Маленькие дети в силу определенных причин наиболее подвержены развитию всевозможных заболеваний и проблем в полости рта. Связано это с физиологическими особенностями, например, когда у малыша начинают прорезываться первые зубы. Кроме того, ребенок младшего возраста часто пробует окружающие его предметы на вкус, притом что эти самые предметы далеко не всегда стерильны, на них содержится большое количество патогенной микрофлоры.
Поэтому с такими неприятными явлениями, как воспаление десен, кровоточивость, сталкивался, наверное, каждый ребенок. К числу заболеваний полости рта относится и ситуация, когда появляется на десне у ребенка какой-то нарост. Данная патология встречается достаточно часто, поэтому родителям важно четко понимать, почему это происходит, как можно справиться с проблемой.
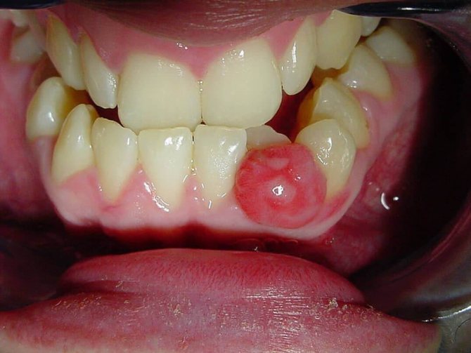
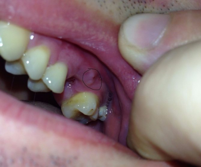
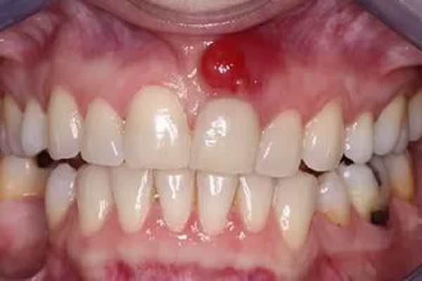
Нарост на десне.
Признаки
Обычно данный нарост не доставляет человеку болевых ощущений, но он причиняет существенный дискомфорт и нарушает эстетичность, т.к. заметен при разговоре и улыбке. В случае, когда образование запущено или перешло в злокачественное состояние, специфика симптоматики усиливается (все признаки ухудшают общее состояние, они неприятны и довольно болезненны).
Внешний его вид определяется следующими параметрами:
- Формой – ее сопоставляют с грибом, поскольку у образования отчетливо различается ножка (участок, которым он прикрепляется к десне) и тело (похоже на грибную шляпку).
- Размером – всегда зависит от морфологической и клинической формы, и может варьировать от 2-3 мм (его почти не видно) до нескольких сантиметров.
- Цветом – зависит от разновидности нароста. Так, фиброзный идентичен по окрасу с десной, гигантоклеточная – буро-коричневая или синюшная, ангиоматозный – бывает от ярко-красного до темно-красного. Если его часто травмировать пломбой, зубами, протезными кламмерами, его поверхность сильно изъявляется и изменяет окрас.
- Консистенцией – в зависимости от вида клеток, которые послужили источником его роста, плотность бывает разной: мягкой или твердой.
На рентгеновском снимке отчетливо видно, что у его основания имеется несколько отличная от общей консистенция. На этом же изображении рассматривается изменение состояния кости: в области нароста она разряжена.
Мы рассмотрели причины и способы лечения плохого запаха изо рта в отдельной статье. В этом обзоре вы найдете информацию о методах терапии гранулемы зуба в домашних условиях.
Ангиоматозное образование
По эстетическим соображениям фото эпулиса на десне не представлены в данной статье. Давайте охарактеризуем ангиоматозную опухоль:
- Внутри образования наблюдается частая сеть мелких кровеносных сосудов.
- Чаще всего встречается у детей 5-18 лет. Группа риска — 5-10 лет.
- Локализация: шейки зубов.
- Внешне напоминает скопление маленьких бугорков. В редких случаях поверхность будет гладкой.
- Цвет опухоли неестественный: ярко-алый, синеватый.
- Основание образования будет плотным и широким.
- Консистенция опухоли твердая и плотная.
- При малейшем повреждении ангиоматозный эпулис начинает кровоточить.
- Опухоль быстро увеличивается в размерах. Кроме того, после ее удаления возможен рецидив.
Виды
Исходя из морфологической и клинической выраженности, различают 4 вида разрастания тканей. Каждому присвоен отдельный код (номер) по Международной классификации болезней 10-го пересмотра (МКБ-10).
Фиброзный
Формируется из фиброзной десневой ткани с вложенными в нее костными поперечными включениями. Образуется только с вестибулярной стороны первых моляров или премоляров.
По цвету нарост совершенно неотличим от десны, при этом по форме бывает овальным или круглым с плотной консистенцией. Первоначально его поверхность ровная, но по мере его роста она обретает бугристость. Увеличиваясь, может через межзубные промежутки переходить на обратную сторону зубов.
Из всех видов разрастаний, фиброматозный имеет благоприятный прогноз лечения, растет медленно, не переходит в злокачественное состояние, безболезненный и не проявляет кровоточивости.
Гигантоклеточный
Образуется из остеогенных клеток и располагается всегда на альвеолярном гребне, закрывая постепенно собой коронки. Опухоль плотная, достаточно упругая, округлая, буро-коричневого цвета, растет медленно, но ее разрастания могут достигать объемов, нарушающих симметричность лица.
В единичных случаях проявляет болезненность, а при пальпации дает непродолжительное кровотечение. В зоне ее присутствия зубы расшатываются.
Различают 2 ее вида:
- Центральная – развивается из челюстной кости.
- Периферическая – возникает из мягких десневых тканей.
Патология в основном развивается у людей старшего возраста (после 40 лет), причем, чаще диагностируется у женщин.
Ангиоматозный
Представляет собой скопление в фиброзной ткани тучных клеток и кровеносных воспаленных сосудов с очень тонкими стенками. Основная причина его появления – частое травмирование слизистой. Локализуется около зубной шейки и может образовываться на любой челюсти.
Имеет совершенно гладкую или немного бугристую поверхность, красный цвет, мягкую консистенцию, развивается быстро и вызывает сильную кровоточивость даже от незначительного его травмирования. После удаления присутствует большая вероятность его повторного образования.
Разрастание тканей чаще наблюдается у детей, подростков и женщин в период беременности.
Акантоматозный
Самый редкий вид, который еще называется «периферическая амелобластома мягких тканей». Это безболезненное доброкачественное образование, появляется из зубных зачатков нижней челюсти. Оно появляется на поверхности десны в виде роговых жемчужин. После удаления наросту свойственен рецидивирующий рост (повторный).
Что понимают под наростом на десне
Когда люди говорят про нарост на десне, они обычно имеют в виду кисту, которая нередко появляется безо всяких видимых причин. Если нарост не болит при надавливании, то его называют эпулис (или наддесневик). Если его вскрыть, то из нароста выделяется рыхлая масса или вытекает жидкое содержимое. Без своевременной терапии образование рано или поздно само вскрывается, трансформируясь в небольшую опухоль с отверстием на поверхности, из которого свищевой ход идет в толщу кисты. Из образовавшегося свища периодически происходит выделение сукровицы или гноя. При этом общее состояние больного также страдает: его беспокоят головные боли, потеря жизненных сил, а лимфоузлы вблизи очага инфекции (челюстные, шейные или ушные) обычно увеличены и болезненны.
О чем говорит нарост на десне
Образование кисты на десне встречается в любом возрасте. К счастью, такое новообразование не всегда является признаком серьезной патологии.
Чаще всего неприятный нарост на десне появляется из образовавшейся ранки после занесения инфекции в ротовую полость.
Особенно часто такой процесс может проявляться у детей, так как о соблюдении малышом строгой гигиены можно лишь мечтать его родителям. Чаще всего наросты на поверхности десен появляются у детишек во время прорезывания зубов. В этот момент присутствуют все основные факторы, которые способствуют проникновению инфекции в полости десны: засовывание в рот грязных рук или предметов, сниженный иммунитет и ранки в слизистой десен. Засовывая различные предметы в рот ребенок тем самым пытается с помощью массажа десен унять боль и зуд в месте прорезывания зуба.
Клинические формы
Поскольку эпулис классифицируется к новообразованиям, то различаются 2 его формы: доброкачественную и злокачественную. В зависимости от того, к какой форме он принадлежит, нарост проявляет характерные симптомы, свойственные этим опухолям.
Доброкачественная
Характеризуется отсутствием боли, очень медленным и незаметным для человека развитием. Его рост происходит на фоне отсутствия или сглаженности симптомов, за исключением жалобы на испорченную эстетику.
Локализуется обычно спереди от одного из первых премоляров нижней челюсти. От типичных доброкачественных образований различается многокамерным внутренним строением. Ее максимальный размер в диаметре не превышает 2-2,5 см.
Злокачественная
Отличается быстрым развитием и выраженными симптомами. Само разрастание очень болезненно при жевании и дотрагивании, а боль может отдавать в висок. На нем отчетливо видны точечные белесые очаги. Патология сопровождается:
- присутствием отечности десны в месте, где растет эпулис;
- расшатыванием и сильным смещением единиц, прилегающих к опухоли;
- поражением дентальных корневых тканей расположенных рядом зубов;
- кровоточивостью, развивающимся при приеме пищи и гигиенической процедуре;
- появлением трещин и язв;
- развитием высокой чувствительности.
Рецидивы злокачественной опухоли наблюдаются в 20% случаев. В единичных случаях при запущенности состояния отмечались летальные исходы.
Совет: любой вид новообразования важно выявить своевременно. На начальной стадии заболевание лечится быстро и результативно.
Причины возникновения
Этиология появления эпулиса изучена не полностью. К его образованию может привести гормональный сбой или перестройка, происходящая в организме (например, при беременности). Но среди основных факторов его развития специалисты называют регулярное травмирование слизистой и тканей десны.
Его могут провоцировать следующие факторы:
- выступающая или свисающая над десной пломба;
- массивные отложения камня;
- заостренные края разрушенных единиц;
- аномальный прикус;
- ошибка при производстве ортодонтических изделий и длительное пользование ими без корректировки;
- травмирование мягких тканей;
- плохая гигиена;
- ожоги слизистой (термические или химические).
Отдельно надо отметить, что 2 вида нароста – ангиоматозный и фиброзный – развиваются как ответ на хроническое воспаление при регулярном повреждении десны. Гигантоклеточный способен появляться самопроизвольно из кости или мягких тканей челюсти.
Диагностика
Точный диагноз выставляется на основании полного осмотра специалистом, изучения им данных гистологического и инструментального обследования. Эпулис важно правильно дифференцировать от похожих на него состояний:
- гипертрофического гингивита;
- ложного эпулиса;
- полипа десен или пульпы;
- остеобластокластомы.
Обязательным видом исследования также является рентгенография. Она позволяет точно определить степень втянутости в патологический процесс кости.
Пациенту назначаются анализы крови: на ПЦР, общий и биохимический. Если по их результатам обнаружится повышенный показатель лейкоцитов на фоне пониженного гемоглобина, назначается еще одно обследование на присутствие раковых клеток.
Терапия
Для борьбы с патологией применяются хирургический, лазерный (как новейший хирургический метод), медикаментозный способы и народная медицина как дополняющее основную терапию средство.
Хирургическое
Проводится при значительном разрастании опухоли посредством полного ее удаления. Операция подразумевает ее рассечение, и проходит в несколько этапов:
- Введение анестезии (в зависимости от клиники эпулиса, делается местное или общее обезболивание).
- Как только подействует анестетик, врач, отступив от ножки нароста 1-2 мм, надрезает вокруг него мягкие ткани десны на всю их глубину, захватывая надкостницу.
- Лоскут по всей окружности отслаивают.
- Если заболевание затронуло костную ткань, проводится препарирование пораженной области до здоровых тканей.
- Раневая поверхность прочищается, промывается антисептическим раствором и покрывается тампоном, пропитанным йодоформным составом.
- Если область поражения обширная, ее края стягиваются швами.
Расположенные рядом зубы вырываются только при их подвижности (при III степени) или при оголении их корней на 2/3 длины.
Вы обнаружили у ребенка гнойник на десне? Мы подскажем, что делать. На этой странице: https://dentist-pro.ru/lechenie/desny/gingivit/osobennosti-razvitiya-i-taktika-gipertroficheskogo.html — можно узнать этиологию гипертрофического гингивита.
В следующем обзоре мы расскажем о примерных ценах плазмолифтинга в стоматологии.
Применение лазера
Во многих крупных стоматологических центрах при вмешательствах подобного типа в качестве хирургического инструмента применяется лазер. Во время операции пациенту делается инфильтрационный наркоз.
Использование этого метода выгодно тем, что лазер одновременно устраняет (прижигает) опухоль и дезинфицирует пораженный ею участок. В результате значительно сокращается реабилитационный период, а послеоперационные осложнения сводятся до минимума.
Вот так с помощью лазера происходит удаление эпулиса на десне:
Медикаментозное
Терапия включает прием препаратов, останавливающих рост эпулиса и приводящие к регенерации его тканей. В перечне назначаемых медикаментов присутствуют:
- «ТраумельS» — гомеопатическое средство, имеющее выраженные регенерирующие и гемостатические действия.
Оно прекрасно восстанавливает ослабленные окислительные процессы во всех тканях, замедляет формирование грануляций. Может приниматься таблетками или каплями в дозировке: 1 таб./10 кап. трижды в день курсом в 10-14 дней. - «Димексид» — противовоспалительный, антигистаминный, обезболивающий, антисептический лекарственный препарат. Его активные компоненты, проникая в клетки, оказывают фибринолитический эффект, что позволяет сдержать рост опухоли. Назначается аппликациями: накладываются на 20 мин. на патогенную область 4-6 раз/сутки.
- «Мирамистин» — спрей, проявляющий свою антисептическую активность на бактерии и вирусы, вызвавших заболевание. Для достижения эффекта орошается рот до 4 раз в течение дня.
- «Ваготил» — имеет выраженное склерозирующее воздействие за счет устранения (прижигания) пораженных тканей. Во время лечения формируется повязка, которая смачивается препаратом и накладывается на проблемный участок на 3-5 мин. Важно: процедуру допустимо проводить не больше 3-х раз за неделю.
- «Резорцин» — антисептик, обладает сильным противомикробным, ранозаживляющим, регенерирующим, противовоспалительным, противосеборейным действиями. Его применение способно привести к полному удалению нароста.
Для лечения используется мазь 5-10%, которой покрывается пораженная ткань дважды в день.
Важно: все перечисленные медикаменты можно использовать в лечении только после их назначения стоматологом. Самолечение в данном случае недопустимо.
Народные рецепты
Полноценно лечение с применением только народных рецептов невозможно. Они могут совместно с медицинскими средствами ускорить выздоровление во время реабилитационного периода.
Все рецепты основаны на применении полосканий отварами, приготовленных из различных лекарственных трав и средств:
- Календулы: 2 ст. л. высушенного растения залить 1 ст. кипятка, настаивать до остывания, процедить и полоскать рот до 4 раз в день. Растение оказывает хороший противовоспалительный, ранозаживляющий и антисептический эффект.
Календулу можно заменить другими, не менее эффективными растениями: шалфеем, эвкалиптом, ромашкой. Отвар из них готовится аналогично. - Пищевой соды: 1 ч. л. растворяется в 1 ст. теплой чистой воды. Полоскания ею предупреждают дальнейшее распространение нагноения, инфекции и воспаления. Такой результат достигается за счет того, что сода обладает сильным дезинфицирующим, антисептическим и легким обезболивающим эффектом.
- Соли: в стакане горячей воды растворить 1 ч. л. соли, но использовать можно только после остывания раствора (6-8 раз в день). Она хорошо снимает отечность, препятствует распространению бактерий.
Все используемые настои должны быть комнатной температуры, поскольку горячие могут привести к ожогу тканей, а холодные – к их переохлаждению.
Перед тем, как начать использовать в лечении то или иное средство, надо уточнить у врача, насколько его использование показано в данном случае.

Рекомендации восстановительного периода
Специалисты рекомендуются придерживаться следующих правил во время и после лечения:
- Потребление мягкой пищи, исключение слишком горячей и холодной еды и напитков;
- Отказ от вредных привычек. Курение сильно замедляет реабилитацию мягких тканей, а алкоголь усиливает раздражение слизистых оболочек;
- Ограничение физической активности. Особенно это касается сильных движений головой, которые могут привести к расхождению наложенных швов после операции.
Соблюдение рекомендаций доктора обеспечивает быстрое раневое заживление, предотвращение костного смещения после лечения эктостоза и рецидива гнойного воспаления.
У детей
Детский возраст – это тот период, когда патология обнаруживает себя и развивается очень быстро. Такое стремительное ее развитие обусловлено высокой степенью травматичности детской слизистой и десны.
Нарост обычно диагностируется в период появления молочных зубов, когда дети, тянет в рот окружающие их предметы, повреждают десны. Защитная функция организма в это время сформирована не полностью, и на месте травмирования начинает развиваться опухоль. Чаще выявляется ангиоматозная разновидность эпулиса.
Второй «опасный» период, когда присутствует высокая вероятность разрастания тканей – это подростковый период, а точнее, гормональная перестройка организма при половом созревании. Подобное нарушение может встречаться и у девушек, неправильно принимающих гормональные препараты.
Для детского возраста характерно перетекание одного вида опухоли в другой. Так, заболевание может начаться с гранулематозной разновидности, перейти в ангиоматозный, а затем в фиброзный. У детей присутствует высокий процент рецидивирования состояния – около 15% случаев.
Важно: родителям при его обнаружении необходимо незамедлительно обратиться к врачу. Это нужно для предотвращения его разрастания и дальнейшего распространения.
Профилактические меры
Во избежание появления шишки после удаления зуба, необходимо соблюдать некоторые профилактические меры:
- Соблюдать все рекомендации врача после удаления зуба.
- Следить за гигиеной полости рта.
- Воздержаться от активных полосканий в течение 3–4 часов после удаления зуба.
- Не употреблять пищу после проведения операции по удалению.
- Чистку зубов щеткой заменять на полоскание полости рта.
Соблюдение профилактических мер не обезопасит от развития патологии, но снизит риски ее развития.
Во время беременности
При вынашивании малыша организм женщины претерпевает перемены. Изменение гормонального фона и его всплески в этот период считаются нормальным явлением. Но с этим процессом связывается появление эпулиса.
Первопричиной его формирования также является хроническая травма, но в данной ситуации рост самого нароста и процессы, протекающие в нем, ускоряются. Имеются данные, что после родов при нормализации показателя гормонов, разрастание тканей значительно замедляется.
Общие сведения
Чаще всего родители сталкиваются с неприятным явлением — наросты у детей на десенной ткани. Малыш становится тревожным, поскольку новообразование беспокоит, препятствуя нормальному приему еды, порой кровоточит. Однако данное новообразование не всегда сопровождается тревожной симптоматикой, в некоторых случаях оно может абсолютно не беспокоить.
Внимание! Помимо красных наростов могут возникать белые новообразования, что характеризуется более плотной структурой.
Профилактика
Поскольку гормональные изменения в организме как причину патологии исключить практически невозможно, профилактические мероприятия сводятся к своевременной и систематической санации рта.
Санация – это совокупность стоматологических мероприятий, проводимых с целью устранения имеющихся проблем: удаление налета и камня, некачественных пломб, лечение выявленных заболеваний.
В санацию входит и ортодонтическая коррекция прикуса, т. к. неправильное положение зубов также травмирует слизистую.
Регулярное посещение стоматолога позволит вовремя обнаружить и устранить причинные факторы травм, а значит и одну из основных причин появления эпулиса. Немаловажную роль играет укрепление иммунной системы. При сильном иммунитете вероятность развития острого воспаления минимальная.
Эпулис не относится к опасным заболеваниям, но он доставляет немало дискомфорта человеку. Раннее его выявление и купирование предотвращает проявление негативных ощущений, боли и осложнений.





































