намного эффективнее при использовании народных средств.
Пользуются успехом следующие рецепты народных целителей:
- Сок зеленых бобов фасоли. Нормализует уровень лейкоцитов в кровотоке, укрепляет иммунитет. Принимать следует по 2 ст. л. 3 раза в течение дня перед приемом пищи до нормализации состояния.
- Смесь трав полевого хвоща, боярышника, спорыша. Взять нужно 6 ст. л. сухого средства, тщательно перетереть и принимать по ½ ч. л. перед едой 3 раза в день.
- Донник лекарственный. Залить 2 ч. л. листьев двумя стаканами горячей воды, настоять до остывания. Пить по ½ стакана перед едой не менее 3 раз в течение дня.
- Отвар овса. Требуется 2 ст. л. зерен в шелухе залить 500 мл теплой воды и выдержать на слабом пламени в течение 20 минут, профильтровать. Принимать по половине стакана на голодный желудок трижды в день.
Хороший результат показывает применение аппликаций с облепиховым маслом. В качестве антисептиков можно пить травяные чаи или отвары календулы, ромашки, липы, зверобоя, которые не имеют противопоказаний.
Когда показан стационар
В определенных случаях терапия возможна только посредством оперативного вмешательства.
Если отсутствуют результаты от лечебных мероприятий, то пациентов направляют на хирургическое иссечение патологических тканей. Оперативное вмешательство проводится при эрозивном или веррукозном поражении.
Предлагаем ознакомиться: После удаления зуба появился неприятный запах изо рта чем лечить
Причинами для удаления пораженных зон являются:
- быстрое прогрессирование заболевания, не поддающееся лечению;
- образование язв и трещин;
- изменение цвета области поражения.
Всегда выполняется радикальное иссечение, если появляются признаки развития злокачественного образования.
Возможные осложнения
Частым последствием лейкоплакии считается ослабление защитных функций организма. Данное осложнение весьма опасно, т.к. пациент перед всеми вирусами и инфекциями.
Самым опасным осложнением врачи считают злокачественное перерождение поврежденной части слизистой рта.
Пациенты стоят на учете, регулярно приглашаются для прохождения обследования. Это обязательная мера, лейкоплакия может рецидивировать при появлении специфических факторов.
Фото лейкоплакии
Читайте здесь! Бронхиальная астма — симптоматика и клинические рекомендации для больных (110 фото и видео)
Пожалуйста, сделайте репост
0
Профилактика
Прогнозы патологии всегда серьезные, поэтому для предотвращения возможного развития лейкоплакии необходимо принимать профилактические меры.
К ним относятся:
- качественное протезирование;
- регулярные стоматологические осмотры, санация;
- своевременная терапия патологий ЖКТ;
- отказ от табака, употребления горячей, соленой и острой пищи;
- соблюдение гигиены ротовой полости;
- отсутствие влияния ионизирующей радиации.
Рекомендуется периодически проводить витаминотерапию. Она стабилизирует работу аутоиммунной системы.
Гигиена
Необходимо соблюдать правила гигиены во избежание заражения опасными инфекционными патологиями в бытовых условиях.
Индивидуальная гигиена требует заботиться не только о зубах. Уход необходим и языку, где также скапливается бактериальный налет. Он бывает позднее причиной неприятного запаха.
Правила очищения:
- процедуру нужно проводить после очищения зубов;
- пользоваться можно специальным приспособлением, а также задней частью ручки щетки, если на ней есть рельеф;
- движения — от корня к кончику и поперек языка;
- тщательно ополоснуть.
Для улучшения результата хорошо пользоваться гелем.
Гигиена ротовой полости может проводиться не только в домашних условиях. В специализированной клинике это выполняют профессиональными методами.
Это может быть:
- Аппаратная чистка. Зубная эмаль осветляется на 2 тона, появляется блеск.
- Ультразвуковая чистка. Снимается совершенно безболезненно и безопасно зубной камень и налет. Эмаль не повреждается.
- Полирование зубов. Показывает всегда отличный результат.
- Фторирование. На поверхность зубов на 1 минуту накладывают диски с гелем. Эмаль насыщается ионами фтора.
Очень важны рекомендации специалиста. Стоматолог профессионально сможет подобрать необходимые средства.
Существуют продукты питания, которые, должны быть в меню ежедневно, чтобы предупредить развитие лейкоплакии.
Это могут быть:
- молочнокислые продукты;
- зеленый чай;
- овощи и фрукты;
- чеснок.
Рацион должен базироваться на растительной пище, животные жиры заменять надо оливковым и подсолнечным маслом. Супы — на рыбном, а также овощном бульоне.
Нельзя употреблять морепродукты, которые в составе могут иметь кобальт и алюминий. Они подавляют процесс кроветворения.
Ежедневно надо употреблять питьевую воду в достаточном объеме. Она будет очищать организм и усилит иммунитет, что предотвратит развитие лейкоплакии.












































